Suppr超能文献

环状RNA Circ-0002570通过调控胃癌中的VCAN MiR-587促进癌症进展。

Circular RNA Circ-0002570 Accelerates Cancer Progression by Regulating VCAN MiR-587 in Gastric Cancer.

作者信息

Yang Lei, Zhou Yong-Ning, Zeng Miao-Miao, Zhou Nan, Wang Bin-Sheng, Li Bo, Zhu Xiao-Liang, Guan Quan-Lin, Chai Chen

机构信息

Department of General Surgery, The First Hospital of Lanzhou University, Lanzhou, China.

Department of Gastroenterology, The First hospital of Lanzhou University, Lanzhou, China.

出版信息

Front Oncol. 2021 Oct 6;11:733745. doi: 10.3389/fonc.2021.733745. eCollection 2021.

Abstract

BACKGROUND

Circular RNAs (circRNAs) are closely associated with the occurrences and progress of gastric cancer (GC). We aimed to delve into the function and pathological mechanism of Circular RNA-0002570 (circ-0002570) in GC progression.

METHODS

CircRNAs differentially expressed in GC were screened using bioinformatics technology. The expression of circ-0002570 was detected in GC specimens and cells qRT-PCR, and the prognostic values of circ-0002570 were determined. The functional roles of circ-0002570 on proliferation, migration, and invasion in GC cells were explored and . Interaction of circ-0002570, miR-587, and VCAN was confirmed by dual-luciferase reporter assays, Western blotting, and rescue experiments.

RESULTS

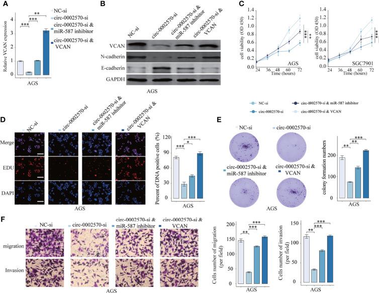
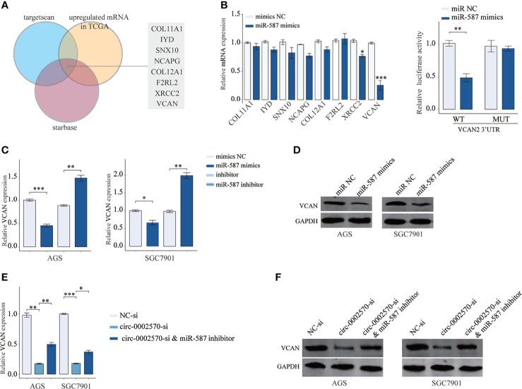
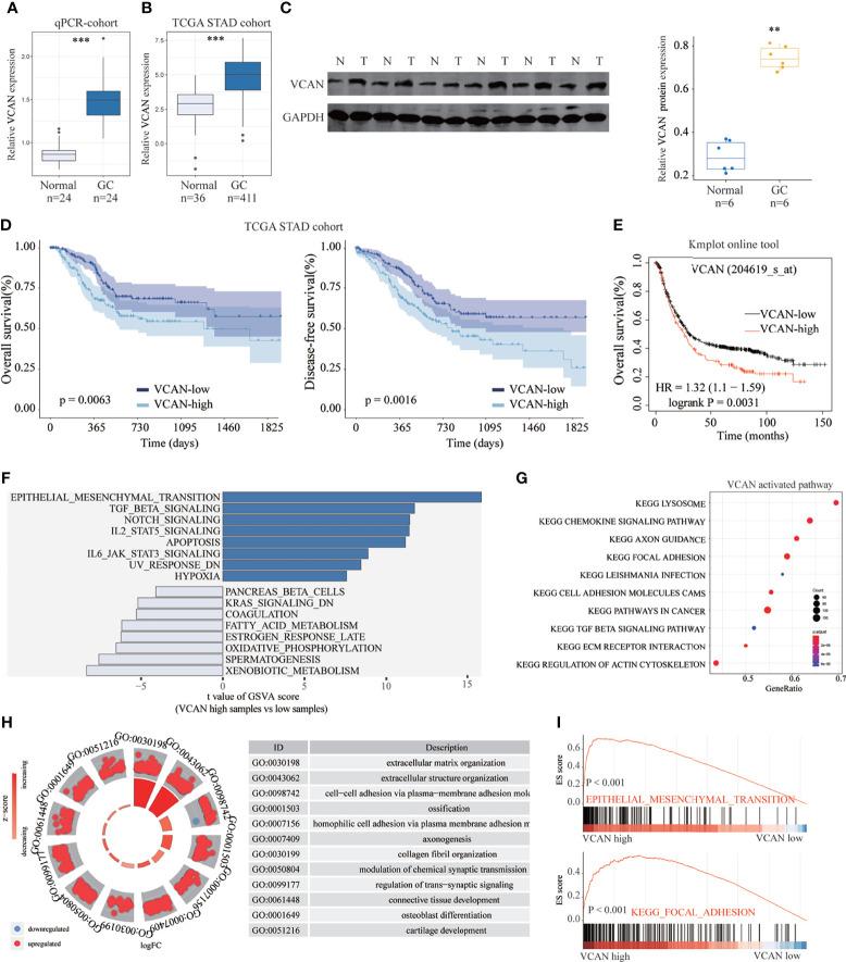
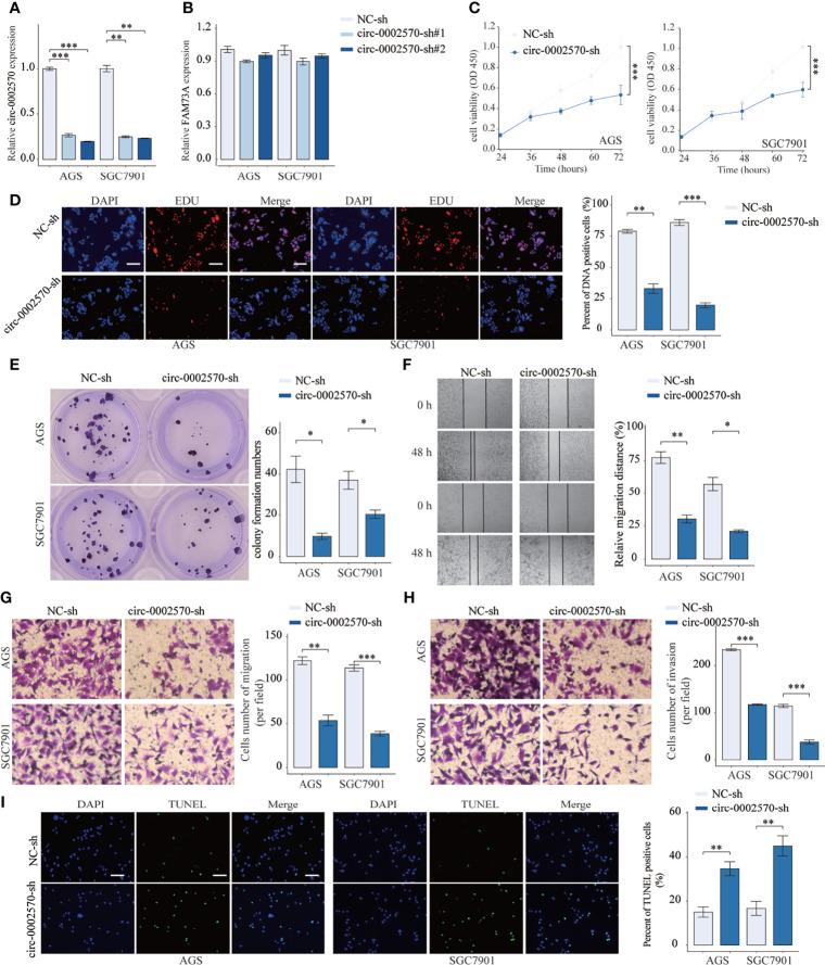
Circ-0002570 expression was distinctly increased in GC tissues compared to adjacent normal specimens, and GC patients with higher circ-0002570 expressions displayed a short survival. Functionally, knockdown of circ-0002570 resulted in the inhibition of cell proliferation, migration, and invasion, and suppressed tumor growth . Mechanistically, miR-587 was sponged by circ-0002570. VCAN expression in NSCLC was directly inhibited by miR-587. Overexpression of circ-0002570 prevented VCAN from miR-587-mediated degradation and thus facilitated GC progression.

