Suppr超能文献

多发性硬化症患者血清中的 IgGs-Abzymes 可识别并水解 miRNA。

IgGs-Abzymes from the Sera of Patients with Multiple Sclerosis Recognize and Hydrolyze miRNAs.

机构信息

Institute of Chemical Biology and Fundamental Medicine, Siberian Division of Russian Academy of Sciences, 8 Lavrentiev Ave, 630090 Novosibirsk, Russia.

出版信息

Int J Mol Sci. 2021 Mar 10;22(6):2812. doi: 10.3390/ijms22062812.

Abstract

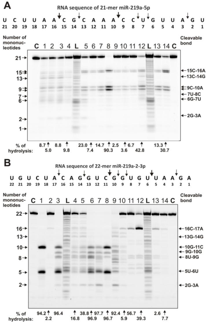
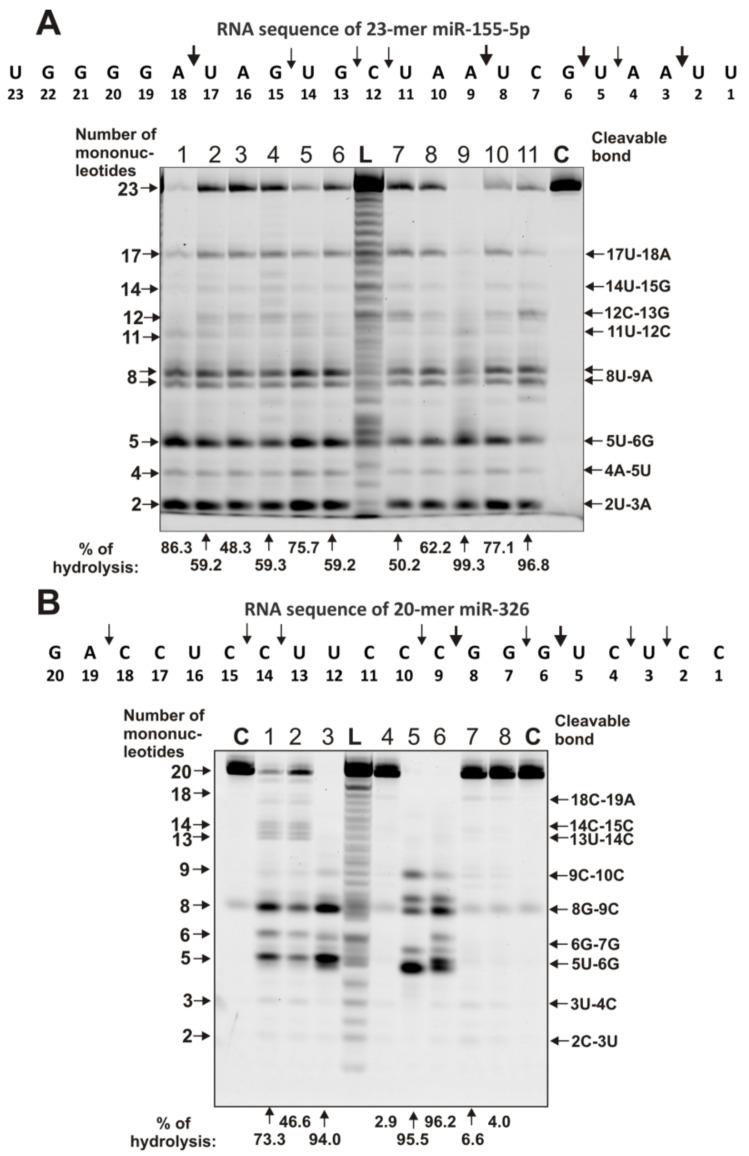
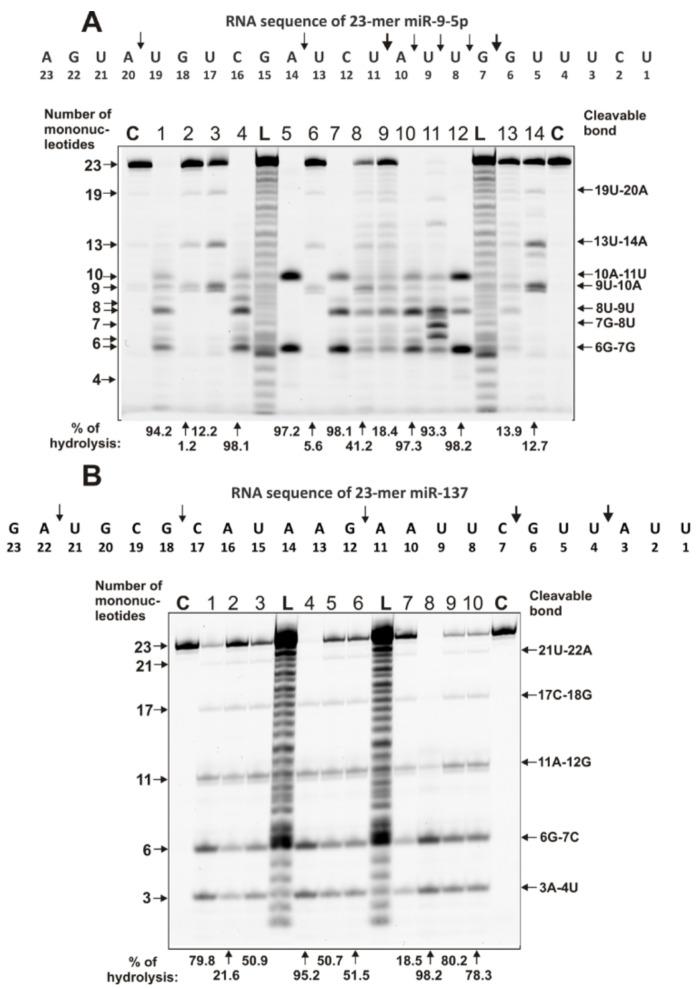
Autoantibodies-abzymes hydrolyzing DNA, myelin basic protein, and oligosaccharides have been revealed in the sera of patients with multiple sclerosis (MS). In MS, specific microRNAs are found in blood and cerebrospinal fluid, which are characterized by increased expression. Autoantibodies, specifically hydrolyzing four different miRNAs, were first detected in the blood of schizophrenia patients. Here, we present the first evidence that 23 IgG antibodies of MS patients effectively recognize and hydrolyze four neuroregulatory miRNAs (miR-137, miR-9-5p, miR-219-2-3p, and miR-219-5p) and four immunoregulatory miRNAs (miR-21-3p, miR-146a-3p, miR-155-5p, and miR-326). Several known criteria were checked to show that the recognition and hydrolysis of miRNAs is an intrinsic property of MS IgGs. The hydrolysis of all miRNAs is mostly site-specific. The major and moderate sites of the hydrolysis of each miRNA for most of the IgG preparations coincided; however, some of them showed other specific sites of splitting. Several individual IgGs hydrolyzed some miRNAs almost nonspecifically at nearly all internucleoside bonds or demonstrated a combination of site-specific and nonspecific splitting. Maximum average relative activity (RA) was observed in the hydrolysis of miR-155-5p for IgGs of patients of two types of MS-clinically isolated syndrome and relapsing-remitting MS-but was also high for patients with primary progressive and secondary progressive MS. Differences between RAs of IgGs of four groups of MS patients and healthy donors were statistically significant ( < 0.015). There was a tendency of decreasing efficiency of hydrolysis of all eight miRNAs during remission compared with the exacerbation of the disease.

