Suppr超能文献

SMARCAD1介导的活性复制叉稳定性维持基因组完整性。

SMARCAD1-mediated active replication fork stability maintains genome integrity.

作者信息

Lo Calvin Shun Yu, van Toorn Marvin, Gaggioli Vincent, Paes Dias Mariana, Zhu Yifan, Manolika Eleni Maria, Zhao Wei, van der Does Marit, Mukherjee Chirantani, G S C Souto Gonçalves João, van Royen Martin E, French Pim J, Demmers Jeroen, Smal Ihor, Lans Hannes, Wheeler David, Jonkers Jos, Chaudhuri Arnab Ray, Marteijn Jurgen A, Taneja Nitika

机构信息

Department of Molecular Genetics, Erasmus MC Cancer Institute, Erasmus University Medical Center, 3000 CA Rotterdam, Netherlands.

Oncode Institute, Erasmus MC Cancer Institute, Erasmus University Medical Center, 3000 CA Rotterdam, Netherlands.

出版信息

Sci Adv. 2021 May 5;7(19). doi: 10.1126/sciadv.abe7804. Print 2021 May.

Abstract

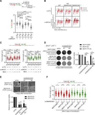
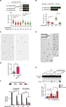
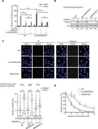
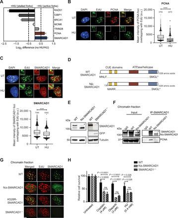
The stalled fork protection pathway mediated by breast cancer 1/2 (BRCA1/2) proteins is critical for replication fork stability. However, it is unclear whether additional mechanisms are required to maintain replication fork stability. We describe a hitherto unknown mechanism, by which the SWI/SNF-related matrix-associated actin-dependent regulator of chromatin subfamily-A containing DEAD/H box-1 (SMARCAD1) stabilizes active replication forks, that is essential to maintaining resistance towards replication poisons. We find that SMARCAD1 prevents accumulation of 53BP1-associated nucleosomes to preclude toxic enrichment of 53BP1 at the forks. In the absence of SMARCAD1, 53BP1 mediates untimely dissociation of PCNA via the PCNA-unloader ATAD5, causing frequent fork stalling, inefficient fork restart, and accumulation of single-stranded DNA. Although loss of 53BP1 in SMARCAD1 mutants rescues these defects and restores genome stability, this rescued stabilization also requires BRCA1-mediated fork protection. Notably, fork protection-challenged BRCA1-deficient naïve- or chemoresistant tumors require SMARCAD1-mediated active fork stabilization to maintain unperturbed fork progression and cellular proliferation.

摘要

由乳腺癌1/2(BRCA1/2)蛋白介导的停滞叉保护途径对复制叉稳定性至关重要。然而,尚不清楚是否需要其他机制来维持复制叉稳定性。我们描述了一种迄今未知的机制,通过该机制,含DEAD/H盒-1的SWI/SNF相关基质相关肌动蛋白依赖性染色质亚家族A调节因子(SMARCAD1)稳定活跃的复制叉,这对于维持对复制毒物的抗性至关重要。我们发现SMARCAD1可防止53BP1相关核小体的积累,以避免53BP1在叉处的毒性富集。在没有SMARCAD1的情况下,53BP1通过PCNA卸载因子ATAD5介导PCNA的过早解离,导致频繁的叉停滞、低效的叉重启以及单链DNA的积累。尽管SMARCAD1突变体中53BP1的缺失可挽救这些缺陷并恢复基因组稳定性,但这种挽救的稳定性也需要BRCA1介导的叉保护。值得注意的是,叉保护受到挑战的BRCA1缺陷的原发或化疗耐药肿瘤需要SMARCAD1介导的活跃叉稳定来维持不受干扰的叉进展和细胞增殖。

https://cdn.ncbi.nlm.nih.gov/pmc/blobs/526b/8099181/4f44d670aa7b/abe7804-F1.jpg

文献AI研究员

20分钟写一篇综述,助力文献阅读效率提升50倍。

立即体验

用中文搜PubMed

大模型驱动的PubMed中文搜索引擎

马上搜索

文档翻译

学术文献翻译模型,支持多种主流文档格式。

立即体验