Suppr超能文献

通过心脏磁共振成像和心内膜心肌活检评估新型冠状病毒肺炎与经典心肌炎相关心肌损伤

COVID-19 vs. Classical Myocarditis Associated Myocardial Injury Evaluated by Cardiac Magnetic Resonance and Endomyocardial Biopsy.

作者信息

Tanacli Radu, Doeblin Patrick, Götze Collin, Zieschang Victoria, Faragli Alessandro, Stehning Christian, Korosoglou Grigorios, Erley Jennifer, Weiss Jakob, Berger Alexander, Pröpper Felix, Steinbeis Fridolin, Kühne Titus, Seidel Franziska, Geisel Dominik, Cannon Walter-Rittel Thula, Stawowy Philipp, Witzenrath Martin, Klingel Karin, Van Linthout Sophie, Pieske Burkert, Tschöpe Carsten, Kelle Sebastian

机构信息

Department of Cardiology, German Heart Centre Berlin, Berlin, Germany.

Department of Cardiology, Charité University Medicine Berlin, Charité-Universitätsmedizin Berlin, Berlin, Germany.

出版信息

Front Cardiovasc Med. 2021 Dec 24;8:737257. doi: 10.3389/fcvm.2021.737257. eCollection 2021.

Abstract

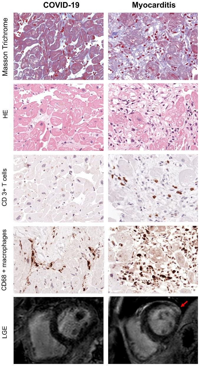
Despite the ongoing global pandemic, the impact of COVID-19 on cardiac structure and function is still not completely understood. Myocarditis is a rare but potentially serious complication of other viral infections with variable recovery, and is, in some cases, associated with long-term cardiac remodeling and functional impairment. To assess myocardial injury in patients who recently recovered from an acute SARS-CoV-2 infection with advanced cardiac magnetic resonance imaging (CMR) and endomyocardial biopsy (EMB). In total, 32 patients with persistent cardiac symptoms after a COVID-19 infection, 22 patients with acute classic myocarditis not related to COVID-19, and 16 healthy volunteers were included in this study and underwent a comprehensive baseline CMR scan. Of these, 10 patients post COVID-19 and 13 with non-COVID-19 myocarditis underwent a follow-up scan. In 10 of the post-COVID-19 and 15 of the non-COVID-19 patients with myocarditis endomyocardial biopsy (EMB) with histological, immunohistological, and molecular analysis was performed. In total, 10 (31%) patients with COVID-19 showed evidence of myocardial injury, eight (25%) presented with myocardial oedema, eight (25%) exhibited global or regional systolic left ventricular (LV) dysfunction, and nine (28%) exhibited impaired right ventricular (RV) function. However, only three (9%) of COVID-19 patients fulfilled updated CMR-Lake Louise criteria (LLC) for acute myocarditis. Regarding EMB, none of the COVID-19 patients but 87% of the non-COVID-19 patients with myocarditis presented histological findings in keeping with acute or chronic inflammation. COVID-19 patients with severe disease on the WHO scale presented with reduced biventricular longitudinal function, increased RV mass, and longer native T1 times compared with those with only mild or moderate disease. In our cohort, CMR and EMB findings revealed that SARS-CoV-2 infection was associated with relatively mild but variable cardiac involvement. More symptomatic COVID-19 patients and those with higher clinical care demands were more likely to exhibit chronic inflammation and impaired cardiac function compared to patients with milder forms of the disease.

摘要

尽管全球疫情仍在持续,但新冠病毒对心脏结构和功能的影响仍未完全明确。心肌炎是其他病毒感染的一种罕见但可能严重的并发症,恢复情况各异,在某些情况下,与长期心脏重塑和功能损害有关。本研究旨在通过先进的心脏磁共振成像(CMR)和心内膜心肌活检(EMB)评估近期从急性SARS-CoV-2感染中康复的患者的心肌损伤情况。本研究共纳入32例新冠病毒感染后仍有持续性心脏症状的患者、22例与新冠病毒无关的急性典型心肌炎患者以及16名健康志愿者,并对其进行了全面的基线CMR扫描。其中,10例新冠病毒感染后的患者和13例非新冠病毒相关心肌炎患者接受了随访扫描。在10例新冠病毒感染后的患者和15例非新冠病毒相关心肌炎患者中进行了心内膜心肌活检(EMB),并进行了组织学、免疫组织学和分子分析。总体而言,10例(31%)新冠病毒感染患者有心肌损伤证据,8例(25%)出现心肌水肿,8例(25%)表现为左心室(LV)整体或局部收缩功能障碍,9例(28%)表现为右心室(RV)功能受损。然而,只有3例(9%)新冠病毒感染患者符合急性心肌炎的更新版CMR-路易斯湖标准(LLC)。关于心内膜心肌活检,新冠病毒感染患者中无一例出现符合急性或慢性炎症的组织学表现,而心肌炎患者中有87%的非新冠病毒感染患者出现了相关表现。与仅患有轻度或中度疾病的患者相比,世界卫生组织(WHO)标准下患有严重疾病的新冠病毒感染患者双心室纵向功能降低、右心室质量增加且固有T1时间延长。在我们的队列中,CMR和EMB结果显示,SARS-CoV-2感染与相对较轻但程度不一的心脏受累有关。与病情较轻的患者相比,症状更明显的新冠病毒感染患者以及临床护理需求更高的患者更有可能出现慢性炎症和心脏功能受损。

https://cdn.ncbi.nlm.nih.gov/pmc/blobs/1f02/8739473/5df4cae0c683/fcvm-08-737257-g0001.jpg

文献AI研究员

20分钟写一篇综述,助力文献阅读效率提升50倍。

立即体验

用中文搜PubMed

大模型驱动的PubMed中文搜索引擎

马上搜索

文档翻译

学术文献翻译模型,支持多种主流文档格式。

立即体验