Suppr超能文献

ROS/PI3K/Akt 和 Wnt/β-catenin 信号通路激活 HIF-1α 诱导的代谢重编程,赋予结直肠癌细胞对 5-氟尿嘧啶的耐药性。

ROS/PI3K/Akt and Wnt/β-catenin signalings activate HIF-1α-induced metabolic reprogramming to impart 5-fluorouracil resistance in colorectal cancer.

机构信息

Department of General Surgery, Shandong Qianfoshan Hospital, Cheeloo College of Medicine, Shandong University, Jinan, 250014, Shandong Province, China.

Department of Otolaryngology-Head and Neck Surgery, Shandong Provincial ENT Hospital, Cheeloo College of Medicine, Shandong University, Jinan, Shandong Province, China.

出版信息

J Exp Clin Cancer Res. 2022 Jan 8;41(1):15. doi: 10.1186/s13046-021-02229-6.

Abstract

BACKGROUND

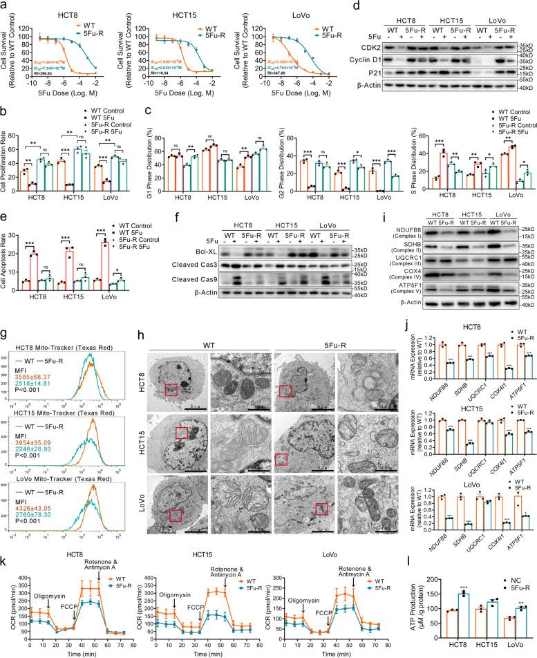
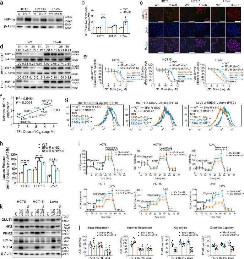
Acquired resistance of 5-fluorouracil (5-FU) remains a clinical challenge in colorectal cancer (CRC), and efforts to develop targeted agents to reduce resistance have not yielded success. Metabolic reprogramming is a key cancer hallmark and confers several tumor phenotypes including chemoresistance. Glucose metabolic reprogramming events of 5-FU resistance in CRC has not been evaluated, and whether abnormal glucose metabolism could impart 5-FU resistance in CRC is also poorly defined.

METHODS

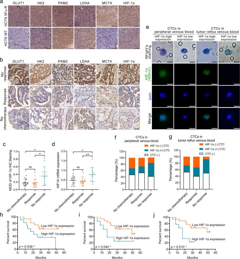
Three separate acquired 5-FU resistance CRC cell line models were generated, and glucose metabolism was assessed by measuring glucose and lactate utilization, RNA and protein expressions of glucose metabolism-related enzymes and changes of intermediate metabolites of glucose metabolite pool. The protein levels of hypoxia inducible factor 1α (HIF-1α) in primary tumors and circulating tumor cells of CRC patients were detected by immunohistochemistry and immunofluorescence. Stable HIF1A knockdown in cell models was established with a lentiviral system. The influence of both HIF1A gene knockdown and pharmacological inhibition on 5-FU resistance in CRC was evaluated in cell models in vivo and in vitro.

