Suppr超能文献

当归素通过STAT3信号通路调节巨噬细胞极化减轻创伤后骨关节炎进展

Angelicin Alleviates Post-Trauma Osteoarthritis Progression by Regulating Macrophage Polarization via STAT3 Signaling Pathway.

作者信息

Tian Zhansong, Zeng Fanchun, Zhao Chunrong, Dong Shiwu

机构信息

Department of Biomedical Materials Science, School of Biomedical Engineering, Third Military Medical University, Chongqing, China.

State Key Laboratory of Trauma, Burns and Combined Injury, Third Military Medical University, Chongqing, China.

出版信息

Front Pharmacol. 2021 Jun 9;12:669213. doi: 10.3389/fphar.2021.669213. eCollection 2021.

Abstract

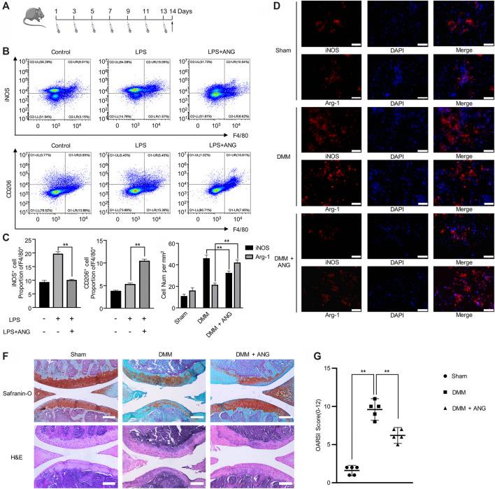
Post-trauma osteoarthritis (PTOA) is the most common articular disease characterized by degeneration and destruction of articular cartilage (Bultink and Lems, Curr. Rheumatol Rep., 2013, 15, 328). Inflammatory response of local joint tissue induced by trauma is the most critical factor accelerating osteoarthritis (OA) progression (Sharma et al., 2019; Osteoarthritis. Cartilage, 28, 658-668). M1/M2 macrophages polarization and repolarization participates in local inflammation, which plays a major role in the progression of OA (Zhang et al., 2018; Ann. Rheum. Dis., 77, 1524-1534). The regulating effect of macrophage polarization has been reported as a potential therapy to alleviate OA progression. Synovitis induced by polarized macrophages could profoundly affect the chondrocyte and cartilage matrix (Zhang et al., 2018; Ann. Rheum. Dis., 77, 1524-1534). Generally, anti-inflammatory medications widely used in clinical practice have serious side effects. Therefore, we focus on exploring a new therapeutic strategy with fewer side effects to alleviate the synovitis. Angelicin (ANG) is traditional medicine used in various folk medicine. Previous studies have revealed that angelicin has an inhibitory effect on inflammation (Wei et al., 2016; Inflammation, 39, 1876-1882), tumor growth (Li et al., 2016; Oncology reports, 36, 3,504-3,512; Wang et al., 2017; Molecular Medicine Reports, 16, 5441-5449), DNA damage (Li et al., 2019; Exp. Ther. Med., 18, 1899-1906), and virus proliferation (Li et al., 2018; Front. Cell. Infect. Microbiol., 8, 178). But its specific effects on influencing the process of OA were rarely reported. In this study, the molecular mechanism of angelicin and was clearly investigated. Results showed that angelicin could regulate the M1/M2 ratio and function and alleviate the development of PTOA in the meanwhile. Bone marrow monocytes were isolated and induced by macrophage colony-stimulating factor (M-CSF), lipopolysaccharide (LPS) and interferon (IFN)-γ for M1 polarization and interleukin (IL)-4/IL-13 for M2 polarization. Subsequently, repolarization intervention was performed. The results indicate that angelicin can repolarize M1 toward M2 macrophages by upregulating the expression of CD9. Besides, angelicin can also protect and maintain M2 polarization in the presence of LPS/IFN-γ, and subsequently downregulate the expression of inflammatory mediators such as IL-1β and TNF-α. Mechanistically, angelicin can activate the p-STAT3/STAT3 pathway by conducting CD9/gp130 to repolarize toward M2 macrophages. These results suggest angelicin can alleviate the progression of OA by regulating M1/M2 polarization via the STAT3/p-STAT3 pathway. Therefore, angelicin may have a promising application and potential therapeutic value in OA clinical treatment.

摘要

创伤后骨关节炎(PTOA)是最常见的关节疾病,其特征为关节软骨的退变和破坏(Bultink和Lems,《当前风湿病报告》,2013年,第15卷,第328页)。创伤诱导的局部关节组织炎症反应是加速骨关节炎(OA)进展的最关键因素(Sharma等人,2019年;《骨关节炎与软骨》,第28卷,第658 - 668页)。M1/M2巨噬细胞极化和再极化参与局部炎症,这在OA进展中起主要作用(Zhang等人,2018年;《风湿病学年鉴》,第77卷,第1524 - 1534页)。巨噬细胞极化的调节作用已被报道为缓解OA进展的一种潜在疗法。极化巨噬细胞诱导的滑膜炎可深刻影响软骨细胞和软骨基质(Zhang等人,2018年;《风湿病学年鉴》,第77卷,第1524 - 1534页)。一般来说,临床实践中广泛使用的抗炎药物有严重的副作用。因此,我们专注于探索一种副作用较少的新治疗策略来缓解滑膜炎。白芷素(ANG)是在各种民间药物中使用的传统药物。先前的研究表明白芷素对炎症(Wei等人,2016年;《炎症》,第39卷,第1876 - 1882页)、肿瘤生长(Li等人,2016年;《肿瘤学报告》,第36卷,第3期,第3504 - 3512页;Wang等人,2017年;《分子医学报告》,第16卷,第5441 - 5449页)、DNA损伤(Li等人,2019年;《实验治疗医学》第18卷,第1899 - 1906页)和病毒增殖(Li等人,2018年;《前沿细胞与感染微生物学》,第8卷,第178页)具有抑制作用。但其对OA进程影响的具体作用鲜有报道。在本研究中,对白芷素的分子机制进行了明确研究。结果表明,白芷素可调节M1/M2比例和功能,同时缓解PTOA的发展。分离骨髓单核细胞,用巨噬细胞集落刺激因子(M - CSF)、脂多糖(LPS)和干扰素(IFN) - γ诱导M1极化,用白细胞介素(IL) - 4/IL - 13诱导M₂极化。随后进行再极化干预。结果表明,白芷素可通过上调CD9的表达使M1向M2巨噬细胞再极化。此外,白芷素在存在LPS/IFN - γ的情况下还可保护并维持M2极化,随后下调IL - 1β和TNF - α等炎症介质的表达。机制上,白芷素可通过传导CD9/gp130激活p - STAT3/STAT3通路,使其向M2巨噬细胞再极化。这些结果表明,白芷素可通过STAT3/p - STAT3通路调节M1/M2极化来缓解OA的进展。因此,白芷素在OA临床治疗中可能具有广阔的应用前景和潜在治疗价值。

https://cdn.ncbi.nlm.nih.gov/pmc/blobs/b381/8223070/86933d37f4fe/fphar-12-669213-g001.jpg

文献AI研究员

20分钟写一篇综述,助力文献阅读效率提升50倍。

立即体验

用中文搜PubMed

大模型驱动的PubMed中文搜索引擎

马上搜索

文档翻译

学术文献翻译模型,支持多种主流文档格式。

立即体验