Suppr超能文献

宏基因组分析鉴定出 1 例成人艾滋病罕见感染。

Metagenomic Analysis Identifying a Rare Infection in an Adult With AIDS.

机构信息

Department of Clinical Laboratory, Liaocheng People's Hospital, Liaocheng, China.

Department of Clinical Laboratory, Liaocheng Third People's Hospital, Liaocheng, China.

出版信息

Front Cell Infect Microbiol. 2021 Dec 15;11:764142. doi: 10.3389/fcimb.2021.764142. eCollection 2021.

Abstract

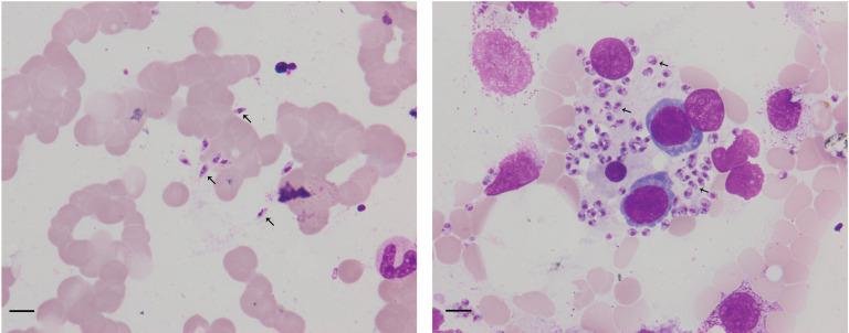
belongs to a genus of the protozoan parasites that causes leishmaniasis, and includes cutaneous leishmaniasis (CL) and visceral leishmaniasis (VL). In this case, amastigotes were found on cytomorphology examination of the bone marrow specimen, followed by 1,076 reads using metagenomic next generation sequencing (mNGS). Since being definitely diagnosed with VL/HIV coinfection, the patient was treated with liposomal amphotericin B as the parasite-resistant therapy and was discharged after clinical cure. But nearly a year later, on the mNGS follow-up, was detected in the patient's blood plasma specimen with 941 reads, suggesting that a relapse of leishmaniasis had occurred. These results indicate that leishmaniasis still exists in China and may represent a public health concern. This case could be helpful in the differential diagnosis of leishmaniasis, and for determining disease progression, prevention, and control of vectors and reservoir hosts.

摘要

属于引起利什曼病的原生动物寄生虫属,包括皮肤利什曼病(CL)和内脏利什曼病(VL)。在本例中,通过骨髓标本的细胞形态学检查发现了无鞭毛体,随后使用宏基因组下一代测序(mNGS)进行了 1076 次读取。由于明确诊断为 VL/HIV 合并感染,患者接受了脂质体两性霉素 B 作为寄生虫耐药治疗,在临床治愈后出院。但将近一年后,在 mNGS 随访中,在患者的血浆标本中检测到 941 次读取,提示利什曼病复发。这些结果表明,利什曼病在中国仍然存在,可能是一个公共卫生问题。该病例有助于利什曼病的鉴别诊断,并有助于确定疾病的进展、预防和控制媒介和储存宿主。

https://cdn.ncbi.nlm.nih.gov/pmc/blobs/4881/8714901/1cf0a44caf03/fcimb-11-764142-g001.jpg

文献AI研究员

20分钟写一篇综述,助力文献阅读效率提升50倍。

立即体验

用中文搜PubMed

大模型驱动的PubMed中文搜索引擎

马上搜索

文档翻译

学术文献翻译模型,支持多种主流文档格式。

立即体验