Suppr超能文献

比较生长速度慢和快的肉鸡之间的肌肉纤维特征和糖酵解能力。

Comparison of muscle fiber characteristics and glycolytic potential between slow- and fast-growing broilers.

机构信息

Jiangsu Key Laboratory for Animal Genetic, Breeding and Molecular Design, College of Animal Science and Technology, Yangzhou University, Yangzhou, Jiangsu 225009, China.

Jiangsu Key Laboratory for Animal Genetic, Breeding and Molecular Design, College of Animal Science and Technology, Yangzhou University, Yangzhou, Jiangsu 225009, China; Joint International Research Laboratory of Agriculture and Agri-Product Safety, the Ministry of Education of China, Yangzhou University, Yangzhou, Jiangsu 225009, China.

出版信息

Poult Sci. 2022 Mar;101(3):101649. doi: 10.1016/j.psj.2021.101649. Epub 2021 Dec 8.

Abstract

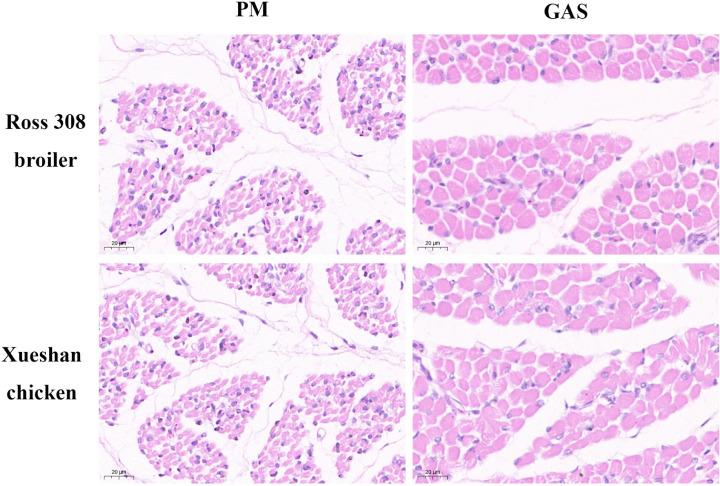
Muscle fiber characteristics had beneficial effects on meat masses and meat quality in broilers. Its number is determined at birth and directly affects the growth and development of muscle fibers after birth. However, whether the muscle fiber characteristics in different types of chickens are different at birth has not been fully documented. In this study, the 1-day-old Xueshan chicken (slow-growing broiler) and Ross 308 broiler (fast-growing broiler) were selected, respectively, and the fiber type distribution, fiber density, and fiber size in the breast (pectoralis major, PM) and leg (gastrocnemius, GAS) muscles were detected. The results showed that the PM only made up of type IIB fibers regardless of breed, and that few type I fibers (approximately 17.55%) was identified in GAS of Ross 308 broiler. The PM muscles had significantly higher fiber density, lower cross-sectional area and diameter than those of GAS muscles in both 2 breeds (P < 0.05). The highest fiber density was observed in PM of Xueshan chicken. Furthermore, the muscle fiber characteristics were partly controlled by glycolytic potential (GP), and the GP was also invesgated. The GP in PM and GAS of Ross 308 broiler were higher than in Xueshan chicken (P < 0.05). Taken together, 1-day-old Xueshan chicken exhibited higher fiber density and lower GP compared to 1-day-old Ross 308 broiler, especially in PM, which could not only reveal the differences of muscle characteristics among different types of chickens, but also explore a new way to improve the masses and quality of poultry meat.

摘要

肌肉纤维特性对肉鸡的肉质和肉质量有有益的影响。它的数量在出生时就已经确定,并直接影响出生后肌肉纤维的生长和发育。然而,不同类型的鸡在出生时的肌肉纤维特性是否不同尚未得到充分证实。在这项研究中,选择了 1 日龄的雪山鸡(生长缓慢的肉鸡)和罗斯 308 肉鸡(生长迅速的肉鸡),分别检测了胸肌(胸大肌,PM)和腿肌(腓肠肌,GAS)中的纤维类型分布、纤维密度和纤维大小。结果表明,PM 仅由 IIB 型纤维组成,而 Ross 308 肉鸡的 GAS 中只有少量的 I 型纤维(约 17.55%)。PM 肌肉的纤维密度显著高于 2 个品种的 GAS 肌肉,横截面积和直径均显著小于 GAS 肌肉(P<0.05)。雪山鸡的 PM 肌肉纤维密度最高。此外,肌肉纤维特性部分受糖酵解潜力(GP)的控制,同时也对 GP 进行了研究。罗斯 308 肉鸡的 PM 和 GAS 中的 GP 均高于雪山鸡(P<0.05)。综上所述,1 日龄的雪山鸡与 1 日龄的罗斯 308 肉鸡相比,具有更高的纤维密度和更低的 GP,尤其是在 PM 中,这不仅可以揭示不同类型鸡之间的肌肉特性差异,还可以探索改善家禽肉质量和产量的新方法。

https://cdn.ncbi.nlm.nih.gov/pmc/blobs/c558/8743216/7a6cc4726beb/gr1.jpg

文献AI研究员

20分钟写一篇综述,助力文献阅读效率提升50倍。

立即体验

用中文搜PubMed

大模型驱动的PubMed中文搜索引擎

马上搜索

文档翻译

学术文献翻译模型,支持多种主流文档格式。

立即体验