Suppr超能文献

基于菲咯啉配体钌配合物的光诱导 DNA 断裂和光细胞毒性。

Photoinduced DNA Cleavage and Photocytotoxic of Phenanthroline-Based Ligand Ruthenium Compounds.

机构信息

Hunan Province Cooperative Innovation Center for the Construction & Development of Dongting Lake Ecological Economic Zone, College of Chemistry and Materials Engineering, Hunan University of Arts and Science, Changde 415000, China.

Hunan Provincial Key Laboratory of Water Treatment Functional Materials, Hunan University of Arts and Science, Changde 415000, China.

出版信息

Molecules. 2021 Jun 7;26(11):3471. doi: 10.3390/molecules26113471.

Abstract

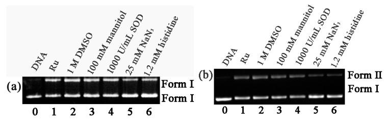
The photophysical and biological properties of two new phenanthroline-based ligand ruthenium complexes were investigated in detail. Their DNA interaction modes were determined to be the intercalation mode using spectra titration and viscosity measurements. Under irradiation, obvious photo-reduced DNA cleavages were observed in the two complexes via singlet oxygen generation. Furthermore, complex showed higher DNA affinity, photocleavage activity, and singlet oxygen quantum yields than complex . The two complexes showed no toxicity towards tumor cells (HeLa, A549, and A375) in the dark. However, obvious photocytotoxicities were observed in the two complexes. Complex exhibited large PIs (phototherapeutic indices) (ca. 400) towards HeLa cells. The study suggests that these complexes may act as DNA intercalators, DNA photocleavers, and photocytotoxic agents.

摘要

详细研究了两种基于菲咯啉的新型钌配合物的光物理和生物性质。通过光谱滴定和粘度测量确定它们的 DNA 相互作用模式为嵌入模式。在光照下,通过单线态氧的产生,两种配合物都能明显地进行光诱导的 DNA 切割。此外,与配合物 相比,配合物 表现出更高的 DNA 亲和力、光解活性和单线态氧量子产率。在黑暗中,两种配合物对肿瘤细胞(HeLa、A549 和 A375)均无毒性。然而,在两种配合物中均观察到明显的光细胞毒性。配合物 对 HeLa 细胞表现出较大的光治疗指数(约 400)。该研究表明,这些配合物可能作为 DNA 嵌入剂、DNA 光解剂和光细胞毒性剂发挥作用。

https://cdn.ncbi.nlm.nih.gov/pmc/blobs/4fb5/8201372/294f3f3e8e9e/molecules-26-03471-sch001.jpg

文献AI研究员

20分钟写一篇综述,助力文献阅读效率提升50倍。

立即体验

用中文搜PubMed

大模型驱动的PubMed中文搜索引擎

马上搜索

文档翻译

学术文献翻译模型,支持多种主流文档格式。

立即体验