Suppr超能文献

SU5416联合低氧可诱导大鼠发生肺动脉高压,但卡博替尼联合低氧选择性抑制血管内皮生长因子受体2(VEGFR2)则不会:骨形态发生蛋白受体2(BMPR2)信号传导的潜在作用

SU5416 plus hypoxia but not selective VEGFR2 inhibition with cabozantinib plus hypoxia induces pulmonary hypertension in rats: potential role of BMPR2 signaling.

作者信息

Sitapara Ravikumar, Sugarragchaa Chuluunbaatar, Zisman Lawrence S

机构信息

Gossamer Bio, Inc., San Diego, CA, USA.

Pulmokine, Inc., Rensselaer, NY, USA.

出版信息

Pulm Circ. 2021 Jun 9;11(3):20458940211021528. doi: 10.1177/20458940211021528. eCollection 2021 Jul-Sep.

Abstract

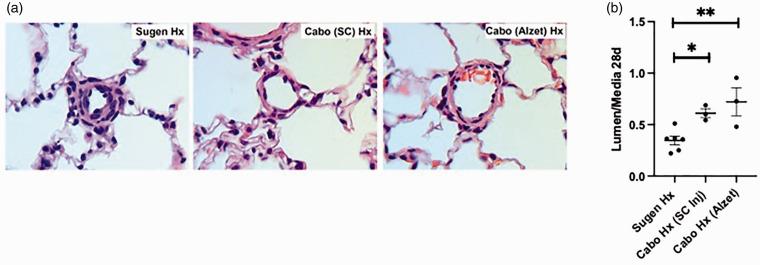
SU5416 plus chronic hypoxia causes pulmonary arterial hypertension in rats and is assumed to occur through VEGFR2 inhibition. Cabozantinib is a far more potent VEGFR2 inhibitor than SU5416. Therefore, we hypothesized that cabozantinib plus hypoxia would induce severe pulmonary arterial hypertension in rats. Cell proliferation and pharmacokinetic studies were performed. Rats were given SU5416 or cabozantinib subcutaneously or via osmotic pump and kept hypoxic for three weeks. Right ventricular systolic pressure and hypertrophy were evaluated at days 14 and 28 following removal from hypoxia. Right ventricular fibrosis was evaluated with Picro-Sirius Red staining. Kinome inhibition profiles of SU5416 and cabozantinib were performed. Inhibitor binding constants of SU5416 and cabozantinib for BMPR2 were determined and Nanostring analyses of lung mRNA were performed. Cabozantinib was a more potent VEGFR inhibitor than SU5416 and had a longer half-life in rats. Cabozantinib subcutaneous plus hypoxia did not induce severe pulmonary arterial hypertension. Right ventricular systolic pressure at 14 and 28 days post-hypoxia was 36.8 ± 2.3 mmHg and 36.2 ± 3.4 mmHg, respectively, versus 27.5 ± 1.5 mmHg in normal controls. For cabozantinib given by osmotic pump during hypoxia, right ventricular systolic pressure was 40.0 ± 3.1 mmHg at 14 days and 27.9 ± 1.9 mmHg at 28 days post-hypoxia. SU5416 plus hypoxia induced severe pulmonary arterial hypertension (right ventricular systolic pressure 61.9 ± 6.1 mmHg and 64.9 ± 8.4 mmHg at 14 and 28 days post-hypoxia, respectively). Cabozantinib induced less right ventricular hypertrophy (right ventricular free wall weight/(left ventricular free wall weight + interventricular septum weight) at 14 days post-hypoxia compared to SU5416. Right ventricular fibrosis was more extensive in the SU5416 groups compared to the cabozantinib groups. SU5416 (but not cabozantinib) inhibited BMPR2. Nanostring analyses showed effects on pulmonary gene expression of BMP10 and VEGFR1 in the SU5416 28 days post-hypoxia group. In conclusion, selective VEGFR2 inhibition using cabozantinib plus hypoxia did not induce severe pulmonary arterial hypertension. Severe pulmonary arterial hypertension due to SU5416 plus hypoxia may be due to combined VEGFR2 and BMPR2 inhibition.

摘要

SU5416加慢性低氧可导致大鼠肺动脉高压,推测其通过抑制血管内皮生长因子受体2(VEGFR2)发生。卡博替尼是一种比SU5416更强效的VEGFR2抑制剂。因此,我们假设卡博替尼加低氧会在大鼠中诱发严重的肺动脉高压。进行了细胞增殖和药代动力学研究。给大鼠皮下注射或通过渗透泵给予SU5416或卡博替尼,并使其处于低氧状态3周。在脱离低氧状态后的第14天和第28天评估右心室收缩压和肥厚情况。用苦味酸天狼星红染色评估右心室纤维化。对SU5416和卡博替尼进行激酶组抑制谱分析。测定SU5416和卡博替尼对骨形态发生蛋白受体2(BMPR2)的抑制剂结合常数,并对肺mRNA进行纳米串分析。卡博替尼是比SU5416更强效的VEGFR抑制剂,在大鼠中的半衰期更长。卡博替尼皮下注射加低氧未诱发严重的肺动脉高压。低氧后第14天和第28天的右心室收缩压分别为36.8±2.3 mmHg和36.2±3.4 mmHg,而正常对照组为27.5±1.5 mmHg。对于在低氧期间通过渗透泵给予卡博替尼的情况,低氧后第14天右心室收缩压为40.0±3.1 mmHg,第28天为27.9±1.9 mmHg。SU5416加低氧诱发了严重的肺动脉高压(低氧后第14天和第28天右心室收缩压分别为61.9±6.1 mmHg和64.9±8.4 mmHg)。与SU5416相比,卡博替尼诱发的右心室肥厚较轻(低氧后第14天右心室游离壁重量/(左心室游离壁重量+室间隔重量))。与卡博替尼组相比,SU5416组的右心室纤维化更广泛。SU5416(而非卡博替尼)抑制BMPR2。纳米串分析显示,在低氧后28天的SU5416组中,对骨形态发生蛋白10(BMP10)和VEGFR1的肺基因表达有影响。总之,使用卡博替尼加低氧进行选择性VEGFR2抑制未诱发严重的肺动脉高压。SU5416加低氧导致的严重肺动脉高压可能是由于VEGFR2和BMPR2联合抑制所致。

https://cdn.ncbi.nlm.nih.gov/pmc/blobs/8e52/8202272/2ac2f4c855c1/10.1177_20458940211021528-fig1.jpg

文献AI研究员

20分钟写一篇综述,助力文献阅读效率提升50倍。

立即体验

用中文搜PubMed

大模型驱动的PubMed中文搜索引擎

马上搜索

文档翻译

学术文献翻译模型,支持多种主流文档格式。

立即体验