RESULTS

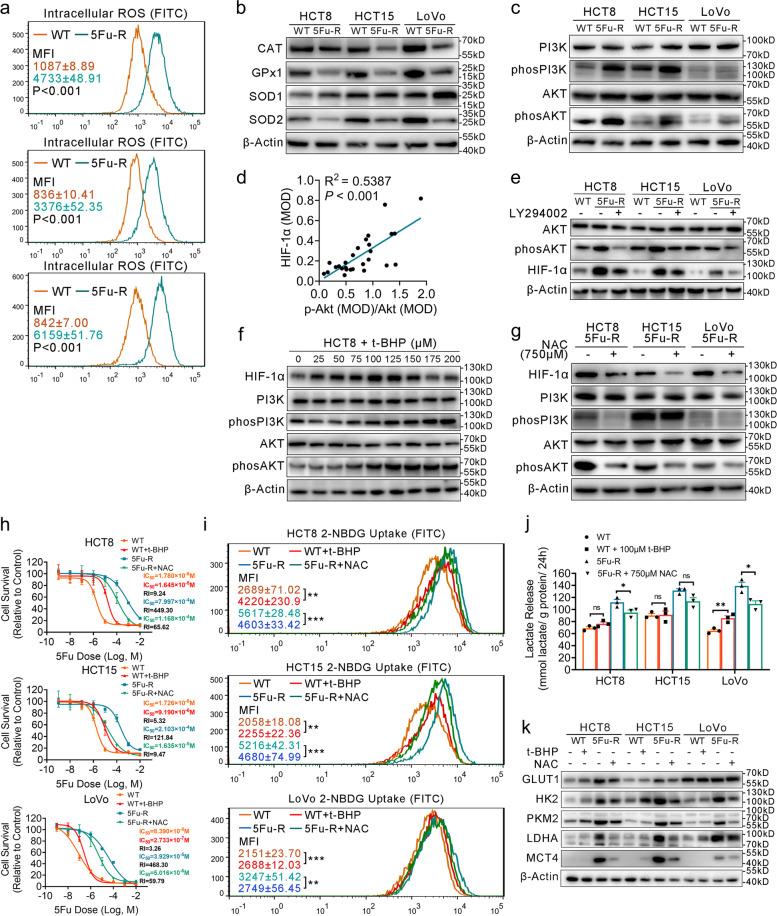
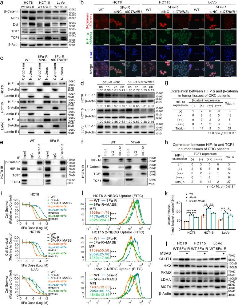
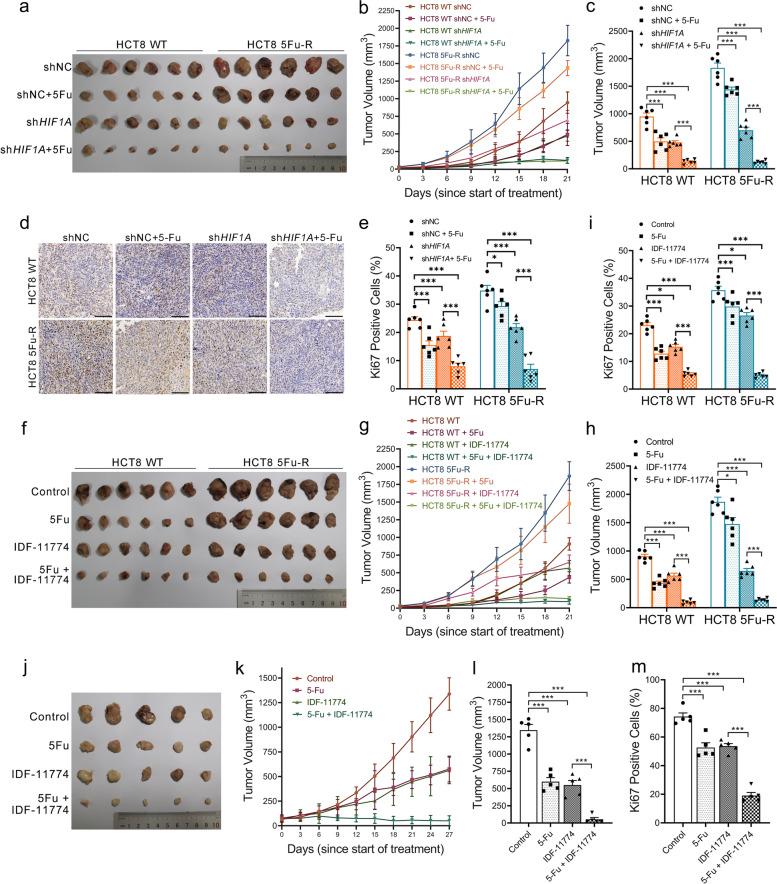
The abnormality of glucose metabolism in 5-FU-resistant CRC were described in detail. The enhanced glycolysis and pentose phosphate pathway in CRC were associated with increased HIF-1α expression. HIF-1α-induced glucose metabolic reprogramming imparted 5-FU resistance in CRC. HIF-1α showed enhanced expression in 5-FU-resistant CRC cell lines and clinical specimens, and increased HIF-1α levels were associated with failure of fluorouracil analog-based chemotherapy in CRC patients and poor survival. Upregulation of HIF-1α in 5-FU-resistant CRC occurred through non-oxygen-dependent mechanisms of reactive oxygen species-mediated activation of PI3K/Akt signaling and aberrant activation of β-catenin in the nucleus. Both HIF-1α gene knock-down and pharmacological inhibition restored the sensitivity of CRC to 5-FU.

