Suppr超能文献

一种建立伴有局灶性软骨缺损的灵长类膝关节骨关节炎模型的新方法。

A New Method to Develop the Primate Model of Knee Osteoarthritis With Focal Cartilage Defect.

作者信息

Bi Xin, Li Tao, Li Min, Xiang Shutian, Li Junhong, Ling Bin, Wu Zhaoxiang, Chen Zhong

机构信息

Department of Orthopaedic and Trauma Surgery, The Second People's Hospital of Yunnan Province, Kunming, China.

Department of Plastic and Reconstructive Surgery, Nanfang Hospital, Southern Medical University, Guangzhou, China.

出版信息

Front Bioeng Biotechnol. 2021 Nov 4;9:727643. doi: 10.3389/fbioe.2021.727643. eCollection 2021.

Abstract

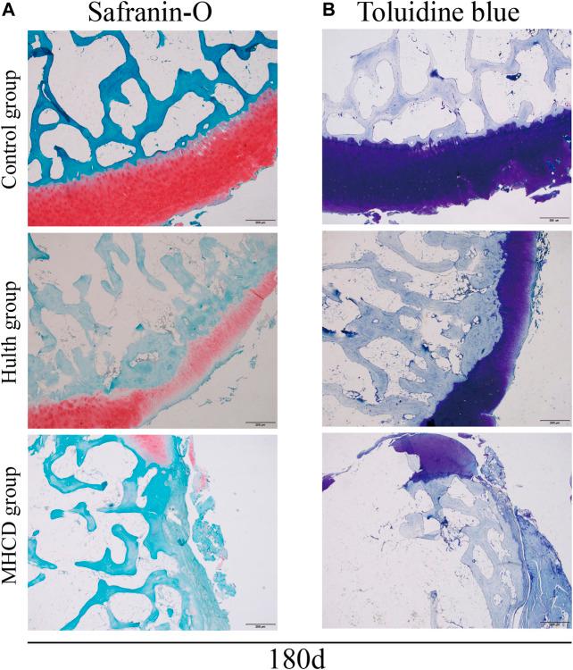
Osteoarthritis (OA) is a common degenerative joint disease, and animal models have proven pivotal in investigating this disease. This study aimed to develop a primate model of OA that may be more relevant to research studies on OA in humans. Twelve female rhesus macaques were randomly divided into three groups. Four animals were untreated (Control group); four were subjected to the modified Hulth method, involving cutting of the anterior and posterior cruciate ligaments, and transecting the meniscus (Hulth group); and four were subjected to the modified Hulth method combined with cartilage defect (MHCD group). Each primate was subjected to motor ability tests, and underwent arthroscopic, radiographic, morphological, and pathological observation of the knee joints at various times for up to 180 days. Motor ability on Day 180 was significantly lower in the MHCD group than in the Control (<0.01) and Hulth (<0.05) groups. Radiographic and morphological examination showed that the severity of knee joint deformity and articular cartilage injury were greater in the MHCD group than in the other groups. Pathological examination showed that cartilage thickness was significantly lower in the MHCD group than in the other groups at the same time points. The Mankin score on Day 180 was markedly higher in the MHCD group than in the Hulth (<0.05) and Control (<0.001) groups. The MHCD model of OA closely resembles the pathophysiological processes of spontaneous knee OA in humans. The time required to develop knee OA is shorter using the MHCD model than using the Hulth method.

摘要

骨关节炎(OA)是一种常见的退行性关节疾病,动物模型已被证明在研究这种疾病中起着关键作用。本研究旨在建立一种可能与人类OA研究更相关的灵长类动物OA模型。将12只雌性恒河猴随机分为三组。4只动物不进行处理(对照组);4只采用改良的Hulth方法,包括切断前后交叉韧带和横断半月板(Hulth组);4只采用改良的Hulth方法联合软骨缺损(MHCD组)。对每只灵长类动物进行运动能力测试,并在长达180天的不同时间对膝关节进行关节镜、放射学、形态学和病理学观察。第180天时,MHCD组的运动能力显著低于对照组(<0.01)和Hulth组(<0.05)。放射学和形态学检查显示,MHCD组膝关节畸形和关节软骨损伤的严重程度高于其他组。病理学检查显示,在相同时间点,MHCD组的软骨厚度显著低于其他组。第180天时,MHCD组的Mankin评分明显高于Hulth组(<0.05)和对照组(<0.001)。OA的MHCD模型与人类自发性膝关节OA的病理生理过程非常相似。使用MHCD模型比使用Hulth方法发展为膝关节OA所需的时间更短。

https://cdn.ncbi.nlm.nih.gov/pmc/blobs/feaa/8599286/879f5a211cec/fbioe-09-727643-g001.jpg

文献AI研究员

20分钟写一篇综述,助力文献阅读效率提升50倍。

立即体验

用中文搜PubMed

大模型驱动的PubMed中文搜索引擎

马上搜索

文档翻译

学术文献翻译模型,支持多种主流文档格式。

立即体验