Suppr超能文献

《叙利亚金黄地鼠中新型冠状病毒 2 感染的微绒毛和孤立化学感觉细胞作为新靶点》。

The Microvillar and Solitary Chemosensory Cells as the Novel Targets of Infection of SARS-CoV-2 in Syrian Golden Hamsters.

机构信息

Department of Anatomy, College of Veterinary Medicine, Konkuk Unitversity, Seoul 05030, Korea.

Jesaeng-Euise Clinical Anatomy Center, Department of Anatomy, School of Medicine, Wonkwang University, Iksan 54538, Korea.

出版信息

Viruses. 2021 Aug 20;13(8):1653. doi: 10.3390/v13081653.

Abstract

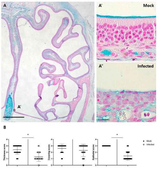
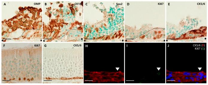
Patients infected with severe acute respiratory syndrome coronavirus 2 (SARS-CoV-2), the causative agent of coronavirus disease 2019, suffer from respiratory and non-respiratory symptoms. Among these symptoms, the loss of smell has attracted considerable attention. The objectives of this study were to determine which cells are infected, what happens in the olfactory system after viral infection, and how these pathologic changes contribute to olfactory loss. For this purpose, Syrian golden hamsters were used. First, we verified the olfactory structures in the nasal cavity of Syrian golden hamsters, namely the main olfactory epithelium, the vomeronasal organ, and their cellular components. Second, we found angiotensin-converting enzyme 2 expression, a receptor protein of SARS-CoV-2, in both structures and infections of supporting, microvillar, and solitary chemosensory cells. Third, we observed pathological changes in the infected epithelium, including reduced thickness of the mucus layer, detached epithelia, indistinct layers of epithelia, infiltration of inflammatory cells, and apoptotic cells in the overall layers. We concluded that a structurally and functionally altered microenvironment influences olfactory function. We observed the regeneration of the damaged epithelium, and found multilayers of basal cells, indicating that they were activated and proliferating to reconstitute the injured epithelium.

摘要

感染严重急性呼吸综合征冠状病毒 2(SARS-CoV-2)的患者,即导致 2019 年冠状病毒病的病原体,会出现呼吸道和非呼吸道症状。在这些症状中,嗅觉丧失引起了相当大的关注。本研究的目的是确定哪些细胞被感染,病毒感染后嗅觉系统会发生什么变化,以及这些病理变化如何导致嗅觉丧失。为此,我们使用了叙利亚金黄地鼠。首先,我们验证了叙利亚金黄地鼠鼻腔中的嗅觉结构,即主嗅觉上皮、犁鼻器及其细胞成分。其次,我们发现血管紧张素转换酶 2(一种 SARS-CoV-2 的受体蛋白)在这两种结构中均有表达,并感染了支持细胞、微绒毛细胞和单个化学感觉细胞。第三,我们观察到受感染上皮的病理变化,包括黏液层变薄、上皮脱落、上皮层结构不清晰、炎症细胞浸润和全层细胞凋亡。我们得出结论,结构和功能改变的微环境会影响嗅觉功能。我们观察到受损上皮的再生,并发现多层基底细胞,表明它们被激活并增殖以重建受损的上皮。

https://cdn.ncbi.nlm.nih.gov/pmc/blobs/9074/8402700/89191e8130aa/viruses-13-01653-g001.jpg

文献AI研究员

20分钟写一篇综述,助力文献阅读效率提升50倍。

立即体验

用中文搜PubMed

大模型驱动的PubMed中文搜索引擎

马上搜索

文档翻译

学术文献翻译模型,支持多种主流文档格式。

立即体验