Suppr超能文献

基于转录组分析和实验验证,膜联蛋白A1作为胶质瘤的预后和免疫微环境标志物

ANXA1 as a Prognostic and Immune Microenvironmental Marker for Gliomas Based on Transcriptomic Analysis and Experimental Validation.

作者信息

Lin Zhongxiao, Wen Min, Yu Enxing, Lin Xiao, Wang Hua, Chen Jiayu, Yao ChaoJie, Zhang Hengli, Ru Junnan, Wang Kankai, Zhang Ying, Huang Lijie, Zhuge Qichuan, Yang Su

机构信息

Zhejiang Provincial Key Laboratory of Aging and Neurological Disorder Research, Department of Neurosurgery, The First Affiliated Hospital of Wenzhou Medical University, Wenzhou, China.

Department of Neurosurgery, School of Medicine, Guangzhou First People's Hospital, South China University of Technology, Guangzhou, China.

出版信息

Front Cell Dev Biol. 2021 Aug 4;9:659080. doi: 10.3389/fcell.2021.659080. eCollection 2021.

Abstract

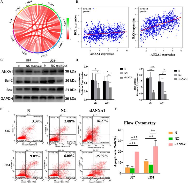
The tumor microenvironment (TME) plays an important role in the growth and invasion of glioma. This study aimed to analyze the composition of the immune microenvironment in glioma samples and analyze the important differentially expressed genes to identify novel immune-targeted therapy for glioma. We downloaded transcriptomic data of 669 glioma samples from The Cancer Genome Atlas database. CIBERSORT and ESTIMATE methods were used to calculate the proportion of tumor-infiltrating immune cells and ratio of immune and stromal components in the TME. The differentially expressed genes (DEGs) were screened by comparing the genes expressed by both stromal and immune cells. Annexin A1 (ANXA1) was determined to be an important prognostic indicator through the common overlap of univariate Cox regression analysis and protein-protein interaction network analysis. The proportion of tumor-infiltrating immune cells, calculated by CIBERSORT algorithm, had a significant difference in distribution among the high and low ANXA1 expression groups, indicating that ANXA1 could be an important immune marker of TME. Furthermore, ANXA1 level was positively correlated with the histopathological factors and negatively related to the survival of glioma patients based on the analysis of multiple databases. Finally, experiments verified that antagonizing ANXA1 expression promoted cell apoptosis and inhibited the invasion and migration capacities of glioma cells. Therefore, ANXA1 due to its immune-related functions, can be an important prognostic indicator and immune microenvironmental marker for gliomas. Further studies are warranted to confirm ANXA1 as a potential immunotherapeutic target for gliomas.

摘要

肿瘤微环境(TME)在胶质瘤的生长和侵袭中起着重要作用。本研究旨在分析胶质瘤样本中免疫微环境的组成,并分析重要的差异表达基因,以确定胶质瘤新的免疫靶向治疗方法。我们从癌症基因组图谱数据库下载了669例胶质瘤样本的转录组数据。采用CIBERSORT和ESTIMATE方法计算肿瘤浸润免疫细胞的比例以及TME中免疫和基质成分的比例。通过比较基质细胞和免疫细胞表达的基因来筛选差异表达基因(DEG)。通过单变量Cox回归分析和蛋白质-蛋白质相互作用网络分析的共同重叠,确定膜联蛋白A1(ANXA1)为重要的预后指标。通过CIBERSORT算法计算的肿瘤浸润免疫细胞比例在高ANXA1表达组和低ANXA1表达组之间的分布存在显著差异,表明ANXA1可能是TME的重要免疫标志物。此外,基于多个数据库的分析,ANXA1水平与组织病理学因素呈正相关,与胶质瘤患者的生存率呈负相关。最后,实验证实拮抗ANXA1表达可促进细胞凋亡,并抑制胶质瘤细胞的侵袭和迁移能力。因此,ANXA1因其免疫相关功能,可成为胶质瘤重要的预后指标和免疫微环境标志物。有必要进一步研究以确认ANXA1作为胶质瘤潜在的免疫治疗靶点。

https://cdn.ncbi.nlm.nih.gov/pmc/blobs/f888/8371204/70a442df1e4b/fcell-09-659080-g001.jpg

文献AI研究员

20分钟写一篇综述,助力文献阅读效率提升50倍。

立即体验

用中文搜PubMed

大模型驱动的PubMed中文搜索引擎

马上搜索

文档翻译

学术文献翻译模型,支持多种主流文档格式。

立即体验