Suppr超能文献

严重急性呼吸综合征冠状病毒2(SARS-CoV-2)感染期间Toll样受体3(TLR3)和Toll样受体7(TLR7)RNA传感器的激活

TLR3 and TLR7 RNA Sensor Activation during SARS-CoV-2 Infection.

作者信息

Bortolotti Daria, Gentili Valentina, Rizzo Sabrina, Schiuma Giovanna, Beltrami Silvia, Strazzabosco Giovanni, Fernandez Mercedes, Caccuri Francesca, Caruso Arnaldo, Rizzo Roberta

机构信息

Department of Chemical, Pharmaceutical and Agricultural Science, University of Ferrara, 44121 Ferrara, Italy.

Department of Microbiology and Virology, "Spedali Civili," 25126 Brescia, Italy.

出版信息

Microorganisms. 2021 Aug 26;9(9):1820. doi: 10.3390/microorganisms9091820.

Abstract

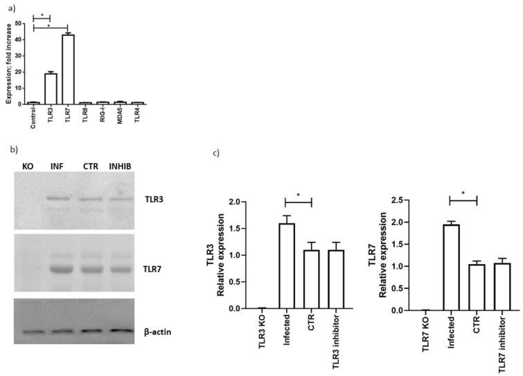
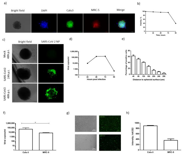
(1) Background: Acute respiratory syndrome coronavirus 2 (SARS-CoV-2) is the etiological agent for the coronavirus disease (COVID-19) that has led to a pandemic that began in March 2020. The role of the SARS-CoV-2 components on innate and adaptive immunity is still unknown. We investigated the possible implication of pathogen-associated molecular patterns (PAMPs)-pattern recognition receptors (PRRs) interaction. (2) Methods: We infected Calu-3/MRC-5 multicellular spheroids (MTCSs) with a SARS-CoV-2 clinical strain and evaluated the activation of RNA sensors, transcription factors, and cytokines/interferons (IFN) secretion, by quantitative real-time PCR, immunofluorescence, and ELISA. (3) Results: Our results showed that the SARS-CoV-2 infection of Calu-3/MRC-5 multicellular spheroids induced the activation of the TLR3 and TLR7 RNA sensor pathways. In particular, TLR3 might act via IRF3, producing interleukin (IL)-1α, IL-1β, IL-4, IL-6, and IFN-α and IFN-β, during the first 24 h post-infection. Then, TLR3 activates the NFκB transduction pathway, leading to pro-inflammatory cytokine secretion. Conversely, TLR7 seems to mainly act via NFκB, inducing type 1 IFN, IFN-γ, and IFN-λ3, starting from the 48 h post-infection. (4) Conclusion: We showed that both TLR3 and TLR7 are involved in the control of innate immunity during lung SARS-CoV-2 infection. The activation of TLRs induced pro-inflammatory cytokines, such as IL-1α, IL-1β, IL-4, and IL-6, as well as interferons. TLRs could be a potential target in controlling the infection in the early stages of the disease.

摘要

(1) 背景:严重急性呼吸综合征冠状病毒2(SARS-CoV-2)是导致2020年3月开始的大流行的冠状病毒病(COVID-19)的病原体。SARS-CoV-2各成分在先天性和适应性免疫中的作用仍不清楚。我们研究了病原体相关分子模式(PAMPs)-模式识别受体(PRRs)相互作用的可能影响。(2) 方法:我们用SARS-CoV-2临床毒株感染Calu-3/MRC-5多细胞球体(MTCSs),并通过定量实时PCR、免疫荧光和酶联免疫吸附测定法评估RNA传感器、转录因子的激活以及细胞因子/干扰素(IFN)的分泌。(3) 结果:我们的结果表明,Calu-3/MRC-5多细胞球体的SARS-CoV-2感染诱导了TLR3和TLR7 RNA传感器途径的激活。特别是,TLR3可能通过IRF3起作用,在感染后的最初24小时内产生白细胞介素(IL)-1α、IL-1β、IL-4、IL-6以及IFN-α和IFN-β。然后,TLR3激活NFκB转导途径,导致促炎细胞因子分泌。相反,TLR7似乎主要通过NFκB起作用,从感染后48小时开始诱导1型IFN、IFN-γ和IFN-λ3。(4) 结论:我们表明TLR3和TLR7均参与肺部SARS-CoV-2感染期间先天性免疫的控制。TLR的激活诱导了促炎细胞因子,如IL-1α、IL-1β、IL-4和IL-6以及干扰素。TLR可能是疾病早期控制感染的潜在靶点。

https://cdn.ncbi.nlm.nih.gov/pmc/blobs/e079/8465566/82023cbf00ba/microorganisms-09-01820-g001.jpg

文献AI研究员

20分钟写一篇综述,助力文献阅读效率提升50倍。

立即体验

用中文搜PubMed

大模型驱动的PubMed中文搜索引擎

马上搜索

文档翻译

学术文献翻译模型,支持多种主流文档格式。

立即体验