Suppr超能文献

右美托咪定通过 p53 和叉头框 O3a(FOXO3a)/p53 上调凋亡调节因子(PUMA)信号通路减轻缺血再灌注诱导的心肌细胞损伤。

Dexmedetomidine attenuates ischemia and reperfusion-induced cardiomyocyte injury through p53 and forkhead box O3a (FOXO3a)/p53-upregulated modulator of apoptosis (PUMA) signaling signaling.

机构信息

Departments of Anesthesiology, The Affiliated Hospital of Qingdao University, Qingdao, Shandong, China.

Emergency, The Affiliated Hospital of Qingdao University, Qingdao, Shandong, China.

出版信息

Bioengineered. 2022 Jan;13(1):1377-1387. doi: 10.1080/21655979.2021.2017611.

Abstract

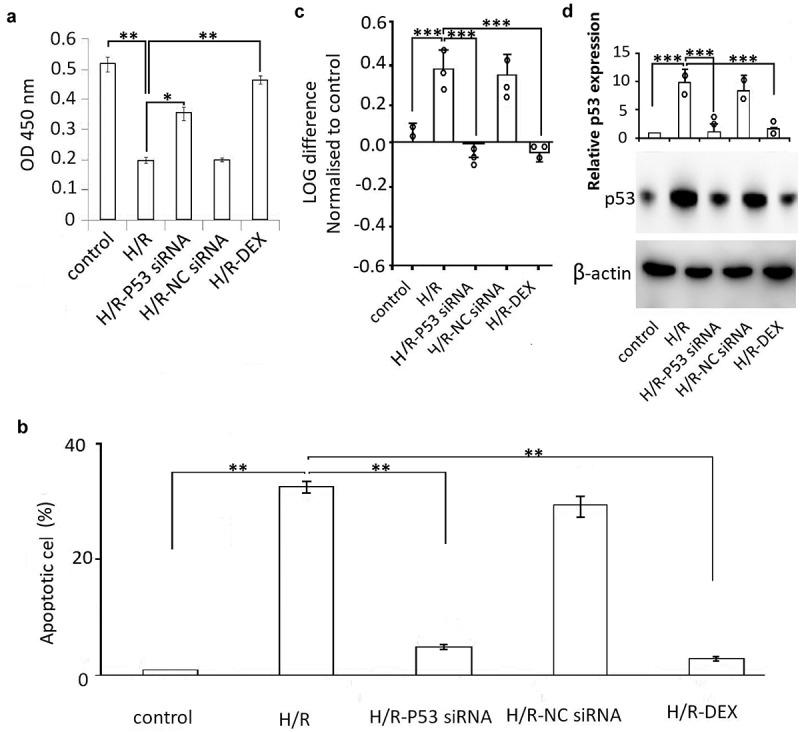
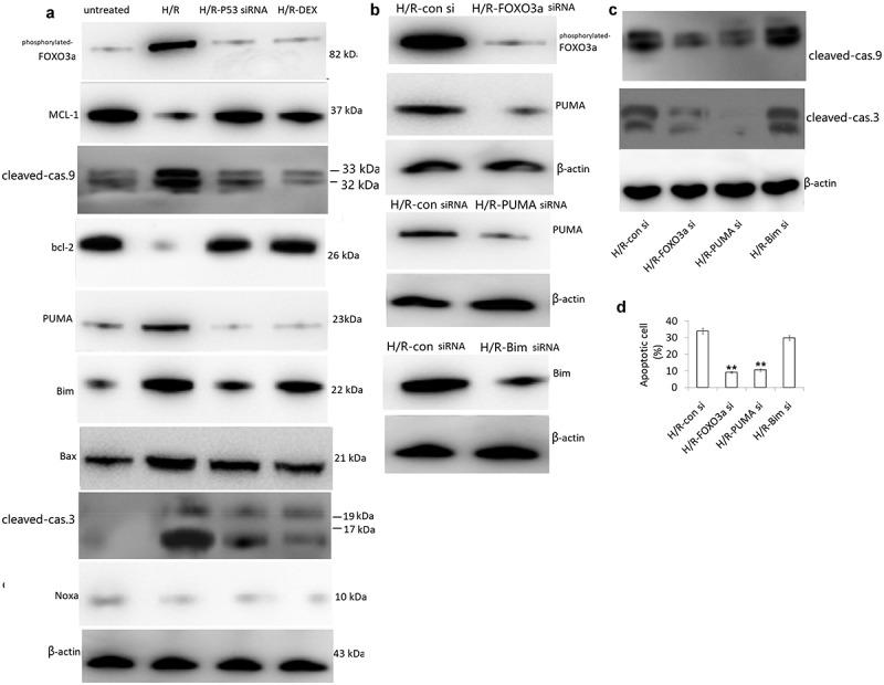
Dexmedetomidine (DEX) has been reported to attenuate the ischemia and reperfusion (I/R) induced cardiomyocyte apoptosis. However, mechanisms underlying these protective effect remain to be fully elucidated. Cardiomyocyte apoptosis is associated with ischemic heart disease. Here we investigated the role of DEX in I/R -induced cardiomyocyte apoptosis. Mice and H9c2 cardiomyocyte cells were subjected to cardiomyocyte I/R injury and hypoxia/reoxygenation (H/R) injury, respectively. The roles and mechanisms of DEX on H9c2 cardiomyocyte cells and mice cardiomyocyte cells exposured to H/R or I/R injury were explored. The results showed that DEX attenuates H/R injury-induced H9c2 cell apoptosis and alleviated mitochondrial oxidative stress; it also reduced myocardial infarct size and protected the cardiac function following cardiomyocyte I/R injury. In addition, H/R and I/R injury increased p53 expression and forkhead box O3a (FOXO3a)/p53-upregulated modulator of apoptosis (PUMA) signaling in H9c2 cardiomyocyte cells and cardiomyocytes. Targeting p53 expression or FOXO3a/PUMA signaling inhibited cell apoptosis and protected against H/R injury in H9c2 cardiomyocyte cells and cardiomyocytes. Pretreatment with DEX reduced the H/R or I/R injury-induced activation of p53 expression and FOXO3a/PUMA signaling, and alleviated H/R or I/R injury-induced apoptosis and mitochondrial oxidative stress. Therefore, DEX could alleviate H/R- or I/R-induced cardiomyocytes injury by reducing cell apoptosis and blocking p53 expression and FOXO3a/PUMA signaling. Targeting p53 or/and FOXO3a/PUMA signaling could alleviate cardiomyocyte I/R injury.

