Suppr超能文献

根治性或非根治性前列腺切除术:手术切缘重要吗?

Radical or Not-So-Radical Prostatectomy: Do Surgical Margins Matter?

作者信息

Grypari Ioanna Maria, Zolota Vasiliki, Tzelepi Vasiliki

机构信息

Department of Pathology, School of Medicine, University of Patras, 26504 Patras, Greece.

出版信息

Cancers (Basel). 2021 Dec 21;14(1):13. doi: 10.3390/cancers14010013.

Abstract

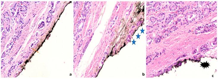
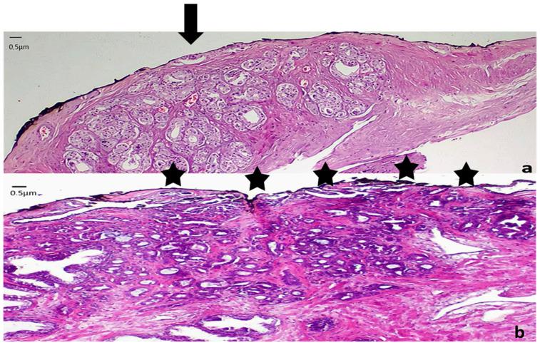
Prostate cancer is the second most common malignancy in men, and prostatectomy is the treatment of choice for most patients with at least low risk of progression. The presence of positive margins in the radical prostatectomy specimen is considered an adverse pathologic feature, and may prompt additional therapeutic intervention in the patients. The absence of a distinct capsule around the prostate and intraoperative manipulations that aim to minimize postoperative adverse effects, complicate its wide removal. Proper handling of the specimen during the gross processing is essential for accurate determination of the status of margins or resection. Positive margins, defined as the presence of neoplastic glands in the highlighted-with-ink margin of resection, range from 6-38%. The surgical technique, surgeon's expertise and tumor (i.e., grade and stage) and patients' (i.e., BMI) characteristics affect the rate of margin positivity. Extensive or multifocal and nonanterior/nonapical positive margins are linked with higher recurrence rates, especially in organ-confined disease, underscoring the need for treating these patients more aggressively. In summary, detailed description of the status of the margins should be performed in every pathology report to determine patients' prognosis and the most appropriate therapeutic plan.

摘要

前列腺癌是男性中第二常见的恶性肿瘤,对于大多数进展风险至少较低的患者,前列腺切除术是首选治疗方法。根治性前列腺切除标本中切缘阳性被认为是一种不良病理特征,可能促使对患者进行额外的治疗干预。前列腺周围缺乏明显的包膜以及旨在尽量减少术后不良反应的术中操作,使其广泛切除变得复杂。在大体标本处理过程中正确处理标本对于准确确定切缘或切除状态至关重要。切缘阳性定义为在墨水标记的切除切缘中存在肿瘤腺体,发生率在6%至38%之间。手术技术、外科医生的专业技能以及肿瘤(即分级和分期)和患者(即体重指数)的特征会影响切缘阳性率。广泛或多灶性以及非前部/非尖部切缘阳性与较高的复发率相关,尤其是在器官局限性疾病中,这突出表明需要更积极地治疗这些患者。总之,每份病理报告都应详细描述切缘状态,以确定患者的预后和最合适的治疗方案。

https://cdn.ncbi.nlm.nih.gov/pmc/blobs/1c97/8749855/30116dcb8c7f/cancers-14-00013-g001.jpg

文献AI研究员

20分钟写一篇综述,助力文献阅读效率提升50倍。

立即体验

用中文搜PubMed

大模型驱动的PubMed中文搜索引擎

马上搜索

文档翻译

学术文献翻译模型,支持多种主流文档格式。

立即体验