Suppr超能文献

商业肉鸡中具有肠道嗜性的传染性支气管炎病毒的分子生物学与病理过程

Molecular Biology and Pathological Process of an Infectious Bronchitis Virus with Enteric Tropism in Commercial Broilers.

作者信息

da Silva Ana P, Hauck Ruediger, Nociti Sabrina R C, Kern Colin, Shivaprasad H L, Zhou Huaijun, Gallardo Rodrigo A

机构信息

Department of Population Health and Reproduction, School of Veterinary Medicine, University of California, Davis 1089 Veterinary Medicine Dr, 4008 VM3B, Davis, CA 95616, USA.

Department of Pathobiology and Department of Poultry Science, Auburn University, 302J Poultry Science Building, 260 Lem Morrison Dr, Auburn, AL 36849, USA.

出版信息

Viruses. 2021 Jul 28;13(8):1477. doi: 10.3390/v13081477.

Abstract

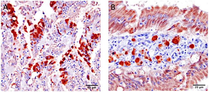
Infectious bronchitis virus (IBV) induces respiratory and urogenital disease in chickens. Although IBV replicates in the gastrointestinal tract, enteric lesions are uncommon. We have reported a case of runting-stunting syndrome in commercial broilers from which an IBV variant was isolated from the intestines. The isolate, CalEnt, demonstrated an enteric tissue tropism in chicken embryos and SPF chickens experimentally. Here, we determined the full genome of CalEnt and compared it to other IBV strains, in addition to comparing the pathobiology of CalEnt and M41 in commercial broilers. Despite the high whole-genome identity to other IBV strains, CalEnt is rather unique in its nucleotide composition. The S gene phylogenetic analyses showed great similarity between CalEnt and Cal 99. Clinically, vent staining was slightly more frequent in CalEnt-infected birds than those challenged with M41. Furthermore, IBV IHC detection was more evident and the viral shedding in feces was overall higher with the CalEnt challenge compared with M41. Despite underlying intestinal lesions caused by coccidiosis and salmonellosis vaccination, microscopic lesions in CalEnt-infected chickens were more severe than in M41-infected chickens or controls, supporting the enteric tropism of CalEnt. Further studies in SPF chickens are needed to determine the pathogenesis of the virus, its molecular mechanisms for the enteric tropism, and its influence in intestinal health.

摘要

传染性支气管炎病毒(IBV)可引发鸡的呼吸道和泌尿生殖系统疾病。尽管IBV在胃肠道中复制,但肠道病变并不常见。我们报道了一例商品肉鸡生长迟缓综合征病例,从其肠道中分离出一种IBV变异株。该分离株CalEnt在鸡胚和SPF鸡中实验性地表现出肠道组织嗜性。在此,我们测定了CalEnt的全基因组,并将其与其他IBV毒株进行比较,此外还比较了CalEnt和M41在商品肉鸡中的病理生物学特性。尽管CalEnt与其他IBV毒株的全基因组同一性很高,但其核苷酸组成相当独特。S基因系统发育分析显示CalEnt和Cal 99之间有很大的相似性。临床上,感染CalEnt的鸡出现泄殖腔染色的频率略高于感染M41的鸡。此外,与M41相比,CalEnt攻毒后IBV免疫组化检测更明显,粪便中的病毒排泄总体更高。尽管存在由球虫病和沙门氏菌病疫苗接种引起的潜在肠道病变,但感染CalEnt的鸡的微观病变比感染M41的鸡或对照组更严重,这支持了CalEnt的肠道嗜性。需要对SPF鸡进行进一步研究,以确定该病毒的发病机制、其肠道嗜性的分子机制及其对肠道健康的影响。

https://cdn.ncbi.nlm.nih.gov/pmc/blobs/b9d9/8402673/90064d142328/viruses-13-01477-g001.jpg

文献AI研究员

20分钟写一篇综述,助力文献阅读效率提升50倍。

立即体验

用中文搜PubMed

大模型驱动的PubMed中文搜索引擎

马上搜索

文档翻译

学术文献翻译模型,支持多种主流文档格式。

立即体验