Suppr超能文献

使用基于聚合物的纳米载体将核酸口服递送至肠道组织并实现被动和主动靶向

Oral Delivery of Nucleic Acids with Passive and Active Targeting to the Intestinal Tissue Using Polymer-Based Nanocarriers.

作者信息

Poudel Sagun, Napit Prabhat R, Briski Karen P, Mattheolabakis George

机构信息

School of Basic Pharmaceutical and Toxicological Sciences, College of Pharmacy, University of Louisiana Monroe, 1800 Bienville Dr., Monroe, LA 71201, USA.

出版信息

Pharmaceutics. 2021 Jul 13;13(7):1075. doi: 10.3390/pharmaceutics13071075.

Abstract

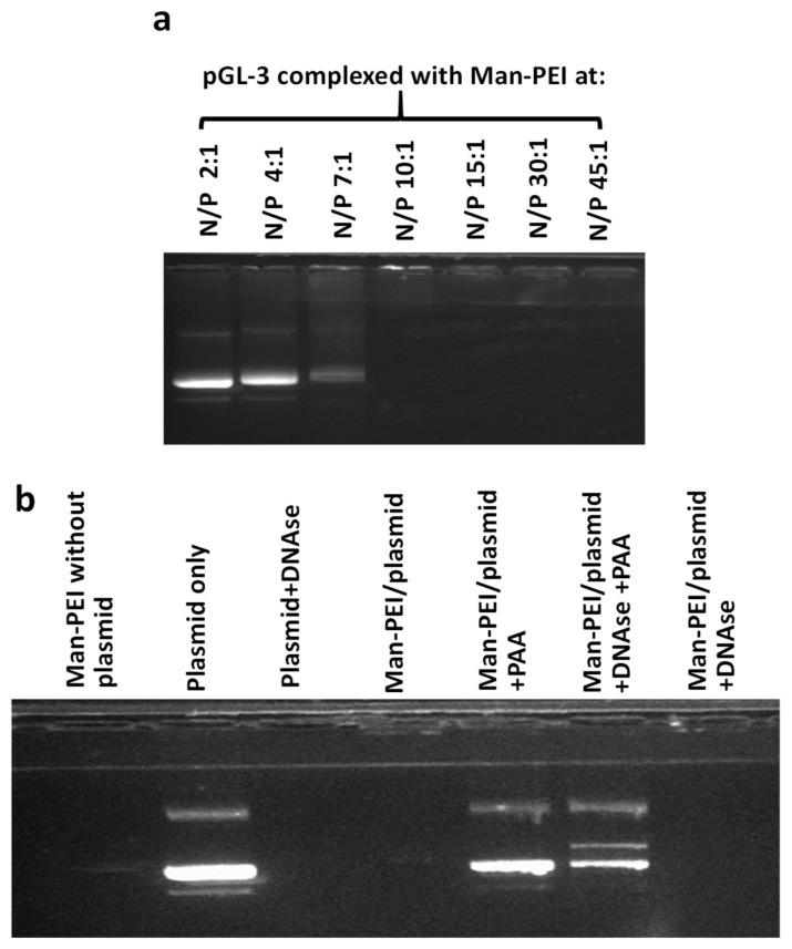
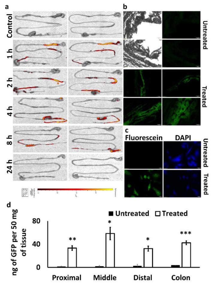
Despite the apparent advantages for long-term treatment and local therapies against intestinal diseases, the oral delivery of nucleic acids has been challenging due to unfavorable physiological conditions for their stability. In this study, a novel nanodelivery system of PEG-PCL nanoparticles with encapsulated nucleic acids-mannosylated PEI (Man-PEI) complexes was developed for intestinal delivery. We complexed model nucleic acids with Man-PEI at the optimal N/P ratio of 20:1 for in vitro and in vivo analyses. Cells were transfected in vitro and analyzed for gene expression, receptor-mediated uptake, and PEG-PCL nanoparticles' toxicity. We also evaluated the nucleic acid's stability in the nanocarrier during formulation, and under simulated gastrointestinal environments or the presence of nucleases. Finally, we assessed the biodistribution for the PEG-PCL nanoparticles with encapsulated complexes and their ability to transfect intestinal cells in vivo. Nucleic acids complexed with Man-PEI were protected from degradation against nucleases. In comparison to the parent compound PEI, Man-PEI transfected the cells with an overall higher potency. Competition assay indicated receptor-mediated endocytosis promoted by mannose receptors. The PEG-PCL nanoparticles with Man-PEI/plasmid complexes indicated minimal cytotoxicity. The nanocarrier successfully protected the complexes in a simulated gastric fluid environment and released them in a simulated intestinal fluid environment, promoted by the presence of lipases. The oral administration of the PEG-PCL nanoparticles with encapsulated Man-PEI/plasmid complexes transfected intestinal cells with the plasmid in vivo, while presenting a time-dependent progression through the intestines. Conclusively, our carrier system can deliver genetic material to the GI tract and actively target mannose receptor overexpressing cells.

摘要

尽管长期治疗和针对肠道疾病的局部疗法具有明显优势,但由于核酸在生理条件下稳定性不佳,其口服递送一直具有挑战性。在本研究中,开发了一种新型纳米递送系统,即包裹有核酸-甘露糖基化聚乙烯亚胺(Man-PEI)复合物的聚乙二醇-聚己内酯(PEG-PCL)纳米颗粒用于肠道递送。我们将模型核酸与Man-PEI以20:1的最佳氮/磷比进行复合,用于体外和体内分析。在体外转染细胞,并分析基因表达、受体介导的摄取以及PEG-PCL纳米颗粒的毒性。我们还评估了核酸在制剂过程中、模拟胃肠道环境或存在核酸酶的情况下在纳米载体中的稳定性。最后,我们评估了包裹有复合物的PEG-PCL纳米颗粒的生物分布及其在体内转染肠道细胞的能力。与Man-PEI复合的核酸受到保护,免受核酸酶降解。与母体化合物聚乙烯亚胺相比,Man-PEI转染细胞的效力总体更高。竞争试验表明甘露糖受体促进受体介导的内吞作用。含有Man-PEI/质粒复合物的PEG-PCL纳米颗粒显示出最小的细胞毒性。纳米载体在模拟胃液环境中成功保护了复合物,并在脂肪酶的作用下在模拟肠液环境中释放它们。口服含有包裹的Man-PEI/质粒复合物的PEG-PCL纳米颗粒可在体内用质粒转染肠道细胞,同时在肠道中呈现出时间依赖性进展。总之,我们的载体系统可以将遗传物质递送至胃肠道,并主动靶向过表达甘露糖受体的细胞。

https://cdn.ncbi.nlm.nih.gov/pmc/blobs/9455/8309160/ae416c6393fa/pharmaceutics-13-01075-g001.jpg

文献AI研究员

20分钟写一篇综述,助力文献阅读效率提升50倍。

立即体验

用中文搜PubMed

大模型驱动的PubMed中文搜索引擎

马上搜索

文档翻译

学术文献翻译模型,支持多种主流文档格式。

立即体验