Suppr超能文献

计数有丝分裂:大小很重要!

Counting mitoses: SI(ze) matters!

机构信息

International Agency for Research on Cancer (IARC), World Health Organization, Lyon, France.

Division of Pathology, Singapore General Hospital, Singapore, Singapore.

出版信息

Mod Pathol. 2021 Sep;34(9):1651-1657. doi: 10.1038/s41379-021-00825-7. Epub 2021 Jun 2.

Abstract

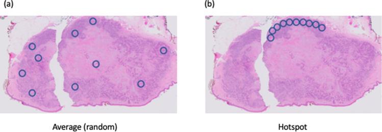
Mitoses are often assessed by pathologists to assist the diagnosis of cancer, and to grade malignancy, informing prognosis. Historically, this has been done by expressing the number of mitoses per n high power fields (HPFs), ignoring the fact that microscope fields may differ substantially, even at the same high power (×400) magnification. Despite a requirement to define HPF size in scientific papers, many authors fail to address this issue adequately. The problem is compounded by the switch to digital pathology systems, where ×400 equivalent fields are rectangular and also vary in the area displayed. The potential for error is considerable, and at times this may affect patient care. This is easily solved by the use of standardized international (SI) units. We, therefore, recommend that features such as mitoses are always counted per mm, with an indication of the area to be counted and the method used (usually "hotspot" or "average") to obtain the results.

摘要

有丝分裂通常由病理学家评估,以协助癌症诊断,并对恶性程度进行分级,从而预测预后。从历史上看,这是通过每 n 个高倍视野(HPF)中的有丝分裂数量来表示的,而忽略了这样一个事实,即即使在相同的高倍(×400)放大倍数下,显微镜视野也可能有很大差异。尽管科学论文中有规定 HPF 大小的要求,但许多作者未能充分解决这个问题。数字化病理系统的应用使问题更加复杂,因为在数字化病理系统中,×400 等效视野是矩形的,并且显示的区域也不同。出错的可能性相当大,有时这可能会影响患者的治疗。这可以通过使用标准化的国际(SI)单位轻松解决。因此,我们建议始终按毫米计算有丝分裂等特征,并指出要计算的区域以及用于获得结果的方法(通常是“热点”或“平均值”)。

https://cdn.ncbi.nlm.nih.gov/pmc/blobs/411b/8376633/9e5c70572128/41379_2021_825_Fig1_HTML.jpg

文献AI研究员

20分钟写一篇综述,助力文献阅读效率提升50倍。

立即体验

用中文搜PubMed

大模型驱动的PubMed中文搜索引擎

马上搜索

文档翻译

学术文献翻译模型,支持多种主流文档格式。

立即体验