Suppr超能文献

靶向鼻咽癌的细胞内聚集纳米药物的合成及光热效应

Synthesis and Photothermal Effects of Intracellular Aggregating Nanodrugs Targeting Nasopharyngeal Carcinoma.

作者信息

Zhong Ying, Bejjanki Naveen Kumar, Miao Xiangwan, Weng Huanhuan, Li Quanming, Zhang Juan, Liu Tao, Vannam Raghu, Xie Minqiang

机构信息

Department of Otolaryngology-Head and Neck Surgery, Zhujiang Hospital, Southern Medical University, Guangzhou, China.

Department of Otolaryngology-Head and Neck Surgery, Zhuhai People's Hospital, Zhuhai, China.

出版信息

Front Bioeng Biotechnol. 2021 Sep 16;9:730925. doi: 10.3389/fbioe.2021.730925. eCollection 2021.

Abstract

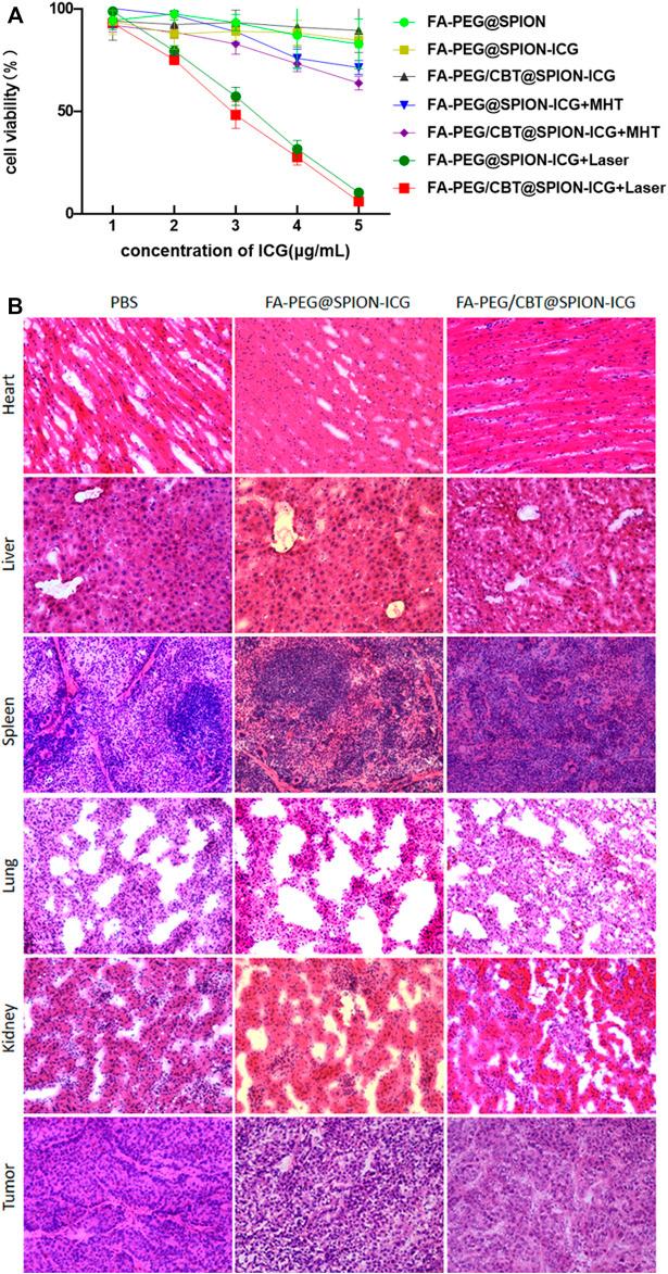
Chemotherapy for the treatment of nasopharyngeal carcinoma (NPC) is usually associated with many side effects; therefore, its treatment options have not yet been completely resolved. Improving distribution to the targeted tumor region and enhancing the cellular uptake of drugs can efficiently alleviate the above adverse medical effects. Near-infrared (NIR) laser light-mediated photothermal therapy (PTT) and photodynamic therapy (PDT) are promising strategies for cancer treatment. In the present study, we developed an efficient multifunctional nanocluster with enhanced targeting and aggregation efficiency for PTT and PDT that is composed of a biocompatible folic acid (FA), indocyanine green (ICG) and 2-cyanobenzothiazole (CBT)-functionalized peptide labeled with an aldehyde sodium alginate-modified magnetic iron oxide nanoparticle (ASA-MNP)-based nanocarrier. FA can bind to folate receptors on cancer cell membranes to enhance nanocluster uptake. CBT-modified peptide can react with glutathione (GSH), which is typically present at higher levels in cancer cells, to form intracellular aggregates and increase the local concentration of the nanodrug. In studies, these nanodrugs displayed the desired uptake capacity by NPC cells and the ability to suppress the growth of cancer cells under laser irradiation. Animal studies validated that these nanodrugs are safe and nontoxic, efficiently accumulate in NPC tumor sites following injection the caudal vein, and shows superior inhibition of tumor growth in a tumor-bearing mouse model upon near-infrared laser irradiation. The results indicate the potential application of the multifunctional nanoparticles (NPs), which can be used as a new method for the treatment of folate receptor-positive NPC.

摘要

用于治疗鼻咽癌(NPC)的化疗通常会伴随许多副作用;因此,其治疗方案尚未完全解决。改善药物在靶向肿瘤区域的分布并增强细胞对药物的摄取可以有效缓解上述不良医学影响。近红外(NIR)激光介导的光热疗法(PTT)和光动力疗法(PDT)是很有前景的癌症治疗策略。在本研究中,我们开发了一种高效的多功能纳米簇,其对PTT和PDT具有增强的靶向性和聚集效率,该纳米簇由生物相容性叶酸(FA)、吲哚菁绿(ICG)和用醛基修饰的海藻酸钠磁性氧化铁纳米颗粒(ASA-MNP)标记的2-氰基苯并噻唑(CBT)功能化肽组成。FA可以与癌细胞膜上的叶酸受体结合,以增强纳米簇的摄取。CBT修饰的肽可以与癌细胞中通常含量较高的谷胱甘肽(GSH)反应,形成细胞内聚集体并增加纳米药物的局部浓度。在研究中,这些纳米药物显示出对NPC细胞具有所需的摄取能力,并在激光照射下具有抑制癌细胞生长的能力。动物研究证实,这些纳米药物安全无毒,经尾静脉注射后能有效积聚在NPC肿瘤部位,并且在近红外激光照射下对荷瘤小鼠模型中的肿瘤生长具有优异的抑制作用。结果表明多功能纳米颗粒(NPs)具有潜在应用价值,可作为治疗叶酸受体阳性NPC的新方法。

https://cdn.ncbi.nlm.nih.gov/pmc/blobs/8ef4/8481884/6d4ec8695b19/fbioe-09-730925-g001.jpg

文献AI研究员

20分钟写一篇综述,助力文献阅读效率提升50倍。

立即体验

用中文搜PubMed

大模型驱动的PubMed中文搜索引擎

马上搜索

文档翻译

学术文献翻译模型,支持多种主流文档格式。

立即体验