Suppr超能文献

解析 AgRP-血清素能神经回路在能量代谢和摄食方面的不同控制作用。

Deciphering an AgRP-serotoninergic neural circuit in distinct control of energy metabolism from feeding.

机构信息

USDA/ARS Children's Nutrition Research Center, Baylor College of Medicine, Houston, TX, USA.

Department of Pediatrics, Baylor College of Medicine, Houston, TX, USA.

出版信息

Nat Commun. 2021 Jun 10;12(1):3525. doi: 10.1038/s41467-021-23846-x.

Abstract

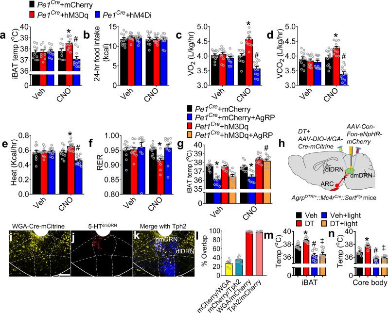
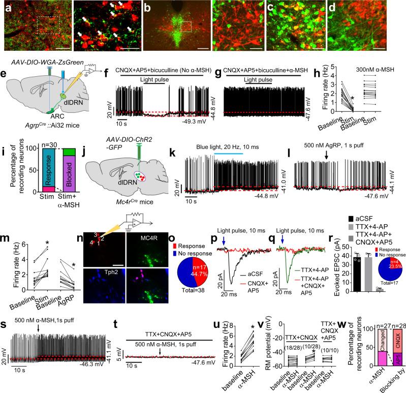
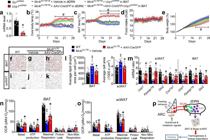
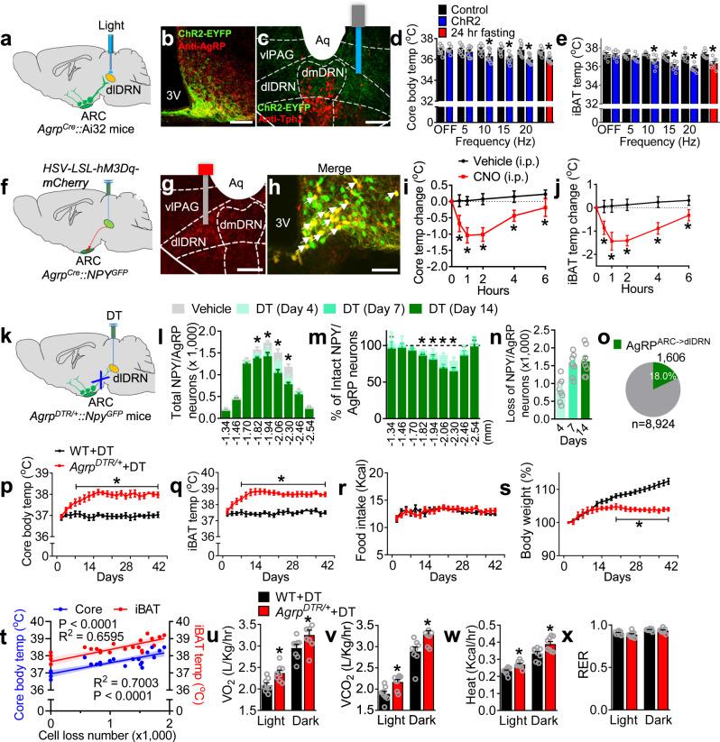
Contrasting to the established role of the hypothalamic agouti-related protein (AgRP) neurons in feeding regulation, the neural circuit and signaling mechanisms by which they control energy expenditure remains unclear. Here, we report that energy expenditure is regulated by a subgroup of AgRP neurons that send non-collateral projections to neurons within the dorsal lateral part of dorsal raphe nucleus (dlDRN) expressing the melanocortin 4 receptor (MC4R), which in turn innervate nearby serotonergic (5-HT) neurons. Genetic manipulations reveal a bi-directional control of energy expenditure by this circuit without affecting food intake. Fiber photometry and electrophysiological results indicate that the thermo-sensing MC4R neurons integrate pre-synaptic AgRP signaling, thereby modulating the post-synaptic serotonergic pathway. Specifically, the MC4R signaling elicits profound, bi-directional, regulation of body weight mainly through sympathetic outflow that reprograms mitochondrial bioenergetics within brown and beige fat while feeding remains intact. Together, we suggest that this AgRP neural circuit plays a unique role in persistent control of energy expenditure and body weight, hinting next-generation therapeutic approaches for obesity and metabolic disorders.

摘要

与下丘脑刺鼠相关肽 (AgRP) 神经元在进食调节中的既定作用相反,它们控制能量消耗的神经回路和信号机制仍不清楚。在这里,我们报告说,能量消耗受到 AgRP 神经元亚群的调节,这些神经元向表达黑素皮质素 4 受体 (MC4R) 的背侧中缝核 (dlDRN) 背外侧部分的神经元发出非侧枝投射,而这些神经元反过来又支配附近的 5-羟色胺能 (5-HT) 神经元。遗传操作表明,该回路对能量消耗具有双向控制作用,而不影响食物摄入。光纤光度法和电生理结果表明,热敏感的 MC4R 神经元整合了 AgRP 信号的前突,从而调节了 5-HT 能神经元的后突。具体来说,MC4R 信号通过交感传出引起体重的深刻双向调节,从而重塑棕色和米色脂肪中的线粒体生物能,同时保持进食完整。总之,我们认为该 AgRP 神经回路在持续控制能量消耗和体重方面发挥着独特的作用,暗示了针对肥胖和代谢紊乱的下一代治疗方法。

https://cdn.ncbi.nlm.nih.gov/pmc/blobs/7d55/8192783/34c480a382b5/41467_2021_23846_Fig1_HTML.jpg

文献AI研究员

20分钟写一篇综述,助力文献阅读效率提升50倍。

立即体验

用中文搜PubMed

大模型驱动的PubMed中文搜索引擎

马上搜索

文档翻译

学术文献翻译模型,支持多种主流文档格式。

立即体验