Suppr超能文献

血清 AFP 检测和 AFP/GPC3/SALL4 免疫组化对预测胃腺癌的预后均有帮助。

Both the serum AFP test and AFP/GPC3/SALL4 immunohistochemistry are beneficial for predicting the prognosis of gastric adenocarcinoma.

机构信息

Department of Pathology, National Cancer Center/National Clinical Research Center for Cancer/Cancer Hospital, Chinese Academy of Medical Sciences and Peking Union Medical College, Beijing, 100021, China.

Department of Abdominal Surgical Oncology, National Cancer Center/National Clinical Research Center for Cancer/Cancer Hospital, Chinese Academy of Medical Sciences and Peking Union Medical College, Beijing, 100021, China.

出版信息

BMC Gastroenterol. 2021 Oct 27;21(1):408. doi: 10.1186/s12876-021-01986-0.

Abstract

BACKGROUND

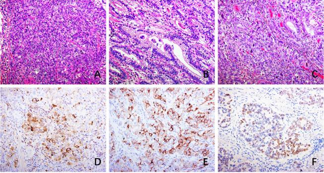
Both gastric adenocarcinoma with primitive enterocyte phenotype (GAPEP) (including hepatoid adenocarcinoma) and alpha-fetoprotein (AFP)-producing gastric adenocarcinoma have poor prognoses. However, the value of the serum AFP test and AFP/glypican-3 (GPC3)/spalt-like transcription factor 4 (SALL4) immunohistochemistry is still not clear, and these two methods have not yet been thoroughly compared.

METHODS

We collected 421 consecutive non-neoadjuvant surgically or endoscopically resected gastric adenocarcinoma patients with serum AFP results before surgery (group A). We divided these cases into serum AFP-high (sAFP-H) and serum AFP-normal (sAFP-N) by serum AFP levels, and into GAPEP (expressing AFP, GPC3, or SALL4) and non-GAPEP (nGAPEP) by AFP/GPC3/SALL4 immunohistochemistry results. We also collected 12 non-resected gastric adenocarcinoma patients with serum AFP ≥ 7 ng/mL before treatment (group B). We analyzed these patients' clinicopathological characteristics and prognoses.

RESULTS

Seventeen (4.04%) patients in group A were sAFP-H. These patients were younger and mainly had tubular adenocarcinoma with later pT (P = 0.014) and pN (P = 0.047) categories and more lymphovascular invasion (P < 0.001), perineural spread (P = 0.008), and metastases or recurrence (P < 0.001). For immunohistochemistry, 34 (8.08%) cases were GAPEP, and GAPEP cases also had later pT categories than nGAPEP cases (P = 0.001). Most group B patients with elevated serum AFP (especially > 1000 ng/mL) had simultaneous metastases, mainly liver metastases. Both the serological method and immunohistochemical method were useful for predicting prognosis (AUC  = 0.625, AUC  = 0.723, z statistic = 1.726, P = 0.084). The serum AFP level (especially > 1000 ng/mL) is more specific (100%), and immunohistochemistry is more sensitive (50%).

CONCLUSION

Both the serum AFP level and immunohistochemical expression of AFP/GPC3/SALL4 can be used to indicate a poor prognosis for gastric adenocarcinoma.

摘要

背景

胃腺原肠上皮癌(GAPEP)(包括肝样腺癌)和甲胎蛋白(AFP)产生的胃腺癌均预后不良。然而,血清 AFP 检测和 AFP/glypican-3(GPC3)/spalt-like 转录因子 4(SALL4)免疫组化的价值仍不清楚,并且这两种方法尚未得到彻底比较。

方法

我们收集了 421 例连续的非新辅助手术或内镜切除的胃腺癌患者,这些患者在术前均有血清 AFP 结果(A 组)。我们通过血清 AFP 水平将这些病例分为血清 AFP 高(sAFP-H)和血清 AFP 正常(sAFP-N),并通过 AFP/GPC3/SALL4 免疫组化结果将其分为 GAPEP(表达 AFP、GPC3 或 SALL4)和非-GAPEP(nGAPEP)。我们还收集了 12 例治疗前血清 AFP≥7ng/mL 的非切除胃腺癌患者(B 组)。我们分析了这些患者的临床病理特征和预后。

结果

A 组中有 17 例(4.04%)患者为 sAFP-H。这些患者更年轻,主要为管状腺癌,且具有较晚的 pT(P=0.014)和 pN 分期(P=0.047),并且具有更多的血管淋巴管侵犯(P<0.001)、神经周围侵犯(P=0.008)、转移或复发(P<0.001)。对于免疫组化,34 例(8.08%)为 GAPEP,与 nGAPEP 相比,GAPEP 病例也具有较晚的 pT 分期(P=0.001)。大多数 AFP 升高的 B 组患者(特别是>1000ng/mL)有同时性转移,主要是肝转移。血清学方法和免疫组织化学方法均有助于预测预后(AUC=0.625,AUC=0.723,z 统计量=1.726,P=0.084)。血清 AFP 水平(尤其是>1000ng/mL)特异性更高(100%),而免疫组化敏感性更高(50%)。

结论

血清 AFP 水平和 AFP/GPC3/SALL4 的免疫组化表达均可提示胃腺癌预后不良。

https://cdn.ncbi.nlm.nih.gov/pmc/blobs/ea7c/8555135/3ff322a9c45f/12876_2021_1986_Fig1_HTML.jpg

文献AI研究员

20分钟写一篇综述,助力文献阅读效率提升50倍。

立即体验

用中文搜PubMed

大模型驱动的PubMed中文搜索引擎

马上搜索

文档翻译

学术文献翻译模型,支持多种主流文档格式。

立即体验