Suppr超能文献

抗抑郁药的可靠高通量筛选模型

A Reliable High-Throughput Screening Model for Antidepressant.

机构信息

State Key Laboratory of Natural Medicines, China Pharmaceutical University, Nanjing 210009, China.

School of Traditional Chinese Pharmacy, China Pharmaceutical University, Nanjing 211198, China.

出版信息

Int J Mol Sci. 2021 Sep 1;22(17):9505. doi: 10.3390/ijms22179505.

Abstract

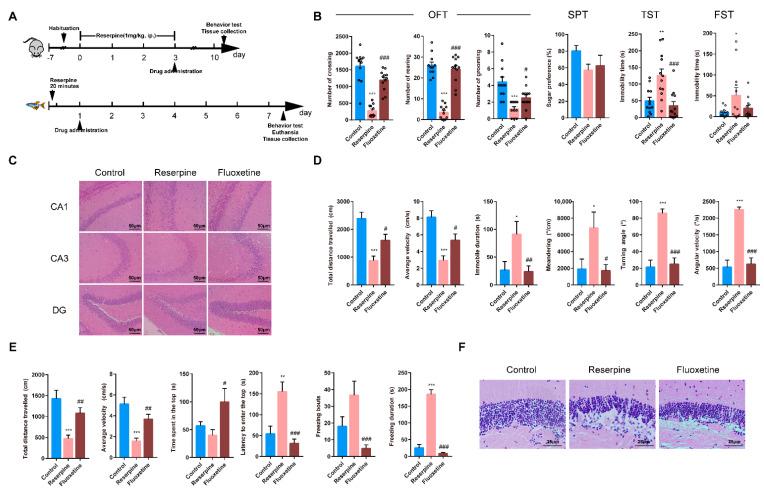
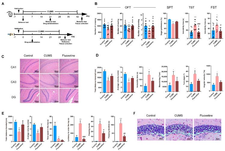
Depression is the most frequent affective disorder and is the leading cause of disability worldwide. In order to screen antidepressants and explore molecular mechanisms, a variety of animal models were used in experiments, but there is no reliable high-throughput screening method. Zebrafish is a common model organism for mental illness such as depression. In our research, we established chronic unpredictable mild stress (CUMS) models in C57BL/6 mice and zebrafish; the similarities in behavior and pathology suggest that zebrafish can replace rodents as high-throughput screening organisms. Stress mice (ip., 1 mg/kg/d, 3 days) and zebrafish (10 mg/L, 20 min) were treated with reserpine. As a result, reserpine caused depression-like behavior in mice, which was consistent with the results of the CUMS mice model. Additionally, reserpine reduced the locomotor ability and exploratory behavior of zebrafish, which was consistent with the results of the CUMS zebrafish model. Further analysis of the metabolic differences showed that the reserpine-induced zebrafish depression model was similar to the reserpine mice model and the CUMS mice model in the tyrosine metabolism pathway. The above results showed that the reserpine-induced depression zebrafish model was similar to the CUMS model from phenotype to internal metabolic changes and can replace the CUMS model for antidepressants screening. Moreover, the results from this model were obtained in a short time, which can shorten the cycle of drug screening and achieve high-throughput screening. Therefore, we believe it is a reliable high-throughput screening model.

摘要

抑郁症是最常见的情感障碍,也是全球致残的主要原因。为了筛选抗抑郁药并探索分子机制,实验中使用了多种动物模型,但目前还没有可靠的高通量筛选方法。斑马鱼是抑郁症等精神疾病的常见模型生物。在我们的研究中,我们在 C57BL/6 小鼠和斑马鱼中建立了慢性不可预测轻度应激(CUMS)模型;行为和病理学的相似性表明,斑马鱼可以替代啮齿动物作为高通量筛选生物。应激小鼠(ip,1mg/kg/d,3 天)和斑马鱼(10mg/L,20 分钟)用利血平处理。结果,利血平引起小鼠出现类似抑郁的行为,这与 CUMS 小鼠模型的结果一致。此外,利血平降低了斑马鱼的运动能力和探索行为,这与 CUMS 斑马鱼模型的结果一致。进一步分析代谢差异表明,利血平诱导的斑马鱼抑郁模型在酪氨酸代谢途径上与利血平小鼠模型和 CUMS 小鼠模型相似。上述结果表明,利血平诱导的抑郁斑马鱼模型在表型到内部代谢变化方面与 CUMS 模型相似,可以替代 CUMS 模型进行抗抑郁药筛选。此外,该模型在短时间内获得结果,可以缩短药物筛选周期,实现高通量筛选。因此,我们认为这是一个可靠的高通量筛选模型。

https://cdn.ncbi.nlm.nih.gov/pmc/blobs/07da/8430800/d115f5ff1636/ijms-22-09505-g001.jpg

文献AI研究员

20分钟写一篇综述,助力文献阅读效率提升50倍。

立即体验

用中文搜PubMed

大模型驱动的PubMed中文搜索引擎

马上搜索

文档翻译

学术文献翻译模型,支持多种主流文档格式。

立即体验