Suppr超能文献

8-氧代鸟嘌呤(8-oxoG)导致不育精子顶体形成网络失调:一项采用先进技术的病例报告

Dysregulation of the Acrosome Formation Network by 8-oxoguanine (8-oxoG) in Infertile Sperm: A Case Report with Advanced Techniques.

作者信息

Kim Sung Woo, Kim Bongki, Mok Jongsoo, Kim Eun Seo, Park Joonghoon

机构信息

Animal Genetic Resources Research Center, National Institute of Animal Science (NIAS), Rural Development Administration (RDA), Hamyang 500000, Korea.

Department of Animal Resources Science, Kongju National University, Yesan 32588, Korea.

出版信息

Int J Mol Sci. 2021 May 30;22(11):5857. doi: 10.3390/ijms22115857.

Abstract

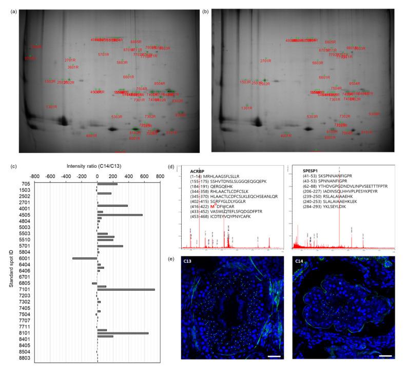
8-Hydroxyguanine (8-oxoG) is the most common oxidative DNA lesion and unrepaired 8-oxoG is associated with DNA fragmentation in sperm. However, the molecular effects of 8-oxoG on spermatogenesis are not entirely understood. Here, we identified one infertile bull (C14) due to asthenoteratozoospermia. We compared the global concentration of 8-oxoG by reverse-phase liquid chromatography/mass spectrometry (RP-LC/MS), the genomic distribution of 8-oxoG by next-generation sequencing (OG-seq), and the expression of sperm proteins by 2-dimensional polyacrylamide gel electrophoresis followed by peptide mass fingerprinting (2D-PAGE/PMF) in the sperm of C14 with those of a fertile bull (C13). We found that the average levels of 8-oxoG in C13 and C14 sperm were 0.027% and 0.044% of the total dG and it was significantly greater in infertile sperm DNA ( = 0.0028). Over 81% of the 8-oxoG loci were distributed around the transcription start site (TSS) and 165 genes harboring 8-oxoG were exclusive to infertile sperm. Functional enrichment and network analysis revealed that the Golgi apparatus was significantly enriched with the products from 8-oxoG genes of infertile sperm ( = 2.2 × 10). Proteomic analysis verified that acrosome-related proteins, including acrosin-binding protein (ACRBP), were downregulated in infertile sperm. These preliminary results suggest that 8-oxoG formation during spermatogenesis dysregulated the acrosome-related gene network, causing structural and functional defects of sperm and leading to infertility.

摘要

8-羟基鸟嘌呤(8-氧代鸟嘌呤,8-oxoG)是最常见的氧化性DNA损伤,未修复的8-oxoG与精子中的DNA片段化有关。然而,8-oxoG对精子发生的分子影响尚未完全明确。在此,我们鉴定出一头因弱畸精子症而不育的公牛(C14)。我们通过反相液相色谱/质谱联用(RP-LC/MS)比较了8-oxoG的整体浓度,通过二代测序(OG-seq)比较了8-oxoG的基因组分布,并通过二维聚丙烯酰胺凝胶电泳结合肽质量指纹图谱(2D-PAGE/PMF)比较了C14精子与一头可育公牛(C13)精子中精子蛋白的表达。我们发现,C13和C14精子中8-oxoG的平均水平分别占总dG的0.027%和0.044%,不育精子DNA中的该水平显著更高(P = 0.0028)。超过81%的8-oxoG位点分布在转录起始位点(TSS)周围,165个含有8-oxoG的基因是不育精子所特有的。功能富集和网络分析显示,不育精子的8-oxoG基因产物在高尔基体中显著富集(P = 2.2×10)。蛋白质组学分析证实,包括顶体素结合蛋白(ACRBP)在内的顶体相关蛋白在不育精子中表达下调。这些初步结果表明,精子发生过程中8-oxoG的形成使顶体相关基因网络失调,导致精子的结构和功能缺陷,进而导致不育。

https://cdn.ncbi.nlm.nih.gov/pmc/blobs/78bc/8199233/e39c87126122/ijms-22-05857-g001.jpg

文献AI研究员

20分钟写一篇综述,助力文献阅读效率提升50倍。

立即体验

用中文搜PubMed

大模型驱动的PubMed中文搜索引擎

马上搜索

文档翻译

学术文献翻译模型,支持多种主流文档格式。

立即体验