Suppr超能文献

航天飞行和后肢去负荷会在啮齿类动物的膝关节软骨和半月板中引起关节炎表型。

Spaceflight and hind limb unloading induces an arthritic phenotype in knee articular cartilage and menisci of rodents.

机构信息

Department of Radiation Oncology, Wake Forest School of Medicine, Winston-Salem, NC, 27157, USA.

Department of Orthopaedic Surgery, Wake Forest School of Medicine, Winston-Salem, NC, USA.

出版信息

Sci Rep. 2021 May 18;11(1):10469. doi: 10.1038/s41598-021-90010-2.

Abstract

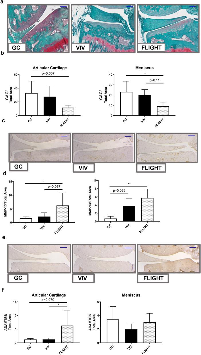
Reduced knee weight-bearing from prescription or sedentary lifestyles are associated with cartilage degradation; effects on the meniscus are unclear. Rodents exposed to spaceflight or hind limb unloading (HLU) represent unique opportunities to evaluate this question. This study evaluated arthritic changes in the medial knee compartment that bears the highest loads across the knee after actual and simulated spaceflight, and recovery with subsequent full weight-bearing. Cartilage and meniscal degradation in mice were measured via microCT, histology, and proteomics and/or biochemically after: (1) ~ 35 days on the International Space Station (ISS); (2) 13-days aboard the Space Shuttle Atlantis; or (3) 30 days of HLU, followed by a 49-day weight-bearing readaptation with/without exercise. Cartilage degradation post-ISS and HLU occurred at similar spatial locations, the tibial-femoral cartilage-cartilage contact point, with meniscal volume decline. Cartilage and meniscal glycosaminoglycan content were decreased in unloaded mice, with elevated catabolic enzymes (e.g., matrix metalloproteinases), and elevated oxidative stress and catabolic molecular pathway responses in menisci. After the 13-day Shuttle flight, meniscal degradation was observed. During readaptation, recovery of cartilage volume and thickness occurred with exercise. Reduced weight-bearing from either spaceflight or HLU induced an arthritic phenotype in cartilage and menisci, and exercise promoted recovery.

摘要

由于处方或久坐不动的生活方式导致膝关节承重减少与软骨退化有关;对半月板的影响尚不清楚。暴露于太空飞行或后肢卸载 (HLU) 的啮齿动物为评估这个问题提供了独特的机会。本研究评估了实际和模拟太空飞行后膝关节承受最高负荷的内侧膝关节间隙的关节炎变化,以及随后完全承重后的恢复情况。在国际空间站 (ISS) 上停留 35 天左右后:(1);在亚特兰蒂斯号航天飞机上停留 13 天;或 (3) 进行 30 天的 HLU,随后进行 49 天的承重再适应,同时或不进行运动。ISS 和 HLU 后软骨退化发生在相似的空间位置,即胫骨 - 股骨软骨 - 软骨接触点,同时半月板体积下降。未负重的小鼠的软骨和半月板糖胺聚糖含量减少,分解代谢酶(例如基质金属蛋白酶)升高,半月板中的氧化应激和分解代谢分子途径反应升高。在航天飞机 13 天的飞行后,观察到半月板退化。在再适应期间,运动促进了软骨体积和厚度的恢复。太空飞行或 HLU 导致的膝关节承重减少会引起软骨和半月板的关节炎表型,运动促进了恢复。

https://cdn.ncbi.nlm.nih.gov/pmc/blobs/3e31/8131644/eafca2349346/41598_2021_90010_Fig1_HTML.jpg

文献AI研究员

20分钟写一篇综述,助力文献阅读效率提升50倍。

立即体验

用中文搜PubMed

大模型驱动的PubMed中文搜索引擎

马上搜索

文档翻译

学术文献翻译模型,支持多种主流文档格式。

立即体验