Suppr超能文献

受体相互作用蛋白激酶 2(RIPK2)稳定 c-Myc 并成为前列腺癌转移的治疗靶点。

Receptor-interacting protein kinase 2 (RIPK2) stabilizes c-Myc and is a therapeutic target in prostate cancer metastasis.

机构信息

Department of Surgery, Cedars-Sinai Medical Center, Los Angeles, CA, USA.

InterVenn Biosciences, South San Francisco, CA, USA.

出版信息

Nat Commun. 2022 Feb 3;13(1):669. doi: 10.1038/s41467-022-28340-6.

Abstract

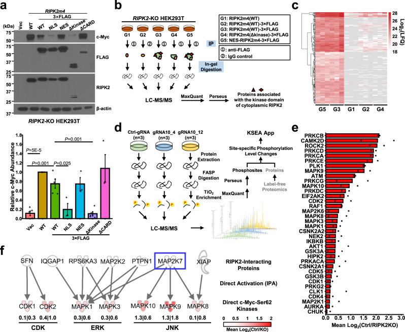
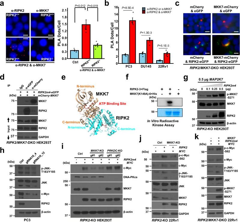
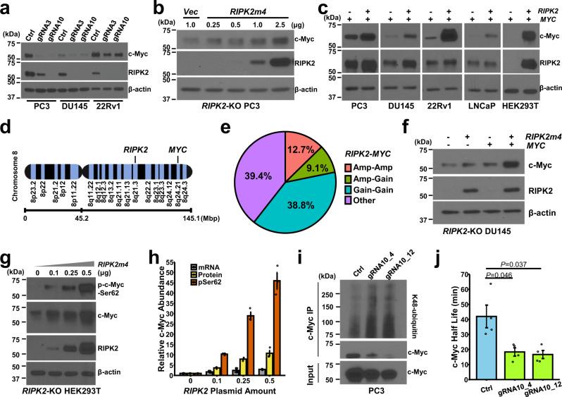
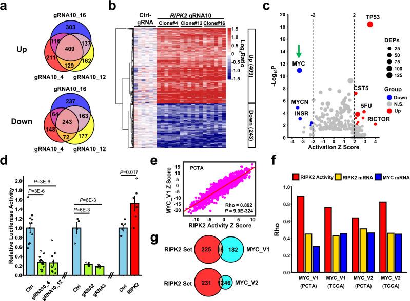
Despite progress in prostate cancer (PC) therapeutics, distant metastasis remains a major cause of morbidity and mortality from PC. Thus, there is growing recognition that preventing or delaying PC metastasis holds great potential for substantially improving patient outcomes. Here we show receptor-interacting protein kinase 2 (RIPK2) is a clinically actionable target for inhibiting PC metastasis. RIPK2 is amplified/gained in ~65% of lethal metastatic castration-resistant PC. Its overexpression is associated with disease progression and poor prognosis, and its genetic knockout substantially reduces PC metastasis. Multi-level proteomics analyses reveal that RIPK2 strongly regulates the stability and activity of c-Myc (a driver of metastasis), largely via binding to and activating mitogen-activated protein kinase kinase 7 (MKK7), which we identify as a direct c-Myc-S62 kinase. RIPK2 inhibition by preclinical and clinical drugs inactivates the noncanonical RIPK2/MKK7/c-Myc pathway and effectively impairs PC metastatic outgrowth. These results support targeting RIPK2 signaling to extend metastasis-free and overall survival.

摘要

尽管在前列腺癌 (PC) 治疗方面取得了进展,但远处转移仍然是 PC 发病率和死亡率的主要原因。因此,人们越来越认识到,预防或延迟 PC 转移对于显著改善患者预后具有巨大潜力。在这里,我们表明受体相互作用蛋白激酶 2 (RIPK2) 是抑制 PC 转移的临床可操作靶点。RIPK2 在约 65%的致命转移性去势抵抗性 PC 中扩增/获得。其过表达与疾病进展和预后不良相关,其基因敲除可显著减少 PC 转移。多层次蛋白质组学分析表明,RIPK2 可通过与丝裂原活化蛋白激酶激酶 7(MKK7)结合并激活 MKK7 来强烈调节 c-Myc(转移的驱动因素)的稳定性和活性,我们将其鉴定为直接的 c-Myc-S62 激酶。临床前和临床药物对 RIPK2 的抑制作用使非典型 RIPK2/MKK7/c-Myc 通路失活,并有效地损害了 PC 转移的生长。这些结果支持针对 RIPK2 信号通路来延长无转移和总生存期。

https://cdn.ncbi.nlm.nih.gov/pmc/blobs/bc46/8813925/3733b26dd4cf/41467_2022_28340_Fig1_HTML.jpg

文献AI研究员

20分钟写一篇综述,助力文献阅读效率提升50倍。

立即体验

用中文搜PubMed

大模型驱动的PubMed中文搜索引擎

马上搜索

文档翻译

学术文献翻译模型,支持多种主流文档格式。

立即体验