Suppr超能文献

C16,一种新型的盐酸青藤碱衍生物,促进巨噬细胞向 M2 样表型重编程,并保护小鼠免受内毒素血症的影响。

C16, a novel sinomenine derivatives, promoted macrophage reprogramming toward M2-like phenotype and protected mice from endotoxemia.

机构信息

Taizhou People's Hospital, Taizhou, Jiangsu, China.

The Fourth Affiliated Hospital of Jiangsu University, Zhenjiang, Jiangsu, China.

出版信息

Int J Immunopathol Pharmacol. 2021 Jan-Dec;35:20587384211026786. doi: 10.1177/20587384211026786.

Abstract

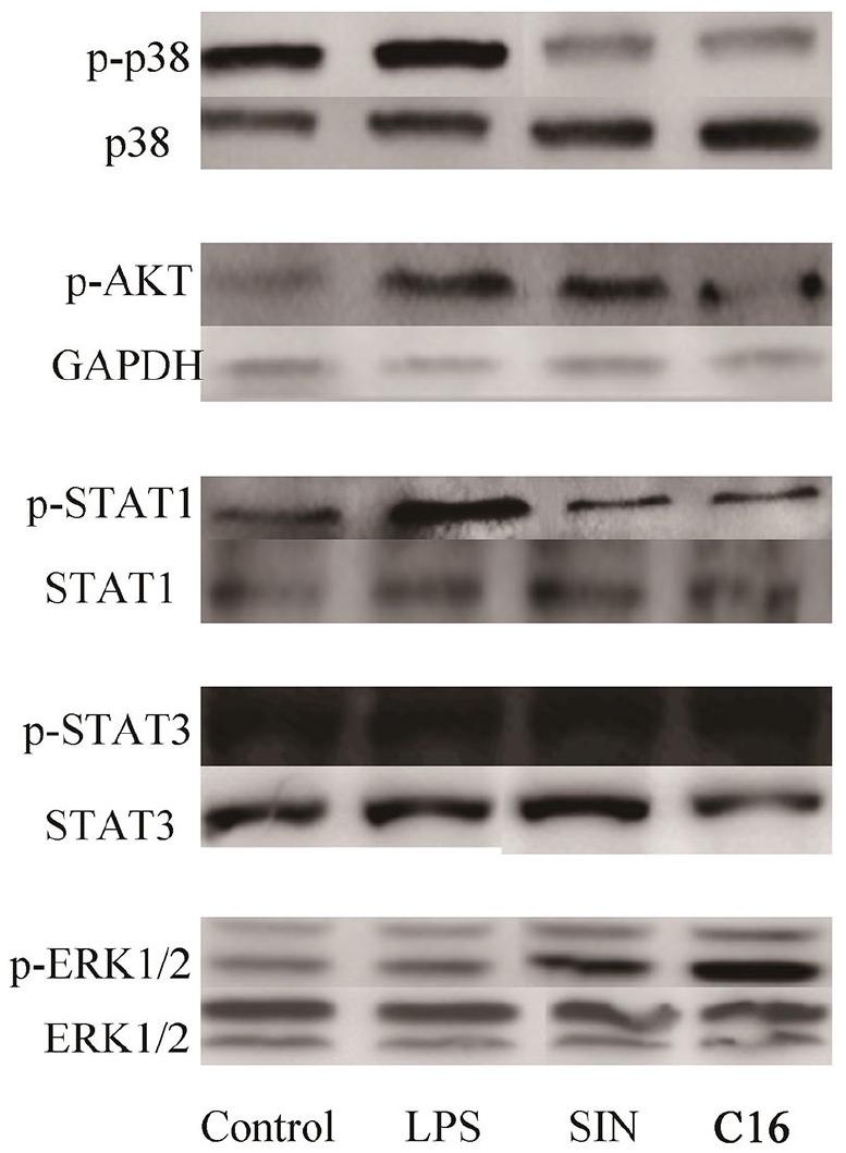
Macrophage plays a critical part in host defense, tissue repair, and anti-inflammation; Macrophage reprogramming is responsible for disease development or regression. We aimed to clarify the effect of sinomenine-4-hydroxy-palmitate (C16), on macrophage reprogramming and anti-inflammatory in endotoxemia model. According to a structure modification of SIN (Sinomenine), C16 was found. Then, based on the endotoxin model, the mice liver and kidney toxicity was evaluated and serum cytokines level of IL-6 (Interleukin-6), TNF-α (Tumor necrosis factor-α), and IL-1β (Interleukin-1β) were measured by ELISA (Enzyme linked immunosorbent assay). Then, we confirmed the effect of C16 on macrophages reprogramming, we used the flow cytometry to test the effect of C16 on macrophages apoptosis in vitro. Then, iNOS (Inducible nitric oxide synthase), M1-type related cytokines, such as IL-1β, TNF-α, and M2-type related cytokines, such as Arg-1 (Arginase-1), CD206, Fizz1, and Ym1 was detected, which expressed in ANA-1 and primary peritoneal macrophages. To further explore the molecular mechanism of C16 in reprogramming of macrophages from M1 toward M2 phenotype, the expression of STAT1 (signal transducer and activator of Transcription 1), STAT3, ERK1/2 (extracellular signal regulated kinase1/2), AKT, p38, and its corresponding phosphorylation were determined by western blot. Our results demonstrated that C16 improved the survival rate of LPS- (lipopolysaccharide) challenged mice and decreased the inflammatory cytokines expression; After C16 treatment, the expression of M1 phenotype correlation factors decreased significantly, while the expression of M2 phenotype correlation factors increased significantly at different levels compared with normal group. It indicated that C16 reprogram macrophages phenotype from M1 toward M2 following LPS stimulus. Furthermore, the results also showed that C16 showed anti-inflammatory effect by inhibiting LPS-induced p38, AKT and STAT1 phosphorylation and contributing ERK1/2 activation. C16 promoted macrophage reprogramming toward M2-like phenotype via p-p38/p-AKT or STAT1 signals pathway and C16 might be a valid candidate for inflammatory disease.

