Suppr超能文献

Takayasu 动脉炎肺动脉受累的临床特征及其与缺血性心脏病和感染的关系。

The clinical features of pulmonary artery involvement in Takayasu arteritis and its relationship with ischemic heart diseases and infection.

机构信息

Department of Rheumatology and Clinical Immunology, Graduate School of Medicine, Kyoto University, 54 Shogoin Kawahara-cho, Sakyo-ku, Kyoto, 606-8507, Japan.

Tazuke Kofukai, Medical Research Institute, Kitano Hospital, Osaka, Japan.

出版信息

Arthritis Res Ther. 2021 Dec 3;23(1):293. doi: 10.1186/s13075-021-02675-9.

Abstract

BACKGROUND

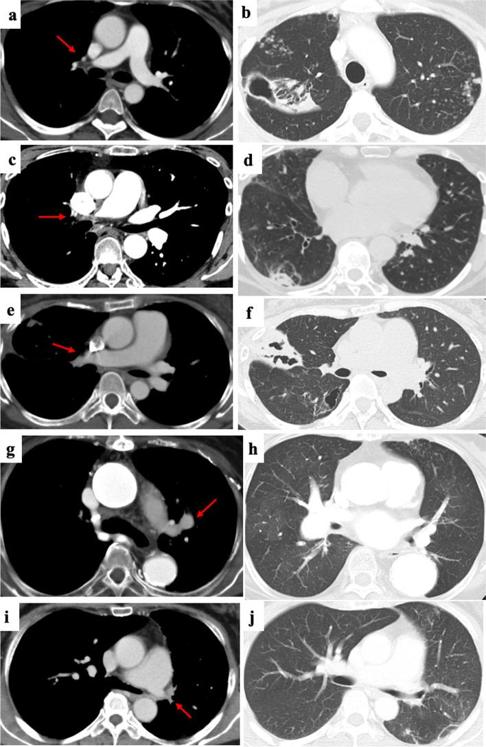
Pulmonary artery involvement (PAI) in Takayasu arteritis (TAK) can lead to severe complications, but the relationship between the two has not been fully clarified.

METHODS

We retrospectively investigated 166 consecutive patients with TAK who attended Kyoto University Hospital from 1997 to 2018. The demographic data, clinical symptoms and signs, comorbidities, treatments, and imaging findings were compared between patients with and without PAI. TAK was diagnosed based on the American College of Rheumatology Classification Criteria (1990) or the Japanese Clinical Diagnostic Criteria (2008). PAI was identified using enhanced computed tomography, magnetic resonance imaging, or lung scintigraphy.

RESULTS

PAI was detected in 14.6% (n = 24) of total TAK patients. Dyspnea (25.0% vs. 8.6%; p = 0.043), pulmonary arterial hypertension (PAH) (16.7% vs. 0.0%; p < 0.001), ischemic heart disease (IHD) (29% vs. 9.3%; p = 0.018), respiratory infection (25.0% vs. 6.0%; p = 0.009), and nontuberculous mycobacteria (NTM) infection (20.8% vs. 0.8%; p < 0.001) were significantly more frequent, and renal artery stenosis (0% vs. 17%; p = 0.007) was significantly less frequent in TAK patients with PAI than in those without PAI. PAI and biologics were risk factors for NTM.

CONCLUSIONS

TAK patients with PAI more frequently have dyspnea, PAH, IHD, and respiratory infection, including NTM, than TAK patients without PAI.

摘要

背景

多发性大动脉炎(Takayasu arteritis,TAK)的肺动脉受累(PAI)可导致严重并发症,但两者之间的关系尚未完全阐明。

方法

我们回顾性调查了 1997 年至 2018 年期间在京都大学医院就诊的 166 例连续的 TAK 患者。比较了有和无 PAI 的患者之间的人口统计学数据、临床症状和体征、合并症、治疗方法和影像学发现。TAK 根据美国风湿病学会分类标准(1990 年)或日本临床诊断标准(2008 年)诊断。PAI 通过增强 CT、磁共振成像或肺闪烁显像确定。

结果

在总共 166 例 TAK 患者中,发现 PAI 占 14.6%(n=24)。呼吸困难(25.0%比 8.6%;p=0.043)、肺动脉高压(PAH)(16.7%比 0.0%;p<0.001)、缺血性心脏病(IHD)(29%比 9.3%;p=0.018)、呼吸道感染(25.0%比 6.0%;p=0.009)和非结核分枝杆菌(NTM)感染(20.8%比 0.8%;p<0.001)在有 PAI 的 TAK 患者中更常见,而肾动脉狭窄(0%比 17%;p=0.007)在有 PAI 的 TAK 患者中更少见。PAI 和生物制剂是 NTM 的危险因素。

结论

与无 PAI 的 TAK 患者相比,有 PAI 的 TAK 患者更常出现呼吸困难、PAH、IHD 和呼吸道感染,包括 NTM。

https://cdn.ncbi.nlm.nih.gov/pmc/blobs/4f65/8641170/a5d6194e381d/13075_2021_2675_Fig1_HTML.jpg

文献AI研究员

20分钟写一篇综述,助力文献阅读效率提升50倍。

立即体验

用中文搜PubMed

大模型驱动的PubMed中文搜索引擎

马上搜索

文档翻译

学术文献翻译模型,支持多种主流文档格式。

立即体验