Suppr超能文献

茴香霉素激活的磷酸化c-Jun氨基末端激酶(p-JNK)在预测乳腺癌患者生存时间方面的预后意义

The Prognostic Significance of Anisomycin-Activated Phospho-c-Jun NH2-Terminal Kinase (p-JNK) in Predicting Breast Cancer Patients' Survival Time.

作者信息

Chen Li, Zhou Xuantong, Kong Xiangyi, Su Zhaohui, Wang Xiangyu, Li Sen, Luo Aiping, Liu Zhihua, Fang Yi, Wang Jing

机构信息

Department of Breast Surgical Oncology, National Cancer Center/National Clinical Research Center for Cancer/Cancer Hospital, Chinese Academy of Medical Sciences and Peking Union Medical College, Beijing, China.

State Key Lab of Molecular Oncology, National Cancer Center/National Clinical Research Center for Cancer/Cancer Hospital, Chinese Academy of Medical Sciences and Peking Union Medical College, Beijing, China.

出版信息

Front Cell Dev Biol. 2021 Mar 9;9:656693. doi: 10.3389/fcell.2021.656693. eCollection 2021.

Abstract

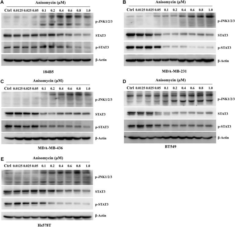
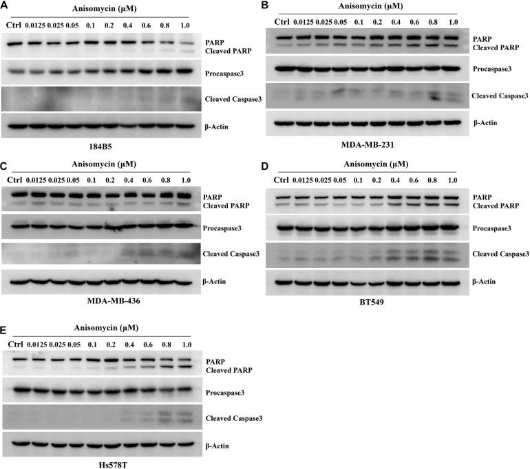
This study aims to investigate the prognostic significance of p-JNK in breast cancer patients receiving neoadjuvant chemotherapy (NACT) and analyze the relationship between anisomycin, p-JNK. A total of 104 breast cancer patients had NACT were enrolled in this study. The western blot and immunohistochemistry assays were used to determine the protein expressions of p-JNK in human breast cancer cell lines and patients' cancer tissues. The chi-square test and Fisher's exact test were adopted to gauge the associations between breast cancer and clinicopathological variables by p-JNK expression, whereas the univariate and multivariate Cox proportional hazards regression models were used to analyze the prognostic value of p-JNK expression. The Kaplan-Meier plots and the log-rank test were adopted to determine patients' disease-free survival (DFS) and overall survival (OS). Findings indicated that the p-JNK expression had prognostic significance in univariate and multivariate Cox regression survival analyses. Results of log-rank methods showed that: (1) the mean DFS and OS times in patients with high p-JNK expression were significantly longer than those in patients with low p-JNK expression (χ = 5.908, = 0.015 and χ = 6.593, = 0.010, respectively). p-JNK expression is a significant prognostic factor that can effectively predict the survival in breast cancer patients receiving NACT. Treatment with the JNK agonist anisomycin can induce apoptosis, lead to increased p-JNK expression and decreased p-STAT3 expression. Moreover, the p-JNK expression was inversely correlated with p-STAT3 expression.

摘要

本研究旨在探讨磷酸化应激活化蛋白激酶(p-JNK)在接受新辅助化疗(NACT)的乳腺癌患者中的预后意义,并分析茴香霉素与p-JNK之间的关系。本研究共纳入104例接受NACT的乳腺癌患者。采用蛋白质印迹法和免疫组织化学法检测人乳腺癌细胞系和患者癌组织中p-JNK的蛋白表达。采用卡方检验和Fisher精确检验评估p-JNK表达与乳腺癌及临床病理变量之间的关联,而单因素和多因素Cox比例风险回归模型用于分析p-JNK表达的预后价值。采用Kaplan-Meier曲线和对数秩检验确定患者的无病生存期(DFS)和总生存期(OS)。研究结果表明,p-JNK表达在单因素和多因素Cox回归生存分析中具有预后意义。对数秩检验结果显示:(1)p-JNK高表达患者的平均DFS和OS时间显著长于p-JNK低表达患者(χ²分别为5.908,P = 0.015和χ²为6.593,P = 0.010)。p-JNK表达是一个重要的预后因素,可有效预测接受NACT的乳腺癌患者的生存情况。用JNK激动剂茴香霉素处理可诱导细胞凋亡,导致p-JNK表达增加和p-STAT3表达降低。此外,p-JNK表达与p-STAT3表达呈负相关。

https://cdn.ncbi.nlm.nih.gov/pmc/blobs/9160/7985183/7cc0c6422bfe/fcell-09-656693-g001.jpg

文献AI研究员

20分钟写一篇综述,助力文献阅读效率提升50倍。

立即体验

用中文搜PubMed

大模型驱动的PubMed中文搜索引擎

马上搜索

文档翻译

学术文献翻译模型,支持多种主流文档格式。

立即体验