Suppr超能文献

BAP1、EZH2 和 Survivin 在鉴别胸膜上皮样间皮瘤和反应性间皮增生中的诊断效用:免疫组织化学研究。

Diagnostic Utility of BAP1, EZH2 and Survivin in Differentiating Pleural Epithelioid Mesothelioma and Reactive Mesothelial Hyperplasia: Immunohistochemical Study.

机构信息

Department of Pathology, Faculty of Medicine, Ain Shams University, Cairo, Egypt.

出版信息

Pathol Oncol Res. 2021 Apr 9;27:600073. doi: 10.3389/pore.2021.600073. eCollection 2021.

Abstract

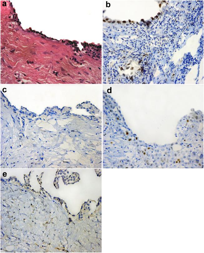
Epithelioid mesothelioma (EM) is the commonest subtype of malignant pleural mesothelioma. Its histopathological discrimination from reactive mesothelial hyperplasia (RMH) could be challenging. Thus, an immunohistochemical panel is mandatory for better discrimination. BAP1 is a newly identified diagnostic marker whose loss is specific to malignant mesothelioma. EZH2 overexpression is reported in different cancers, but its relation to BAP1 in malignant mesothelioma has not been fully understood. Survivin expression is said to be significantly higher in EM than in non-neoplastic pleural tissue, but its diagnostic utility as an immunohistochemical marker has not been thoroughly investigated in this field. To the best of our knowledge, no previous studies have been conducted to assess the diagnostic accuracy of the combined use of these three nuclear markers (BAP1, EZH2 and Survivin) in discriminating pleural EM from RMH. This retrospective study includes two groups: 81 cases of pleural EM and 67 cases of RMH, retrieved from the archives of Pathology Department of Ain Shams University Hospitals and Ain-Shams University Specialized Hospital during the period from January 2016 to December 2019. An immunohistochemical study was performed using BAP1, EZH2 and Survivin antibodies. There were highly statistically significant relations between study groups as regards the studied markers ( = 0.001 for each). The specificity was 100% for all combinations of immunohistochemical markers. Sensitivity of any combination of the immunohistochemical markers used in this study was found to be higher than the sensitivity of any of these markers used individually. The combination of all three markers showed the highest diagnostic accuracy (95.9%) and the highest sensitivity (92.6%). However, the combination of Survivin and EZH2 yielded the same diagnostic accuracy and sensitivity. Adding EZH2, Survivin and BAP1 to the diagnostic IHC panel for differentiating pleural EM and RMH could enhance diagnostic sensitivity. Moreover, Survivin is a potentially promising marker in this context, especially when combined with EZH2.

摘要

上皮样间皮瘤 (EM) 是恶性胸膜间皮瘤最常见的亚型。从反应性间皮增生 (RMH) 中对其进行组织病理学鉴别可能具有挑战性。因此,需要使用免疫组织化学面板进行更好的鉴别。BAP1 是一种新发现的诊断标志物,其缺失特异性地存在于恶性间皮瘤中。EZH2 过表达已在不同的癌症中报道,但它与恶性间皮瘤中 BAP1 的关系尚未完全了解。据报道,Survivin 在 EM 中的表达明显高于非肿瘤性胸膜组织,但作为免疫组织化学标志物,其在该领域的诊断效用尚未得到彻底研究。据我们所知,以前没有研究评估这三种核标志物(BAP1、EZH2 和 Survivin)联合使用在鉴别胸膜 EM 与 RMH 中的诊断准确性。本回顾性研究包括两组:2016 年 1 月至 2019 年 12 月,从 Ain Shams 大学医院和 Ain-Shams 大学专科医院病理学系档案中检索到 81 例胸膜 EM 和 67 例 RMH。使用 BAP1、EZH2 和 Survivin 抗体进行免疫组织化学研究。研究组之间在所研究的标志物方面存在高度统计学相关性(=0.001)。所有免疫组织化学标志物组合的特异性均为 100%。本研究中使用的任何免疫组织化学标志物组合的敏感性均高于任何一种标志物的敏感性。所有三种标志物的组合显示出最高的诊断准确性(95.9%)和最高的敏感性(92.6%)。然而,Survivin 和 EZH2 的组合具有相同的诊断准确性和敏感性。在鉴别胸膜 EM 和 RMH 的诊断 IHC 面板中添加 EZH2、Survivin 和 BAP1 可提高诊断敏感性。此外,Survivin 是一种在这种情况下具有潜在前景的标志物,特别是与 EZH2 结合时。

https://cdn.ncbi.nlm.nih.gov/pmc/blobs/02f8/8262140/0aedb0cb56ca/pore-27-600073-g001.jpg

文献AI研究员

20分钟写一篇综述,助力文献阅读效率提升50倍。

立即体验

用中文搜PubMed

大模型驱动的PubMed中文搜索引擎

马上搜索

文档翻译

学术文献翻译模型,支持多种主流文档格式。

立即体验