Suppr超能文献

XIST 通过 miR-200c-3p/EGR3 轴促进 CSE 刺激的细胞凋亡和炎症反应。

XIST promotes apoptosis and the inflammatory response in CSE-stimulated cells via the miR-200c-3p/EGR3 axis.

机构信息

Department of Respiratory and Critical Care Medicine, Tianjin First Central Hospital, No. 24 Fukang Road, Nankai District, Tianjin, 300192, China.

Department of Respiratory and Critical Care Medicine, Haihe Hospital, Tianjin, 300222, China.

出版信息

BMC Pulm Med. 2021 Jul 9;21(1):215. doi: 10.1186/s12890-021-01582-8.

Abstract

BACKGROUND

Chronic obstructive pulmonary disease (COPD) is a disease that causes obstructed airways and abnormal inflammatory responses in the lungs. Early growth response 3 (EGR3) has been revealed to play a vital role in the regulation of the inflammatory response in certain diseases. We aimed to explore the role of EGR3 and its upstream mechanism in COPD.

METHODS AND RESULT

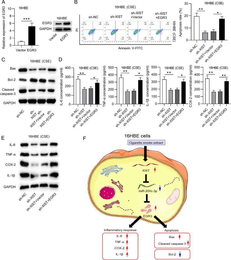
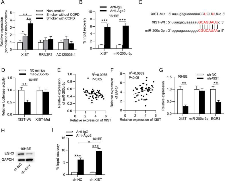
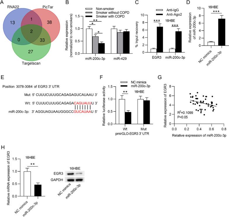
In the present study, 16HBE cells were treated with cigarette smoke extract (CSE) to mimic the inflammatory response in vitro. RT-qPCR revealed that the expression of EGR3 was upregulated in lungs from COPD patients. EGR3 expression in 16HBE cells was increased by CSE treatment. Moreover, flow cytometry analysis and western blot analysis showed that EGR3 downregulation inhibited 16HBE cell apoptosis. EGR3 silencing decreased the protein levels of IL-6, TNF-α, IL-1β and COX2 in CSE-stimulated 16HBE cells. In addition, EGR3 was targeted by microRNA-200c-3p (miR-200c-3p) in 16HBE cells. MiR-200c-3p expression was significantly decreased in lung tissues from COPD patients compared to that in healthy controls. Furthermore, miR-200c-3p bound to lncRNA X-inactive specific transcript (XIST) in 16HBE cells. Additionally, XIST expression was elevated in lung tissues from COPD patients. Rescue assays indicated that EGR3 overexpression counteracted the effects of XIST downregulation on apoptosis and inflammation in CSE-stimulated 16HBE cells.

CONCLUSION

The XIST/miR-200c-3p/EGR3 axis facilitated apoptosis and inflammation in CSE-stimulated 16HBE cells. These findings may provide novel insight for treating COPD by alleviating lung inflammation.

摘要

背景

慢性阻塞性肺疾病(COPD)是一种导致气道阻塞和肺部异常炎症反应的疾病。早期生长反应 3(EGR3)已被揭示在某些疾病的炎症反应调节中发挥重要作用。我们旨在探讨 EGR3 及其上游机制在 COPD 中的作用。

方法和结果

在本研究中,使用香烟烟雾提取物(CSE)处理 16HBE 细胞以模拟体外炎症反应。RT-qPCR 显示 COPD 患者肺组织中 EGR3 的表达上调。CSE 处理后 16HBE 细胞中 EGR3 的表达增加。此外,流式细胞术分析和 Western blot 分析表明,EGR3 下调抑制 16HBE 细胞凋亡。EGR3 沉默降低了 CSE 刺激的 16HBE 细胞中 IL-6、TNF-α、IL-1β 和 COX2 的蛋白水平。此外,在 16HBE 细胞中,EGR3 被 microRNA-200c-3p(miR-200c-3p)靶向。与健康对照组相比,COPD 患者肺组织中 miR-200c-3p 的表达显著降低。此外,miR-200c-3p 在 16HBE 细胞中与长链非编码 RNA X 失活特异性转录物(XIST)结合。此外,COPD 患者肺组织中 XIST 的表达升高。挽救实验表明,EGR3 过表达逆转了 XIST 下调对 CSE 刺激的 16HBE 细胞凋亡和炎症的影响。

结论

XIST/miR-200c-3p/EGR3 轴促进了 CSE 刺激的 16HBE 细胞凋亡和炎症。这些发现可能为通过减轻肺部炎症来治疗 COPD 提供新的见解。

https://cdn.ncbi.nlm.nih.gov/pmc/blobs/4583/8268373/6ebc010e746c/12890_2021_1582_Fig1_HTML.jpg

文献AI研究员

20分钟写一篇综述,助力文献阅读效率提升50倍。

立即体验

用中文搜PubMed

大模型驱动的PubMed中文搜索引擎

马上搜索

文档翻译

学术文献翻译模型,支持多种主流文档格式。

立即体验