Suppr超能文献

使用冻融法与包涵体蛋白重折叠相关的分子属性

Molecular Attributes Associated With Refolding of Inclusion Body Proteins Using the Freeze-Thaw Method.

作者信息

Singhvi Priyank, Verma Juhi, Panwar Neha, Wani Tabiya Qayoom, Singh Akansha, Qudratullah Md, Chakraborty Arnab, Saneja Ankit, Sarkar Debi P, Panda Amulya K

机构信息

Product Development Cell, National Institute of Immunology, New Delhi, India.

Department of Biochemistry, University of Delhi, New Delhi, India.

出版信息

Front Microbiol. 2021 Apr 20;12:618559. doi: 10.3389/fmicb.2021.618559. eCollection 2021.

Abstract

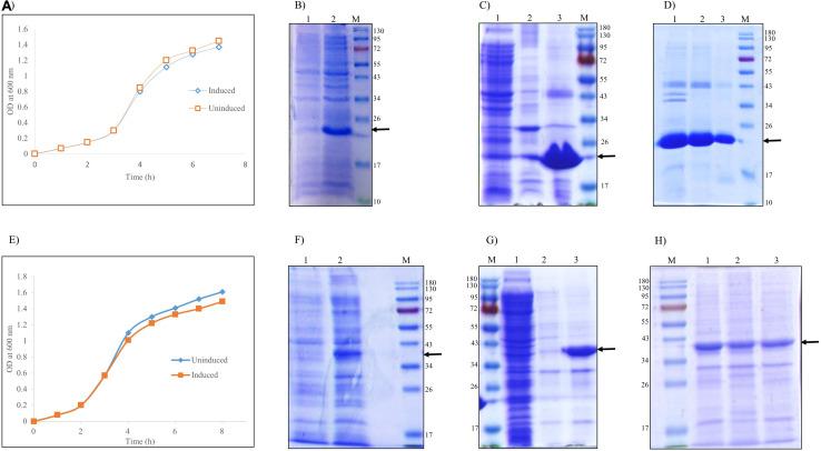
Understanding the structure-function of inclusion bodies (IBs) in the last two decades has led to the development of several mild solubilization buffers for the improved recovery of bioactive proteins. The recently developed freeze-thaw-based inclusion body protein solubilization method has received a great deal of attention due to its simplicity and cost-effectiveness. The present report investigates the reproducibility, efficiency, and plausible mechanism of the freeze-thaw-based IB solubilization. The percentage recovery of functionally active protein species of human growth hormone (hGH) and L-asparaginase from their IBs in and the quality attributes associated with the freeze-thaw-based solubilization method were analyzed in detail. The overall yield of the purified hGH and L-asparaginase protein was found to be around 14 and 25%, respectively. Both purified proteins had functionally active species lower than that observed with commercial proteins. Biophysical and biochemical analyses revealed that the formation of soluble aggregates was a major limitation in the case of tough IB protein like hGH. On the other hand, the destabilization of soft IB protein like L-asparaginase led to the poor recovery of functionally active protein species. Our study provides insight into the advantages, disadvantages, and molecular-structural information associated with the freeze-thaw-based solubilization method.

摘要

在过去二十年中,对包涵体(IBs)结构功能的理解促使人们开发出了几种温和的溶解缓冲液,以提高生物活性蛋白的回收率。最近开发的基于冻融的包涵体蛋白溶解方法因其简便性和成本效益而备受关注。本报告研究了基于冻融的包涵体溶解的重现性、效率和可能机制。详细分析了人生长激素(hGH)和L-天冬酰胺酶在其包涵体中功能活性蛋白种类的回收率以及与基于冻融的溶解方法相关的质量属性。发现纯化的hGH和L-天冬酰胺酶蛋白的总产率分别约为14%和25%。两种纯化蛋白的功能活性种类均低于市售蛋白。生物物理和生化分析表明,对于像hGH这样难溶解的包涵体蛋白,可溶性聚集体的形成是一个主要限制。另一方面,像L-天冬酰胺酶这样易溶解的包涵体蛋白的不稳定导致功能活性蛋白种类的回收率较低。我们的研究深入了解了基于冻融的溶解方法的优缺点以及相关的分子结构信息。

https://cdn.ncbi.nlm.nih.gov/pmc/blobs/a126/8093829/13c542ddba32/fmicb-12-618559-g001.jpg

文献AI研究员

20分钟写一篇综述,助力文献阅读效率提升50倍。

立即体验

用中文搜PubMed

大模型驱动的PubMed中文搜索引擎

马上搜索

文档翻译

学术文献翻译模型,支持多种主流文档格式。

立即体验