Suppr超能文献

α-突触核蛋白的内源性水平调节细胞培养中的种子和聚集。

Endogenous Levels of Alpha-Synuclein Modulate Seeding and Aggregation in Cultured Cells.

机构信息

Department of Experimental Neurodegeneration, Center for Biostructural Imaging of Neurodegeneration, University Medical Center Goettingen, 37073, Goettingen, Germany.

Laboratory of Neuroanatomy and Experimental Neurology, Department. of Morphological Sciences, CIMUS, IDIS, University of Santiago de Compostela, Santiago de Compostela, Spain.

出版信息

Mol Neurobiol. 2022 Feb;59(2):1273-1284. doi: 10.1007/s12035-021-02713-2. Epub 2022 Jan 4.

Abstract

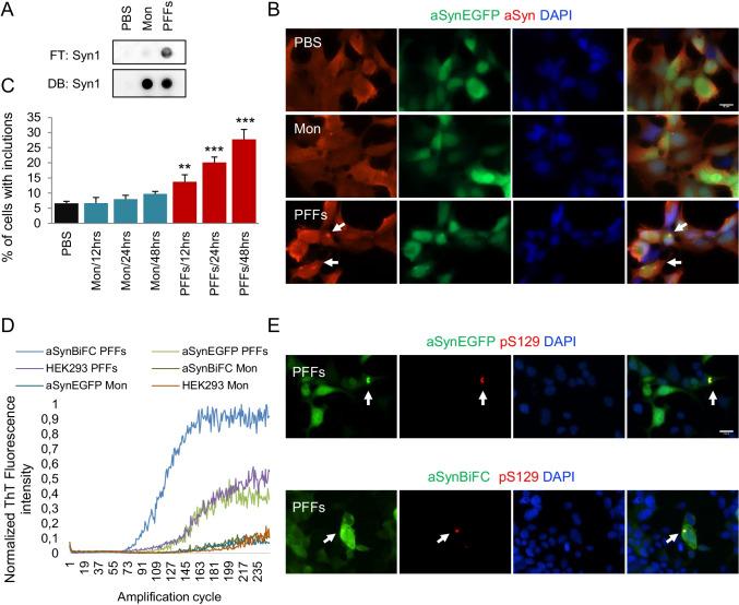
Parkinson's disease is a progressive neurodegenerative disorder characterized by the accumulation of misfolded alpha-synuclein in intraneuronal inclusions known as Lewy bodies and Lewy neurites. Multiple studies strongly implicate the levels of alpha-synuclein as a major risk factor for the onset and progression of Parkinson's disease. Alpha-synuclein pathology spreads progressively throughout interconnected brain regions but the precise molecular mechanisms underlying the seeding of alpha-synuclein aggregation are still unclear. Here, using stable cell lines expressing alpha-synuclein, we examined the correlation between endogenous alpha-synuclein levels and the seeding propensity by exogenous alpha-synuclein preformed fibrils. We applied biochemical approaches and imaging methods in stable cell lines expressing alpha-synuclein and in primary neurons to determine the impact of alpha-synuclein levels on seeding and aggregation. Our results indicate that the levels of alpha-synuclein define the pattern and severity of aggregation and the extent of p-alpha-synuclein deposition, likely explaining the selective vulnerability of different cell types in synucleinopathies. The elucidation of the cellular processes involved in the pathological aggregation of alpha-synuclein will enable the identification of novel targets and the development of therapeutic strategies for Parkinson's disease and other synucleinopathies.

摘要

帕金森病是一种进行性神经退行性疾病,其特征是错误折叠的α-突触核蛋白在称为路易体和路易神经突的神经元内包涵体中积累。多项研究强烈表明α-突触核蛋白水平是帕金森病发病和进展的主要危险因素。α-突触核蛋白病理学在相互连接的大脑区域中逐渐扩散,但α-突触核蛋白聚集的种子形成的确切分子机制仍不清楚。在这里,我们使用表达α-突触核蛋白的稳定细胞系,研究了内源性α-突触核蛋白水平与外源性α-突触核蛋白预形成纤维的种子形成倾向之间的相关性。我们在表达α-突触核蛋白的稳定细胞系和原代神经元中应用生化方法和成像方法,以确定α-突触核蛋白水平对种子形成和聚集的影响。我们的结果表明,α-突触核蛋白的水平决定了聚集的模式和严重程度以及 p-α-突触核蛋白沉积的程度,这可能解释了不同细胞类型在突触核蛋白病中的选择性易感性。阐明涉及α-突触核蛋白病理性聚集的细胞过程将能够确定新的靶点,并为帕金森病和其他突触核蛋白病开发治疗策略。

https://cdn.ncbi.nlm.nih.gov/pmc/blobs/60b0/8857012/26b5b2b640aa/12035_2021_2713_Fig1_HTML.jpg

文献AI研究员

20分钟写一篇综述,助力文献阅读效率提升50倍。

立即体验

用中文搜PubMed

大模型驱动的PubMed中文搜索引擎

马上搜索

文档翻译

学术文献翻译模型,支持多种主流文档格式。

立即体验