CONCLUSION

The circ-0002570-miR-587-VCAN regulatory pathway promoted the progression of GC. Our findings provided potential new targets for the diagnosis and therapy of GC.

摘要

背景

环状RNA(circRNAs)与胃癌(GC)的发生和进展密切相关。我们旨在深入研究环状RNA-0002570(circ-0002570)在GC进展中的功能和病理机制。

方法

利用生物信息学技术筛选出在GC中差异表达的circRNAs。采用qRT-PCR检测GC标本和细胞中circ-0002570的表达,并确定circ-0002570的预后价值。通过实验探究circ-0002570对GC细胞增殖、迁移和侵袭的功能作用。通过双荧光素酶报告基因检测、蛋白质印迹法和挽救实验证实circ-0002570、miR-587和VCAN之间的相互作用。

结果

与相邻正常标本相比,circ-0002570在GC组织中的表达明显增加,circ-0002570表达较高的GC患者生存期较短。在功能上,敲低circ-0002570可抑制细胞增殖、迁移和侵袭,并抑制肿瘤生长。机制上,circ-0002570可吸附miR-587。miR-587可直接抑制NSCLC中VCAN的表达。circ-0002570的过表达可防止VCAN被miR-587介导的降解,从而促进GC进展。

结论

circ-0002570-miR-587-VCAN调控通路促进了GC的进展。我们的研究结果为GC的诊断和治疗提供了潜在的新靶点。

https://cdn.ncbi.nlm.nih.gov/pmc/blobs/2e08/8526966/38d4b14e3115/fonc-11-733745-g001.jpg

文献AI研究员

20分钟写一篇综述,助力文献阅读效率提升50倍。

立即体验

用中文搜PubMed

大模型驱动的PubMed中文搜索引擎

马上搜索

文档翻译

学术文献翻译模型,支持多种主流文档格式。

立即体验