Suppr超能文献

LncGBP9/miR-34a 轴通过 STAT1/STAT6 和 SOCS3 驱动巨噬细胞向有利于脊髓损伤修复的表型发展。

LncGBP9/miR-34a axis drives macrophages toward a phenotype conducive for spinal cord injury repair via STAT1/STAT6 and SOCS3.

机构信息

Department of Orthopedics, The Third Xiangya Hospital, Central South University, Changsha, 410013, China.

Department of Spine Surgery, Xiangya Hospital of Central South University, Changsha, 410008, PR of China.

出版信息

J Neuroinflammation. 2020 Apr 28;17(1):134. doi: 10.1186/s12974-020-01805-5.

Abstract

BACKGROUND

Acute spinal cord injury (SCI) could cause mainly two types of pathological sequelae, the primary mechanical injury, and the secondary injury. The macrophage in SCI are skewed toward the M1 phenotype that might cause the failure to post-SCI repair.

METHODS

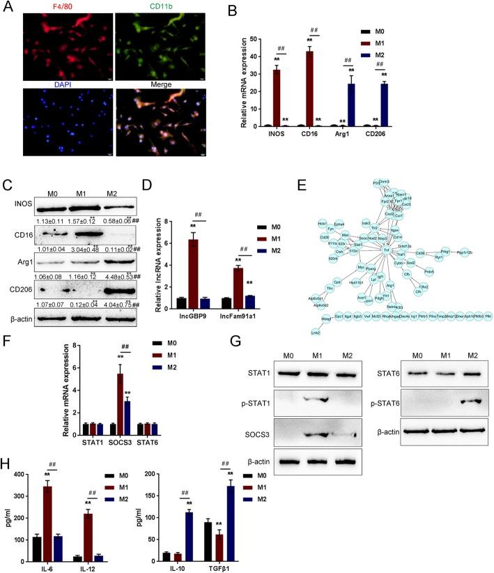
SCI model was established in Balb/c mice, and the changes in macrophage phenotypes after SCI were monitored. Bioinformatic analyses were performed to select factors that might regulate macrophage polarization after SCI. Mouse bone marrow-derived macrophages (BMDMs) were isolated, identified, and induced for M1 or M2 polarization; the effects of lncRNA guanylate binding protein-9 (lncGBP9) and suppressor of cytokine signaling 3 (SOCS3) on macrophages polarization were examined in vitro and in vivo. The predicted miR-34a binding to lncGBP9 and SOCS3 was validated; the dynamic effects of lncGBP9 and miR-34a on SOCS3, signal transducer and activator of transcription 1 (STAT1)/STAT6 signaling, and macrophage polarization were examined. Finally, we investigated whether STAT6 could bind the miR-34a promoter to activate its transcription.

RESULTS

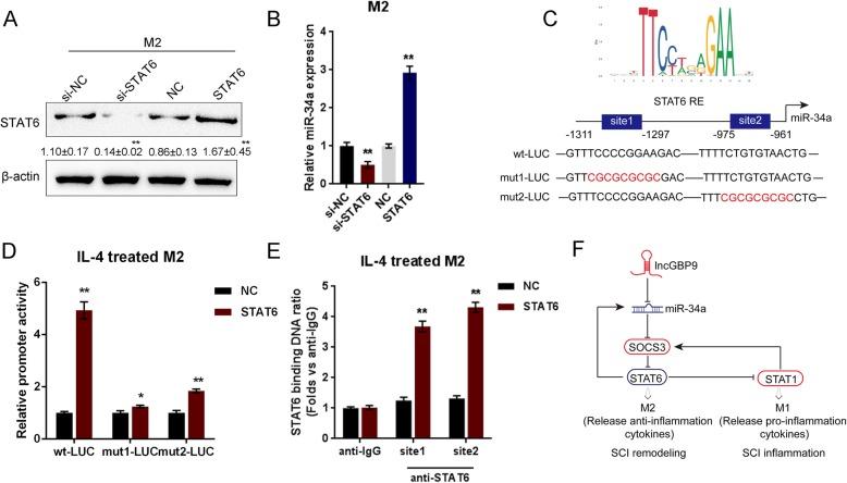
In SCI Balb/c mice, macrophage skewing toward M1 phenotypes was observed after SCI. In M1 macrophages, lncGBP9 silencing significantly decreased p-STAT1 and SOCS3 expression and protein levels, as well as the production of Interleukin (IL)-6 and IL-12; in M2 macrophages, lncGBP9 overexpression increased SOCS3 mRNA expression and protein levels while suppressed p-STAT6 levels and the production of IL-10 and transforming growth factor-beta 1 (TGF-β1), indicating that lncGBP9 overexpression promotes the M1 polarization of macrophages. In lncGBP9-silenced SCI mice, the M2 polarization was promoted on day 28 after the operation, further indicating that lncGBP9 silencing revised the predominance of M1 phenotype at the late stage of secondary injury after SCI, therefore improving the repair after SCI. IncGBP9 competed with SOCS3 for miR-34a binding to counteract miR-34a-mediated suppression on SOCS3 and then modulated STAT1/STAT6 signaling and the polarization of macrophages. STAT6 bound the promoter of miR-34a to activate its transcription.

