Suppr超能文献

新型冠状病毒肺炎的实验模型。

Experimental Models of COVID-19.

机构信息

Department of Obstetrics, Gynecology and Reproductive Sciences, University of Miami Miller School of Medicine, Miami, FL, United States.

St. George's University Graduate Medical Education Program, University Centre Grenada, West Indies, Grenada.

出版信息

Front Cell Infect Microbiol. 2022 Jan 5;11:792584. doi: 10.3389/fcimb.2021.792584. eCollection 2021.

Abstract

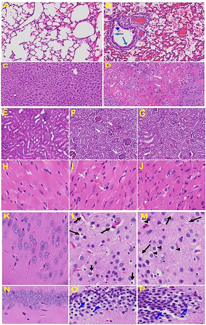
COVID-19 is the most consequential pandemic of the 21 century. Since the earliest stage of the 2019-2020 epidemic, animal models have been useful in understanding the etiopathogenesis of SARS-CoV-2 infection and rapid development of vaccines/drugs to prevent, treat or eradicate SARS-CoV-2 infection. Early SARS-CoV-1 research using immortalized cell lines have aided in understanding different cells and receptors needed for SARS-CoV-2 infection and, due to their ability to be easily manipulated, continue to broaden our understanding of COVID-19 disease in models. The scientific community determined animal models as the most useful models which could demonstrate viral infection, replication, transmission, and spectrum of illness as seen in human populations. Until now, there have not been well-described animal models of SARS-CoV-2 infection although transgenic mouse models (i.e. mice with humanized ACE2 receptors with humanized receptors) have been proposed. Additionally, there are only limited facilities (Biosafety level 3 laboratories) available to contribute research to aid in eventually exterminating SARS-CoV-2 infection around the world. This review summarizes the most successful animal models of SARS-CoV-2 infection including studies in Non-Human Primates (NHPs) which were found to be susceptible to infection and transmitted the virus similarly to humans (e.g., Rhesus macaques, Cynomolgus, and African Green Monkeys), and animal models that do not require Biosafety level 3 laboratories (e.g., Mouse Hepatitis Virus models of COVID-19, Ferret model, Syrian Hamster model). Balancing safety, mimicking human COVID-19 and robustness of the animal model, the Murine Hepatitis Virus-1 Murine model currently represents the most optimal model for SARS-CoV-2/COVID19 research. Exploring future animal models will aid researchers/scientists in discovering the mechanisms of SARS-CoV-2 infection and in identifying therapies to prevent or treat COVID-19.

摘要

COVID-19 是 21 世纪最具影响力的大流行病。自 2019-2020 年疫情的早期阶段以来,动物模型在了解 SARS-CoV-2 感染的病因发病机制以及快速开发疫苗/药物以预防、治疗或消除 SARS-CoV-2 感染方面发挥了重要作用。早期使用永生化细胞系进行的 SARS-CoV-1 研究有助于了解 SARS-CoV-2 感染所需的不同细胞和受体,并且由于其易于操作的特性,这些模型继续拓宽了我们对 COVID-19 疾病的认识。科学界认为动物模型是最有用的模型,可以证明病毒感染、复制、传播以及在人群中观察到的疾病谱。到目前为止,虽然已经提出了转基因小鼠模型(即具有人源化 ACE2 受体的小鼠),但尚未很好地描述 SARS-CoV-2 感染的动物模型。此外,只有有限的设施(生物安全 3 级实验室)可用于开展有助于最终消灭全球 SARS-CoV-2 感染的研究。本文综述了 SARS-CoV-2 感染的最成功的动物模型,包括在非人类灵长类动物(NHPs)中的研究,这些动物易感染并类似地将病毒传播给人类(例如恒河猴、食蟹猴和绿长尾猴),以及不需要生物安全 3 级实验室的动物模型(例如鼠肝炎病毒 COVID-19 模型、雪貂模型、叙利亚仓鼠模型)。平衡安全性、模拟人类 COVID-19 和动物模型的稳健性,鼠肝炎病毒-1 鼠模型目前是 SARS-CoV-2/COVID19 研究中最理想的模型。探索未来的动物模型将有助于研究人员/科学家发现 SARS-CoV-2 感染的机制,并确定预防或治疗 COVID-19 的疗法。

https://cdn.ncbi.nlm.nih.gov/pmc/blobs/5704/8791197/36e6ebf74641/fcimb-11-792584-g001.jpg

文献AI研究员

20分钟写一篇综述,助力文献阅读效率提升50倍。

立即体验

用中文搜PubMed

大模型驱动的PubMed中文搜索引擎

马上搜索

文档翻译

学术文献翻译模型,支持多种主流文档格式。

立即体验