Suppr超能文献

一种基于新抗原的肽疫苗,用于治疗对标准治疗耐药的晚期胰腺癌患者。

A Neoantigen-Based Peptide Vaccine for Patients With Advanced Pancreatic Cancer Refractory to Standard Treatment.

机构信息

Cancer Center, Department of Medical Oncology, Zhejiang Provincial People's Hospital, People's Hospital of Hangzhou Medical College, Hangzhou, China.

Hangzhou Neoantigen Therapeutics Co., Ltd., Hangzhou, China.

出版信息

Front Immunol. 2021 Aug 13;12:691605. doi: 10.3389/fimmu.2021.691605. eCollection 2021.

Abstract

BACKGROUND

Neoantigens are critical targets to elicit robust antitumor T-cell responses. Personalized cancer vaccines developed based on neoantigens have shown promising results by prolonging cancer patients' overall survival (OS) for several cancer types. However, the safety and efficacy of these vaccine modalities remains unclear in pancreatic cancer patients.

METHODS

This retrospective study enrolled 7 advanced pancreatic cancer patients. Up to 20 neoantigen peptides per patient identified by our in-house pipeline iNeo-Suite were selected, manufactured and administered to these patients with low tumor mutation burden (TMB) (less than 10 mutations/Mb). Each patient received multiple doses of vaccine depending on the progression of the disease. Peripheral blood samples of each patient were collected pre- and post-vaccination for the analysis of the immunogenicity of iNeo-Vac-P01 through ELISpot assay and flow cytometry.

RESULTS

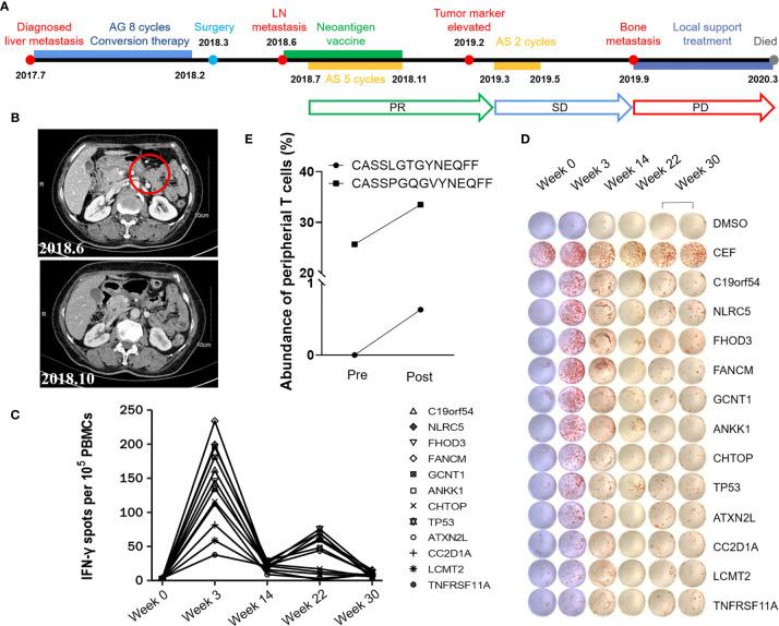
No severe vaccine-related adverse effects were witnessed in patients enrolled in this study. The mean OS, OS associated with vaccine treatment and progression free survival (PFS) were reported to be 24.1, 8.3 and 3.1 months, respectively. Higher peripheral IFN-γ titer and CD4 or CD8 effector memory T cells count post vaccination were found in patients with relatively long overall survival. Remarkably, for patient P01 who had a 21-month OS associated with vaccine treatment, the abundance of antigen-specific TCR clone drastically increased from 0% to nearly 100%, indicating the potential of iNeo-Vac-P01 in inducing the activation of a specific subset of T cells to kill cancer cells.

CONCLUSIONS

Neoantigen identification and selection were successfully applied to advanced pancreatic cancer patients with low TMB. As one of the earliest studies that addressed an issue in treating pancreatic cancer with personalized vaccines, it has been demonstrated that iNeo-Vac-P01, a personalized neoantigen-based peptide vaccine, could improve the currently limited clinical efficacy of pancreatic cancer.

CLINICAL TRIAL REGISTRATION

ClinicalTrials.gov, identifier (NCT03645148).Registered August 24, 2018 - Retrospectively registered.

摘要

背景

新抗原是引发强大抗肿瘤 T 细胞反应的关键靶标。基于新抗原开发的个体化癌症疫苗已在多种癌症类型中延长了癌症患者的总生存期(OS),显示出可喜的结果。然而,这些疫苗模式在胰腺癌患者中的安全性和疗效仍不清楚。

方法

本回顾性研究纳入 7 例晚期胰腺癌患者。根据我们内部的 iNeo-Suite 管道鉴定的每位患者多达 20 个新抗原肽被选择、制造并施用于低肿瘤突变负担(TMB)(低于 10 个突变/Mb)的患者。每位患者根据疾病的进展接受多次疫苗接种。每位患者在接种前后采集外周血样,通过 ELISpot assay 和流式细胞术分析 iNeo-Vac-P01 的免疫原性。

结果

本研究纳入的患者均未观察到严重的疫苗相关不良反应。中位总生存期(OS)、与疫苗治疗相关的 OS 和无进展生存期(PFS)分别为 24.1、8.3 和 3.1 个月。接种后外周血 IFN-γ 滴度和 CD4 或 CD8 效应记忆 T 细胞计数较高的患者总体生存时间相对较长。值得注意的是,对于 OS 与疫苗治疗相关长达 21 个月的患者 P01,抗原特异性 TCR 克隆的丰度从 0%急剧增加到近 100%,表明 iNeo-Vac-P01 有可能诱导特定 T 细胞亚群的激活以杀死癌细胞。

结论

新抗原的鉴定和选择已成功应用于 TMB 较低的晚期胰腺癌患者。作为最早用个体化疫苗治疗胰腺癌的研究之一,本研究表明 iNeo-Vac-P01,一种个体化的基于新抗原的肽疫苗,可以提高胰腺癌目前有限的临床疗效。

临床试验注册

ClinicalTrials.gov,标识符(NCT03645148)。2018 年 8 月 24 日注册-回顾性注册。

https://cdn.ncbi.nlm.nih.gov/pmc/blobs/aa88/8414362/31c9b3143033/fimmu-12-691605-g001.jpg

文献AI研究员

20分钟写一篇综述,助力文献阅读效率提升50倍。

立即体验

用中文搜PubMed

大模型驱动的PubMed中文搜索引擎

马上搜索

文档翻译

学术文献翻译模型,支持多种主流文档格式。

立即体验