CONCLUSIONS

In macrophages, lncGBP9 sponges miR-34a to rescue SOCS3 expression, therefore modulating macrophage polarization through STAT1/STAT6 signaling. STAT6 bound the promoter of miR-34a to activate its transcription, thus forming two different regulatory loops to modulate the phenotype of macrophages after SCI.

摘要

背景

急性脊髓损伤(SCI)主要可引起两种类型的病理后遗症,即原发性机械损伤和继发性损伤。SCI 中的巨噬细胞向 M1 表型倾斜,这可能导致 SCI 后修复失败。

方法

在 Balb/c 小鼠中建立 SCI 模型,监测 SCI 后巨噬细胞表型的变化。进行生物信息学分析,以选择可能调节 SCI 后巨噬细胞极化的因素。分离、鉴定并诱导小鼠骨髓来源的巨噬细胞(BMDM)向 M1 或 M2 极化;在体外和体内研究长非编码 RNA 鸟嘌呤核苷酸结合蛋白 9(lncGBP9)和细胞因子信号转导抑制因子 3(SOCS3)对巨噬细胞极化的影响。验证预测的 miR-34a 与 lncGBP9 和 SOCS3 的结合;检测 lncGBP9 和 miR-34a 对 SOCS3、信号转导和转录激活因子 1(STAT1)/STAT6 信号以及巨噬细胞极化的动态影响。最后,我们研究了 STAT6 是否可以结合 miR-34a 启动子来激活其转录。

结果

在 SCI Balb/c 小鼠中,SCI 后观察到巨噬细胞向 M1 表型倾斜。在 M1 巨噬细胞中,lncGBP9 沉默显著降低 p-STAT1 和 SOCS3 的表达和蛋白水平,以及白细胞介素(IL)-6 和 IL-12 的产生;在 M2 巨噬细胞中,lncGBP9 过表达增加 SOCS3 mRNA 表达和蛋白水平,同时抑制 p-STAT6 水平和 IL-10 和转化生长因子-β1(TGF-β1)的产生,表明 lncGBP9 过表达促进巨噬细胞向 M1 极化。在 lncGBP9 沉默的 SCI 小鼠中,术后第 28 天促进 M2 极化,进一步表明 lncGBP9 沉默在 SCI 继发性损伤后期修正了 M1 表型的优势,从而改善了 SCI 后的修复。lncGBP9 与 SOCS3 竞争与 miR-34a 的结合,从而抵消 miR-34a 对 SOCS3 的抑制作用,进而调节 STAT1/STAT6 信号和巨噬细胞极化。STAT6 结合 miR-34a 启动子以激活其转录。

结论

在巨噬细胞中,lncGBP9 海绵 miR-34a 以挽救 SOCS3 的表达,从而通过 STAT1/STAT6 信号调节巨噬细胞极化。STAT6 结合 miR-34a 启动子以激活其转录,从而形成两个不同的调节环来调节 SCI 后巨噬细胞的表型。

https://cdn.ncbi.nlm.nih.gov/pmc/blobs/2caf/7187522/b1283d4013b0/12974_2020_1805_Fig1_HTML.jpg

文献AI研究员

20分钟写一篇综述,助力文献阅读效率提升50倍。

立即体验

用中文搜PubMed

大模型驱动的PubMed中文搜索引擎

马上搜索

文档翻译

学术文献翻译模型,支持多种主流文档格式。

立即体验