Suppr超能文献

B 细胞衍生的 GABA 引发 IL-10 巨噬细胞来限制抗肿瘤免疫。

B cell-derived GABA elicits IL-10 macrophages to limit anti-tumour immunity.

机构信息

Laboratory for Mucosal Immunity, Center for Integrative Medical Sciences, RIKEN Yokohama Institute, Yokohama, Japan.

Department of Biochemistry and Integrative Biology, Keio University, Tokyo, Japan.

出版信息

Nature. 2021 Nov;599(7885):471-476. doi: 10.1038/s41586-021-04082-1. Epub 2021 Nov 3.

Abstract

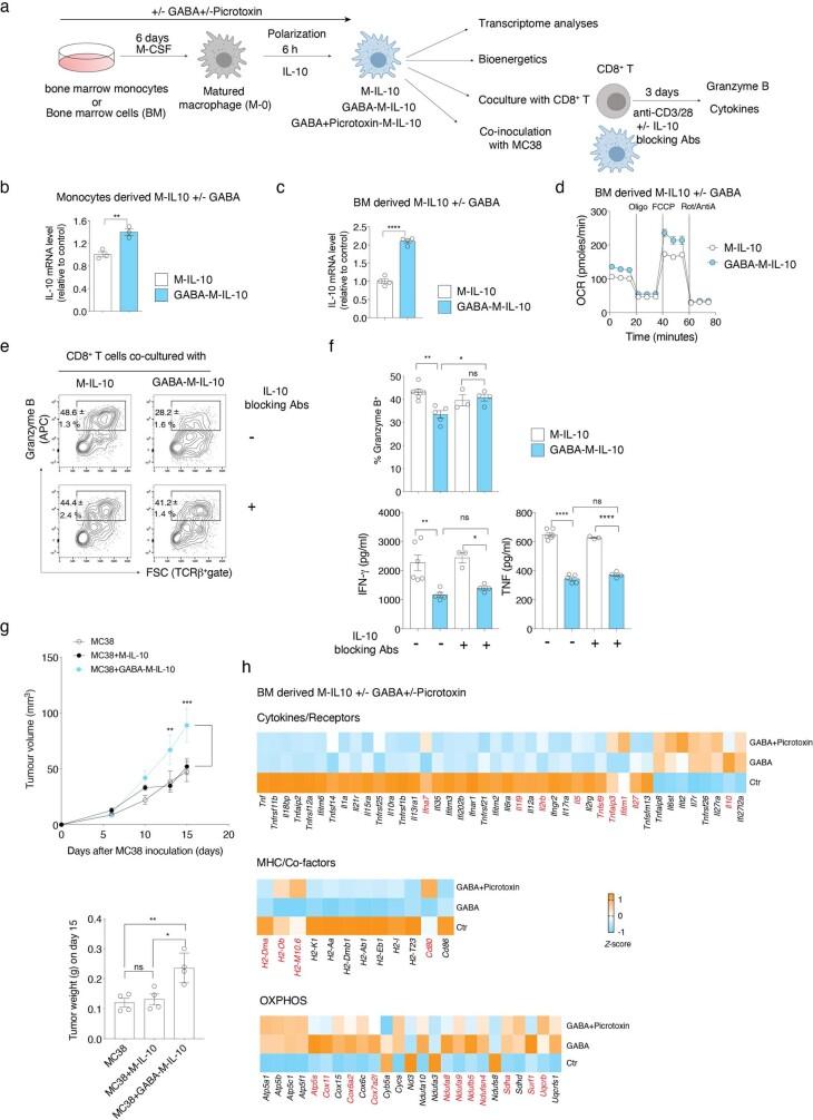
Small, soluble metabolites not only are essential intermediates in intracellular biochemical processes, but can also influence neighbouring cells when released into the extracellular milieu. Here we identify the metabolite and neurotransmitter GABA as a candidate signalling molecule synthesized and secreted by activated B cells and plasma cells. We show that B cell-derived GABA promotes monocyte differentiation into anti-inflammatory macrophages that secrete interleukin-10 and inhibit CD8 T cell killer function. In mice, B cell deficiency or B cell-specific inactivation of the GABA-generating enzyme GAD67 enhances anti-tumour responses. Our study reveals that, in addition to cytokines and membrane proteins, small metabolites derived from B-lineage cells have immunoregulatory functions, which may be pharmaceutical targets allowing fine-tuning of immune responses.

摘要

小而可溶性的代谢物不仅是细胞内生化过程中必不可少的中间产物,而且当它们释放到细胞外环境中时,也可以影响邻近的细胞。在这里,我们将代谢物和神经递质 GABA 确定为一种候选信号分子,它由活化的 B 细胞和浆细胞合成和分泌。我们表明,B 细胞衍生的 GABA 促进单核细胞分化为抗炎巨噬细胞,这些巨噬细胞分泌白细胞介素 10 并抑制 CD8 T 细胞杀伤功能。在小鼠中,B 细胞缺失或 B 细胞特异性失活 GABA 生成酶 GAD67 增强了抗肿瘤反应。我们的研究表明,除了细胞因子和膜蛋白外,源自 B 细胞谱系细胞的小分子代谢物具有免疫调节功能,这可能是药物靶点,允许精细调节免疫反应。

https://cdn.ncbi.nlm.nih.gov/pmc/blobs/1b5e/8599023/5baa3ec6b0d9/41586_2021_4082_Fig1_HTML.jpg

文献AI研究员

20分钟写一篇综述,助力文献阅读效率提升50倍。

立即体验

用中文搜PubMed

大模型驱动的PubMed中文搜索引擎

马上搜索

文档翻译

学术文献翻译模型,支持多种主流文档格式。

立即体验