Suppr超能文献

有氧运动通过改善肥胖小鼠的胰岛素抵抗和炎症来改善肺纤维化。

Aerobic Exercise Improves Pulmonary Fibrosis by Improving Insulin Resistance and Inflammation in Obese Mice.

作者信息

Wang Xishuai, Yi Xuejie, Tang Donghui

机构信息

Department of College of P.E. and Sports, Beijing Normal University, Beijing, China.

Department of Animal Genetic Resources, Institute of Animal Science, Chinese Academy of Agricultural Sciences, Beijing, China.

出版信息

Front Physiol. 2022 Jan 18;12:785117. doi: 10.3389/fphys.2021.785117. eCollection 2021.

Abstract

BACKGROUND

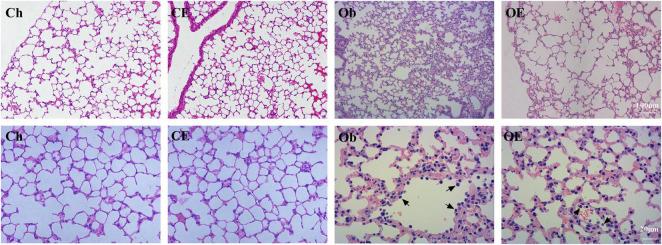
Previous studies have demonstrated that obesity is associated with pulmonary fibrosis. We attempted to identify whether regular aerobic exercise (AE) can protect against high-fat diet (HFD)-associated pulmonary fibrosis.

METHODS

Forty-eight C57BL/6 mice were randomly assigned to four groups: chow group (Ch), chow plus exercise group (CE), obesity group (Ob), and obesity plus exercise group (OE). The mice were fed either an HFD or a chow diet for 16 weeks, and low-intensity aerobic exercise (AE) was performed in the last 8 weeks. We measured the degree of pulmonary fibrosis; pulmonary inflammation; oxidative stress parameters; insulin resistance-related indicators; the number of inflammatory cells in bronchoalveolar lavage fluid (BALF); the mRNA expression levels of IL-10, IL-1β, TGF-β, TNF-α, CXCL-1, IL-17, MMP-9, MPO, NE, and sirt-1; and the BALF levels of CXCL-1, IL-17, TGF-β, IL-10, IL-1β, and TNF-α in lung tissue.

RESULTS

AE in obese mice protected against obesity-associated pulmonary fibrosis, chronic inflammation, pro-oxidative/antioxidative imbalance, and insulin resistance. AE ameliorated the HFD-induced inflammatory response and neutrophil infiltration in the lung. AE downregulated BALF levels of CXCL-1, IL-1β, TNF-α IL-17, and TGF-β but upregulated BALF levels of IL-10. AE decreased IL-1β, TGF-β, TNF-α, CXCL-1, IL-17, MMP-9, MPO, and NE mRNA expression levels but upregulated IL-10 and sirt-1 mRNA expression levels in the lung.

CONCLUSIONS

AE protects against HFD-induced pulmonary fibrosis by improving obesity-associated insulin resistance, chronic low-grade inflammation, and pro-oxidative/antioxidative imbalance. AE improved HFD-induced pulmonary fibrosis by suppressing IL-17, TGF-β, NE, and MMP-9 expression and activating IL-10 and sirt-1 expression.

摘要

背景

先前的研究表明,肥胖与肺纤维化有关。我们试图确定规律的有氧运动(AE)是否可以预防高脂饮食(HFD)相关的肺纤维化。

方法

48只C57BL/6小鼠被随机分为四组:正常饮食组(Ch)、正常饮食加运动组(CE)、肥胖组(Ob)和肥胖加运动组(OE)。小鼠分别喂食高脂饮食或正常饮食16周,并在最后8周进行低强度有氧运动(AE)。我们测量了肺纤维化程度、肺部炎症、氧化应激参数、胰岛素抵抗相关指标、支气管肺泡灌洗液(BALF)中炎症细胞数量、IL-10、IL-1β、TGF-β、TNF-α、CXCL-1、IL-17、MMP-9、MPO、NE和sirt-1的mRNA表达水平,以及肺组织中CXCL-1、IL-17、TGF-β、IL-10、IL-1β和TNF-α的BALF水平。

结果

肥胖小鼠的有氧运动可预防肥胖相关的肺纤维化、慢性炎症、促氧化/抗氧化失衡和胰岛素抵抗。有氧运动改善了高脂饮食诱导的肺部炎症反应和中性粒细胞浸润。有氧运动下调了BALF中CXCL-1、IL-1β、TNF-α、IL-17和TGF-β的水平,但上调了BALF中IL-10的水平。有氧运动降低了肺中IL-1β、TGF-β、TNF-α、CXCL-1、IL-17、MMP-9、MPO和NE的mRNA表达水平,但上调了IL-10和sirt-1的mRNA表达水平。

结论

有氧运动通过改善肥胖相关的胰岛素抵抗、慢性低度炎症和促氧化/抗氧化失衡来预防高脂饮食诱导的肺纤维化。有氧运动通过抑制IL-17、TGF-β、NE和MMP-9的表达并激活IL-10和sirt-1的表达来改善高脂饮食诱导的肺纤维化。

https://cdn.ncbi.nlm.nih.gov/pmc/blobs/6349/8804531/35566286cd5c/fphys-12-785117-g001.jpg

文献AI研究员

20分钟写一篇综述,助力文献阅读效率提升50倍。

立即体验

用中文搜PubMed

大模型驱动的PubMed中文搜索引擎

马上搜索

文档翻译

学术文献翻译模型,支持多种主流文档格式。

立即体验