Suppr超能文献

采用宏基因组下一代测序技术辅助诊断合并肺结核的钩端螺旋体病:病例报告。

The diagnosis of leptospirosis complicated by pulmonary tuberculosis complemented by metagenomic next-generation sequencing: A case report.

机构信息

Department of Infectious Disease, Wenzhou Central Hospital, The Dingli Clinical College of Wenzhou Medical University, Wenzhou, China.

Institute of Innovative Applications, MatriDx Biotechnology Co., Ltd, Hangzhou, China.

出版信息

Front Cell Infect Microbiol. 2022 Oct 4;12:922996. doi: 10.3389/fcimb.2022.922996. eCollection 2022.

Abstract

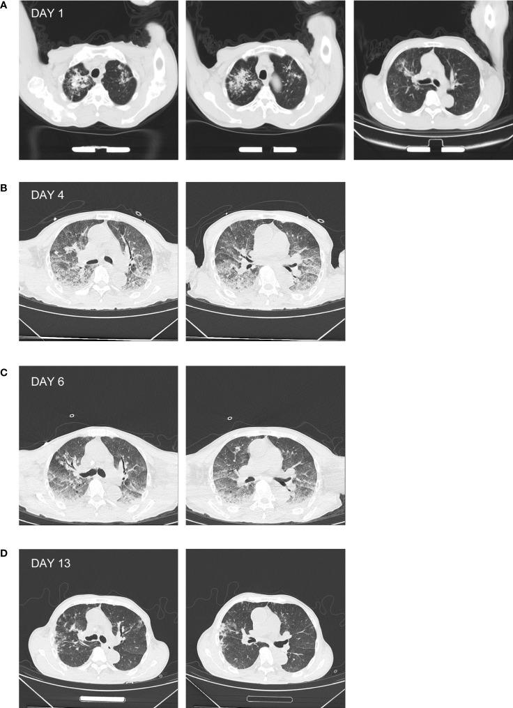
Leptospirosis is a zoonotic infection caused by the pathogenic . Leptospirosis is transmitted mainly through contact with contaminated rivers, lakes, or animals carrying . Human leptospirosis has a wide range of non-specific clinical manifestations ranging from fever, hypotension, and myalgia to multi-organ dysfunction, which severely hampers the timely clinical diagnosis and treatment of leptospirosis. Therefore, there is an urgent clinical need for an efficient strategy/method that can be used for the accurate diagnosis of leptospirosis, especially in critically ill patients. Here, we report a case of a 75-year-old male patient with clinical presentation of fever, cough, and diarrhea. Initial laboratory tests and a computed tomography (CT) scan of the chest suggested only tuberculosis. The patient was finally diagnosed with pulmonary tuberculosis (PTB) combined with leptospirosis by sputum Xpert MTB RIF, epidemiological investigations, and delayed serological testing. Furthermore, through metagenomic next-generation sequencing (mNGS) of clinical samples of cerebrospinal fluid (CSF), urine, plasma and sputum, the causative pathogens were identified as complex and spp. With specific treatment for both leptospirosis and tuberculosis, and associated supportive care (e.g., hemodialysis), the patient showed a good prognosis. This case report suggests that mNGS can generate a useful complement to conventional pathogenic diagnostic methods through more detailed etiological screening (i.e., at the level of species or species complex).

摘要

钩端螺旋体病是一种由致病性.引起的人畜共患病。钩端螺旋体病主要通过接触受污染的河流、湖泊或携带.的动物传播。人类钩端螺旋体病的临床表现广泛,从发热、低血压和肌痛到多器官功能障碍不等,严重阻碍了钩端螺旋体病的及时临床诊断和治疗。因此,迫切需要一种有效的策略/方法来准确诊断钩端螺旋体病,尤其是在重症患者中。在这里,我们报告了一例 75 岁男性患者,临床表现为发热、咳嗽和腹泻。最初的实验室检查和胸部计算机断层扫描(CT)提示仅为结核病。通过痰 Xpert MTB RIF、流行病学调查和延迟血清学检测,该患者最终被诊断为肺结核(PTB)合并钩端螺旋体病。此外,通过对脑脊液(CSF)、尿液、血浆和痰液的临床样本进行宏基因组下一代测序(mNGS),确定了病原体为 复合种和 spp。通过对钩端螺旋体病和结核病进行特异性治疗,并给予相关支持性治疗(如血液透析),该患者预后良好。本病例报告表明,mNGS 可以通过更详细的病因学筛查(即种或种复合体水平)为常规病原诊断方法提供有用的补充。

https://cdn.ncbi.nlm.nih.gov/pmc/blobs/3408/9577070/55b719aece81/fcimb-12-922996-g001.jpg

文献AI研究员

20分钟写一篇综述,助力文献阅读效率提升50倍。

立即体验

用中文搜PubMed

大模型驱动的PubMed中文搜索引擎

马上搜索

文档翻译

学术文献翻译模型,支持多种主流文档格式。

立即体验