Suppr超能文献

与高渗高血糖状态相关的非闭塞性肠系膜缺血:肝门静脉气体作为肠系膜缺血的指标。

Nonocclusive mesenteric ischemia associated with a hyperosmolar hyperglycemic state: Hepatic portal venous gas as an indicator of mesenteric ischemia.

作者信息

Takiguchi Toru, Arai Masatoku, Kim Shiei, Ishii Hiromoto, Ogasawara Tomoko, Shigeta Kenta, Mizobuchi Taiki, Yokobori Shoji

机构信息

Department of Emergency and Critical Care Medicine Nippon Medical School Tokyo Japan.

出版信息

Acute Med Surg. 2021 Jun 30;8(1):e673. doi: 10.1002/ams2.673. eCollection 2021 Jan-Dec.

Abstract

BACKGROUND

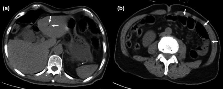
The diagnosis of nonocclusive mesenteric ischemia (NOMI) is always challenging in critically ill patients. Herein, we aimed to report a case of NOMI associated with a hyperosmolar hyperglycemic state (HHS). A small amount of hepatic portal venous gas (HPVG) triggered the diagnosis of NOMI.

CASE PRESENTATION

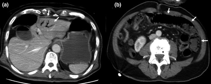
A 77-year-old man was transferred due to shock and disorder of consciousness. He was diagnosed with an HHS. We suspected intestinal ischemia due to a small amount of HPVG revealed by computed tomography (CT). Peritoneal signs were revealed after treatment for the HHS. Computed tomography was carried out again 5 h after admission, which showed a large amount of HPVG, remarkable bowel dilatation, and pneumatosis intestinalis. We performed an emergency laparotomy and resected the small bowel necrosis resulting from NOMI.

CONCLUSION

An HHS can cause NOMI, and the presence of HPVG on CT is an important finding that suggests mesenteric ischemia, even in small amounts.

摘要

背景

非闭塞性肠系膜缺血(NOMI)的诊断对重症患者来说始终具有挑战性。在此,我们旨在报告一例与高渗高血糖状态(HHS)相关的NOMI病例。少量肝门静脉气体(HPVG)引发了NOMI的诊断。

病例介绍

一名77岁男性因休克和意识障碍被转诊。他被诊断为HHS。由于计算机断层扫描(CT)显示少量HPVG,我们怀疑存在肠道缺血。在对HHS进行治疗后出现了腹膜刺激征。入院5小时后再次进行CT检查,结果显示大量HPVG、明显的肠扩张和肠壁积气。我们进行了急诊剖腹手术,切除了由NOMI导致的小肠坏死。

结论

HHS可导致NOMI,CT上HPVG的存在是提示肠系膜缺血的重要发现,即使是少量的HPVG。

https://cdn.ncbi.nlm.nih.gov/pmc/blobs/e61a/8243755/f6f15971d52b/AMS2-8-e673-g002.jpg

文献AI研究员

20分钟写一篇综述,助力文献阅读效率提升50倍。

立即体验

用中文搜PubMed

大模型驱动的PubMed中文搜索引擎

马上搜索

文档翻译

学术文献翻译模型,支持多种主流文档格式。

立即体验