Suppr超能文献

特别强调蚓螈的两栖类皮肤毒腺和黏液腺的形态学()。

Morphology of the Cutaneous Poison and Mucous Glands in Amphibians with Particular Emphasis on Caecilians ().

机构信息

Laboratory of Structural Biology, Instituto Butantan, São Paulo 05509-000, Brazil.

Multipurpose Laboratory, Instituto Butantan, São Paulo 05503-000, Brazil.

出版信息

Toxins (Basel). 2021 Nov 4;13(11):779. doi: 10.3390/toxins13110779.

Abstract

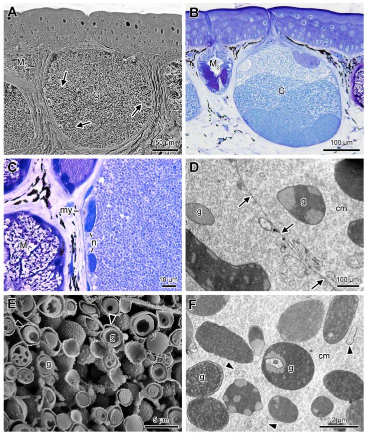
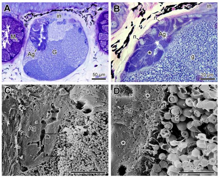
Caecilians (order Gymnophiona) are apodan, snake-like amphibians, usually with fossorial habits, constituting one of the most unknown groups of terrestrial vertebrates. As in orders Anura (frogs, tree frogs and toads) and Caudata (salamanders and newts), the caecilian skin is rich in mucous glands, responsible for body lubrication, and poison glands, producing varied toxins used in defence against predators and microorganisms. Whereas in anurans and caudatans skin gland morphology has been well studied, caecilian poison glands remain poorly elucidated. Here we characterised the skin gland morphology of the caecilian , emphasising the poison glands in comparison to those of anurans and salamanders. We showed that glands are similar to those of salamanders, consisting of several syncytial compartments full of granules composed of protein material but showing some differentiated apical compartments containing mucus. An unusual structure resembling a mucous gland is frequently observed in lateral/apical position, apparently connected to the main duct. We conclude that the morphology of skin poison glands in caecilians is more similar to salamander glands when compared to anuran glands that show a much-simplified structure.

摘要

蚓螈(蚓螈目)是穴居的蛇形有尾两栖类,通常具有穴居习性,是陆地脊椎动物中最不为人们所了解的类群之一。与无尾目(蛙类、树蛙和蟾蜍)和有尾目(蝾螈和火蜥蜴)一样,蚓螈的皮肤富含黏液腺,负责身体的润滑,还具有毒腺,产生各种毒素,用于防御捕食者和微生物。虽然无尾目和有尾目的皮肤腺形态已经得到了很好的研究,但蚓螈的毒腺仍然知之甚少。在这里,我们描述了蚓螈的皮肤腺形态,重点研究了与无尾目和有尾目相比的毒腺。我们发现,蚓螈的毒腺与蝾螈的毒腺相似,由充满蛋白质颗粒的几个合胞体腔室组成,但也有一些分化的顶部分室含有黏液。在侧面/顶部位置经常观察到一种类似黏液腺的不寻常结构,显然与主管道相连。我们的结论是,与显示出简化结构的无尾目毒腺相比,蚓螈的皮肤毒腺形态更类似于蝾螈的毒腺。

https://cdn.ncbi.nlm.nih.gov/pmc/blobs/45f2/8617868/d1a8c573759d/toxins-13-00779-g001.jpg

文献AI研究员

20分钟写一篇综述,助力文献阅读效率提升50倍。

立即体验

用中文搜PubMed

大模型驱动的PubMed中文搜索引擎

马上搜索

文档翻译

学术文献翻译模型,支持多种主流文档格式。

立即体验