Suppr超能文献

P97基因敲除突变体的构建。

Construction of P97 Null Mutants.

作者信息

Clampitt Jeannett M, Madsen Melissa L, Minion F Chris

机构信息

Department of Veterinary Microbiology and Preventive Medicine, Iowa State University, Ames, IA, United States.

出版信息

Front Microbiol. 2021 Apr 22;12:518791. doi: 10.3389/fmicb.2021.518791. eCollection 2021.

Abstract

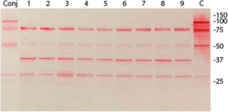
is the causative agent of enzootic pneumonia, a world-wide problem in the pig industry. This disease is characterized by a dry, non-productive cough, labored breathing, and pneumonia. Despite years of research, vaccines are marginally effective, and none fully protect pigs in a production environment. A better understanding of the host-pathogen interactions of the -pig disease, which are complex and involve both host and pathogen components, is required. Among the surface proteins involved in virulence are members of two gene families called P97 and P102. These proteins are the adhesins directing attachment of the organism to the swine respiratory epithelium. P97 is the major ciliary binding adhesin and has been studied extensively. Monoclonal antibodies that block its binding to swine cilia have contributed extensively to its characterization. In this study we use recombination to construct null mutants of P97 in and characterize the resulting mutants in terms of loss of protein by immunoblot using monoclonal antibodies, ability to bind purified swine cilia, and adherence to PK15 cells. Various approaches to recombination with this fastidious mycoplasma were tested including intact plasmid DNA, single-stranded DNA, and linear DNA with and without a heterologous RecA protein. Our results indicate that recombination can be used to generate site-specific mutants in P97 mutants are deficient in cilia binding and PK15 cell adherence, and lack the characteristic banding pattern seen in immunoblots developed with the anti-P97 monoclonal antibody.

摘要

是地方流行性肺炎的病原体,这是养猪业中一个全球性的问题。这种疾病的特征是干咳、无痰咳嗽、呼吸困难和肺炎。尽管经过多年研究,但疫苗效果甚微,在生产环境中没有一种疫苗能完全保护猪。需要更好地了解猪病的宿主 - 病原体相互作用,这种相互作用很复杂,涉及宿主和病原体成分。参与毒力的表面蛋白中有两个基因家族的成员,称为P97和P102。这些蛋白是引导该生物体附着于猪呼吸道上皮的黏附素。P97是主要的纤毛结合黏附素,已被广泛研究。阻断其与猪纤毛结合的单克隆抗体对其特性的研究有很大帮助。在本研究中,我们利用重组构建P97的缺失突变体,并通过使用单克隆抗体的免疫印迹法来表征所得突变体在蛋白质缺失、结合纯化猪纤毛的能力以及对PK15细胞的黏附方面的情况。测试了与这种苛求性支原体进行重组的各种方法,包括完整质粒DNA、单链DNA以及有和没有异源RecA蛋白的线性DNA。我们的结果表明重组可用于在中产生位点特异性突变体。P97突变体在纤毛结合和PK15细胞黏附方面存在缺陷,并且在用抗P97单克隆抗体进行免疫印迹时缺乏特征性条带模式。

https://cdn.ncbi.nlm.nih.gov/pmc/blobs/85c1/8101707/9c85abd61244/fmicb-12-518791-g001.jpg

文献AI研究员

20分钟写一篇综述,助力文献阅读效率提升50倍。

立即体验

用中文搜PubMed

大模型驱动的PubMed中文搜索引擎

马上搜索

文档翻译

学术文献翻译模型,支持多种主流文档格式。

立即体验