Suppr超能文献

Ki67、VEGF 和 p53 与肝移植患者肝癌复发的相关性。

Correlationship between Ki67, VEGF, and p53 and Hepatocellular Carcinoma Recurrence in Liver Transplant Patients.

机构信息

Department of Hepatobiliary Disease, The 900th Hospital of the People's Liberation Army Joint Service Support Force (Dongfang Hospital), Xiamen University, Fuzhou, Fujian, China.

Department of Oncology, The 900th Hospital of the People's Liberation Army Joint Service Support Force (Dongfang Hospital), Xiamen University, Fuzhou, Fujian, China.

出版信息

Biomed Res Int. 2021 Apr 15;2021:6651397. doi: 10.1155/2021/6651397. eCollection 2021.

Abstract

BACKGROUND AND AIMS

Patients with hepatocellular carcinoma (HCC) who undergo orthotopic liver transplantation (OLT) are at risk for posttransplant tumor recurrence. The aim of this study was to evaluate the correlation between the expression of Ki67, VEGF, and p53 in HCC and clinicopathological characteristics of HCC patients, as well as their predictive value for HCC recurrence after OLT.

METHODS

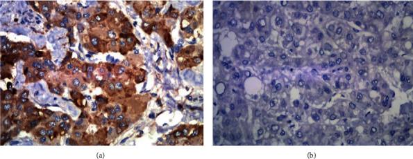
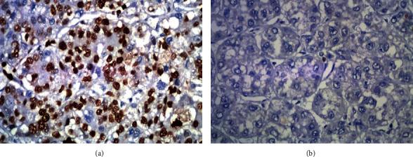
60 patients who underwent OLT and were found to have HCC in the liver explant. The expression of Ki67, VEGF, and p53 in HCC was detected by immunohistochemistry.

RESULTS

Ki67 was associated with the tumor number and the grade of differentiation at baseline. VEGF was associated with the diameter and number of tumors, tumor differentiation, and lymph node metastasis. p53 was associated with the tumor diameter and tumor encapsulation. The expression of Ki67, VEGF, and p53 in HCC was correlated with the tumor recurrence after OLT, respectively. Among them, VEGF was an independent predictor for tumor recurrence after OLT.

CONCLUSION

Ki67, VEGF, and p53 are associated with the recurrence of HCC after OLT. VEGF independently predicts the recurrence of HCC.

摘要

背景与目的

接受原位肝移植(OLT)的肝细胞癌(HCC)患者存在移植后肿瘤复发的风险。本研究旨在评估 HCC 中 Ki67、VEGF 和 p53 的表达与 HCC 患者临床病理特征的相关性,以及它们对 OLT 后 HCC 复发的预测价值。

方法

60 例接受 OLT 并在肝移植标本中发现 HCC 的患者。采用免疫组织化学法检测 HCC 中 Ki67、VEGF 和 p53 的表达。

结果

Ki67 与基线时的肿瘤数量和分化程度有关。VEGF 与肿瘤直径和数量、肿瘤分化和淋巴结转移有关。p53 与肿瘤直径和肿瘤包膜有关。HCC 中 Ki67、VEGF 和 p53 的表达与 OLT 后肿瘤复发有关。其中,VEGF 是 OLT 后肿瘤复发的独立预测因子。

结论

Ki67、VEGF 和 p53 与 OLT 后 HCC 的复发有关。VEGF 独立预测 HCC 的复发。

https://cdn.ncbi.nlm.nih.gov/pmc/blobs/0453/8064788/349bb60a3f03/BMRI2021-6651397.001.jpg

文献AI研究员

20分钟写一篇综述,助力文献阅读效率提升50倍。

立即体验

用中文搜PubMed

大模型驱动的PubMed中文搜索引擎

马上搜索

文档翻译

学术文献翻译模型,支持多种主流文档格式。

立即体验