摘要

右美托咪定(DEX)已被报道可减轻缺血再灌注(I/R)引起的心肌细胞凋亡。然而,其保护作用的机制仍有待充分阐明。心肌细胞凋亡与缺血性心脏病有关。在这里,我们研究了 DEX 在 I/R 诱导的心肌细胞凋亡中的作用。分别将小鼠和 H9c2 心肌细胞置于心肌 I/R 损伤和缺氧/复氧(H/R)损伤中。探讨了 DEX 对 H9c2 心肌细胞和暴露于 H/R 或 I/R 损伤的小鼠心肌细胞的作用及其机制。结果表明,DEX 减轻了 H/R 损伤诱导的 H9c2 细胞凋亡并减轻了线粒体氧化应激;它还减少了心肌梗死面积并保护了心肌细胞 I/R 损伤后的心脏功能。此外,H/R 和 I/R 损伤增加了 H9c2 心肌细胞和心肌细胞中的 p53 表达和叉头框 O3a(FOXO3a)/p53 上调凋亡调节剂(PUMA)信号。靶向 p53 表达或 FOXO3a/PUMA 信号抑制细胞凋亡并保护 H9c2 心肌细胞和心肌细胞免受 H/R 损伤。DEX 预处理可降低 H/R 或 I/R 损伤诱导的 p53 表达和 FOXO3a/PUMA 信号的激活,并减轻 H/R 或 I/R 损伤诱导的细胞凋亡和线粒体氧化应激。因此,DEX 通过减少细胞凋亡和阻断 p53 表达和 FOXO3a/PUMA 信号来减轻 H/R 或 I/R 诱导的心肌细胞损伤。靶向 p53 或/和 FOXO3a/PUMA 信号可减轻心肌 I/R 损伤。

https://cdn.ncbi.nlm.nih.gov/pmc/blobs/3259/8805856/8193bd6fe94b/KBIE_A_2017611_F0001_B.jpg

文献AI研究员

20分钟写一篇综述,助力文献阅读效率提升50倍。

立即体验

用中文搜PubMed

大模型驱动的PubMed中文搜索引擎

马上搜索

文档翻译

学术文献翻译模型,支持多种主流文档格式。

立即体验