摘要

自身抗体-酶水解 DNA、髓鞘碱性蛋白和寡糖已在多发性硬化症 (MS) 患者的血清中被发现。在 MS 中,血液和脑脊液中存在特定的 microRNA,其特征是表达增加。特异性水解四种不同 microRNA 的自身抗体首先在精神分裂症患者的血液中被检测到。在这里,我们首次证明 MS 患者的 23 种 IgG 抗体有效识别和水解四种神经调节 microRNA(miR-137、miR-9-5p、miR-219-2-3p 和 miR-219-5p)和四种免疫调节 microRNA(miR-21-3p、miR-146a-3p、miR-155-5p 和 miR-326)。我们检查了几个已知的标准,以证明 microRNA 的识别和水解是 MS IgGs 的固有特性。大多数情况下,所有 microRNA 的水解都是特异性的。大多数 IgG 制剂对每种 microRNA 的主要和中度水解部位都一致;然而,其中一些制剂显示出其他特异性的分裂部位。一些个体 IgG 几乎在所有核苷间键上几乎非特异性地水解一些 microRNA,或者显示出特异性和非特异性分裂的组合。对于两种类型的 MS-临床孤立综合征和复发缓解型 MS 的患者的 IgG,观察到 miR-155-5p 水解的最大平均相对活性 (RA) 最高,但对于原发性进行性和继发性进行性 MS 的患者也很高。MS 患者四组 IgG 的 RA 与健康供体之间的差异具有统计学意义 ( < 0.015)。与疾病恶化相比,在缓解期间,所有八种 microRNA 的水解效率呈下降趋势。

https://cdn.ncbi.nlm.nih.gov/pmc/blobs/3d5a/8000798/151456c49cde/ijms-22-02812-g001.jpg

文献AI研究员

20分钟写一篇综述,助力文献阅读效率提升50倍。

立即体验

用中文搜PubMed

大模型驱动的PubMed中文搜索引擎

马上搜索

文档翻译

学术文献翻译模型,支持多种主流文档格式。

立即体验