摘要

巨噬细胞在宿主防御、组织修复和抗炎中起着关键作用;巨噬细胞重编程负责疾病的发展或消退。我们旨在阐明辛诺明-4-羟基-棕榈酸酯(C16)对脂多糖模型中巨噬细胞重编程和抗炎的影响。根据 SIN(盐酸青藤碱)的结构修饰,发现了 C16。然后,基于内毒素模型,评估了 C16 对小鼠肝肾功能的毒性,并通过 ELISA(酶联免疫吸附试验)测量了血清细胞因子 IL-6(白细胞介素-6)、TNF-α(肿瘤坏死因子-α)和 IL-1β(白细胞介素-1β)的水平。然后,我们确认了 C16 对巨噬细胞重编程的影响,我们使用流式细胞术测试了 C16 对体外巨噬细胞凋亡的影响。然后,我们检测了 iNOS(诱导型一氧化氮合酶)、M1 型相关细胞因子,如 IL-1β、TNF-α,和 M2 型相关细胞因子,如 Arg-1(精氨酸酶-1)、CD206、Fizz1 和 Ym1,这些因子在 ANA-1 和原代腹腔巨噬细胞中表达。为了进一步探讨 C16 在巨噬细胞从 M1 向 M2 表型重编程中的分子机制,通过 Western blot 测定了 STAT1(信号转导和转录激活因子 1)、STAT3、ERK1/2(细胞外信号调节激酶 1/2)、AKT、p38 及其相应磷酸化的表达。我们的结果表明,C16 提高了 LPS(脂多糖)挑战小鼠的存活率,并降低了炎症细胞因子的表达;与正常组相比,C16 处理后,M1 表型相关因子的表达明显下降,而 M2 表型相关因子的表达水平显著升高。这表明 C16 可以在 LPS 刺激下使巨噬细胞表型从 M1 向 M2 重编程。此外,结果还表明,C16 通过抑制 LPS 诱导的 p38、AKT 和 STAT1 磷酸化并促进 ERK1/2 激活来发挥抗炎作用。C16 通过 p-p38/p-AKT 或 STAT1 信号通路促进巨噬细胞向 M2 样表型重编程,C16 可能是炎症性疾病的有效候选药物。

https://cdn.ncbi.nlm.nih.gov/pmc/blobs/df9a/8256249/bad9a9977aa0/10.1177_20587384211026786-fig1.jpg

文献AI研究员

20分钟写一篇综述,助力文献阅读效率提升50倍。

立即体验

用中文搜PubMed

大模型驱动的PubMed中文搜索引擎

马上搜索

文档翻译

学术文献翻译模型,支持多种主流文档格式。

立即体验