Suppr超能文献

聚苯乙烯微塑料暴露:对爪哇青鳉鱼(Bleeker,1854年)多器官组织学改变、氧化应激和神经毒性的深入研究

Polystyrene Microplastics Exposure: An Insight into Multiple Organ Histological Alterations, Oxidative Stress and Neurotoxicity in Javanese Medaka Fish ( Bleeker, 1854).

作者信息

Usman Sunusi, Abdull Razis Ahmad Faizal, Shaari Khozirah, Amal Mohammad Noor Azmai, Saad Mohd Zamri, Mat Isa Nurulfiza, Nazarudin Muhammad Farhan

机构信息

Natural Medicines and Products Research Laboratory, Institute of Bioscience, Universiti Putra Malaysia, Serdang 43400 UPM, Selangor, Malaysia.

Department of Food Science, Faculty of Food Science and Technology, Universiti Putra Malaysia, Serdang 43400 UPM, Selangor, Malaysia.

出版信息

Int J Environ Res Public Health. 2021 Sep 7;18(18):9449. doi: 10.3390/ijerph18189449.

Abstract

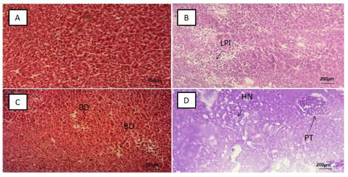
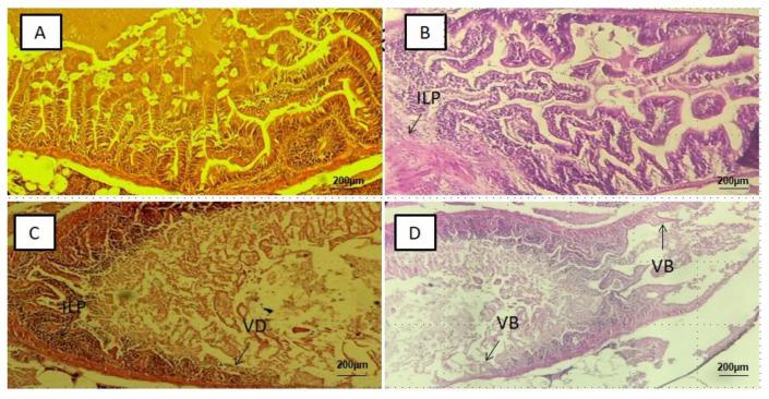
Microplastics (MPs) have become pollutants of concern due to their unknown human health effect and negative impact on terrestrial and aquatic ecosystems. There is increasing number of experimental research on MPs globally with its effects not fully understood; recent animal studies explore its effects on the intestines, yet on other vital organs. Javanese medaka fish was exposed to polystyrene microplastics (PS-MPs) beads for a period of 21 days. Histological alterations, intestinal oxidative stress, permeability and neurotoxicity were evaluated. Significant inflammatory changes and tissue damage were observed in the intestine, liver and kidney. Intestinal oxidative stress and permeability were found to be significantly increased. In the brain, neurotoxicity characterised by a significant induction of oxidative stress, lipid peroxidation and the inhibition of acetylcholinesterase enzyme were elucidated. This study provided an insight into the multiple organ effect of microplastics exposure, necessitating further exploration and identification of biomarkers to be utilised for biomonitoring population at risk in the future.

摘要

微塑料(MPs)因其对人类健康的未知影响以及对陆地和水生生态系统的负面影响,已成为备受关注的污染物。全球范围内,关于微塑料的实验研究越来越多,但其影响尚未完全明晰;最近的动物研究探讨了其对肠道的影响,而非对其他重要器官的影响。将爪哇青鳉鱼暴露于聚苯乙烯微塑料(PS-MPs)珠中21天。评估了组织学改变、肠道氧化应激、通透性和神经毒性。在肠道、肝脏和肾脏中观察到显著的炎症变化和组织损伤。发现肠道氧化应激和通透性显著增加。在大脑中,阐明了以氧化应激、脂质过氧化的显著诱导以及乙酰胆碱酯酶的抑制为特征的神经毒性。本研究深入了解了微塑料暴露对多个器官的影响,有必要进一步探索和鉴定未来用于生物监测高危人群的生物标志物。

https://cdn.ncbi.nlm.nih.gov/pmc/blobs/af13/8471199/02f2cf2913d2/ijerph-18-09449-g001.jpg

文献AI研究员

20分钟写一篇综述,助力文献阅读效率提升50倍。

立即体验

用中文搜PubMed

大模型驱动的PubMed中文搜索引擎

马上搜索

文档翻译

学术文献翻译模型,支持多种主流文档格式。

立即体验