CONCLUSIONS

HIF-1α is a potential biomarker for 5-FU-resistant CRC, and targeting HIF-1a in combination with 5-FU may represent an effective therapeutic strategy in 5-FU-resistant CRC.

摘要

背景

5-氟尿嘧啶(5-FU)获得性耐药仍然是结直肠癌(CRC)的临床挑战,开发靶向药物以降低耐药性的努力尚未取得成功。代谢重编程是癌症的一个关键标志,赋予了包括化疗耐药性在内的几种肿瘤表型。CRC 中 5-FU 耐药的葡萄糖代谢重编程事件尚未得到评估,异常葡萄糖代谢是否能赋予 CRC 对 5-FU 的耐药性也尚未明确。

方法

生成了三个独立的获得性 5-FU 耐药 CRC 细胞系模型,并通过测量葡萄糖和乳酸利用、葡萄糖代谢相关酶的 RNA 和蛋白质表达以及葡萄糖代谢物池中间代谢物的变化来评估葡萄糖代谢。采用免疫组化和免疫荧光法检测 CRC 患者原发肿瘤和循环肿瘤细胞中缺氧诱导因子 1α(HIF-1α)的蛋白水平。利用慢病毒系统建立了稳定的 HIF1A 敲低细胞模型。在细胞模型中,通过体内和体外实验评估了 HIF1A 基因敲低和药理抑制对 CRC 5-FU 耐药性的影响。

结果

详细描述了 5-FU 耐药 CRC 中葡萄糖代谢的异常。CRC 中增强的糖酵解和磷酸戊糖途径与 HIF-1α表达增加有关。HIF-1α诱导的葡萄糖代谢重编程赋予 CRC 对 5-FU 的耐药性。HIF-1α在 5-FU 耐药 CRC 细胞系和临床标本中表达增强,HIF-1α水平升高与 CRC 患者氟尿嘧啶类似物化疗失败和生存不良有关。5-FU 耐药 CRC 中 HIF-1α的上调是通过活性氧介导的 PI3K/Akt 信号转导的非氧依赖性机制和核内β-catenin 的异常激活发生的。HIF-1α 基因敲低和药理抑制均可恢复 CRC 对 5-FU 的敏感性。

结论

HIF-1α 是 5-FU 耐药 CRC 的潜在生物标志物,针对 HIF-1a 与 5-FU 联合治疗可能代表 5-FU 耐药 CRC 的有效治疗策略。

https://cdn.ncbi.nlm.nih.gov/pmc/blobs/7d06/8742403/ad6ef385b42a/13046_2021_2229_Fig1_HTML.jpg

文献AI研究员

20分钟写一篇综述,助力文献阅读效率提升50倍。

立即体验

用中文搜PubMed

大模型驱动的PubMed中文搜索引擎

马上搜索

文档翻译

学术文献翻译模型,支持多种主流文档格式。

立即体验