Suppr超能文献

泪腺脱垂程度与甲状腺相关眼病临床特征的相关性:一项回顾性观察研究。

Correlation between extent of lacrimal gland prolapse and clinical features of thyroid-associated ophthalmopathy: a retrospective observational study.

机构信息

Department of Ophthalmology, Beijing Tongren Eye Center, Beijing Ophthalmology & Visual Sciences Key Lab, Beijing Tongren Hospital, Capital Medical University, Beijing, China.

Department of Radiology, Beijing Tongren Hospital, Capital Medical University, Beijing, China.

出版信息

BMC Ophthalmol. 2022 Feb 10;22(1):66. doi: 10.1186/s12886-022-02270-9.

Abstract

BACKGROUND

Studies on the factors related to lacrimal gland prolapse (LGP) in patients with thyroid-associated ophthalmopathy (TAO) are limited. This study aimed to assess the factors associated with LGP on magnetic resonance imaging (MRI) and its relation to TAO activity .

METHODS

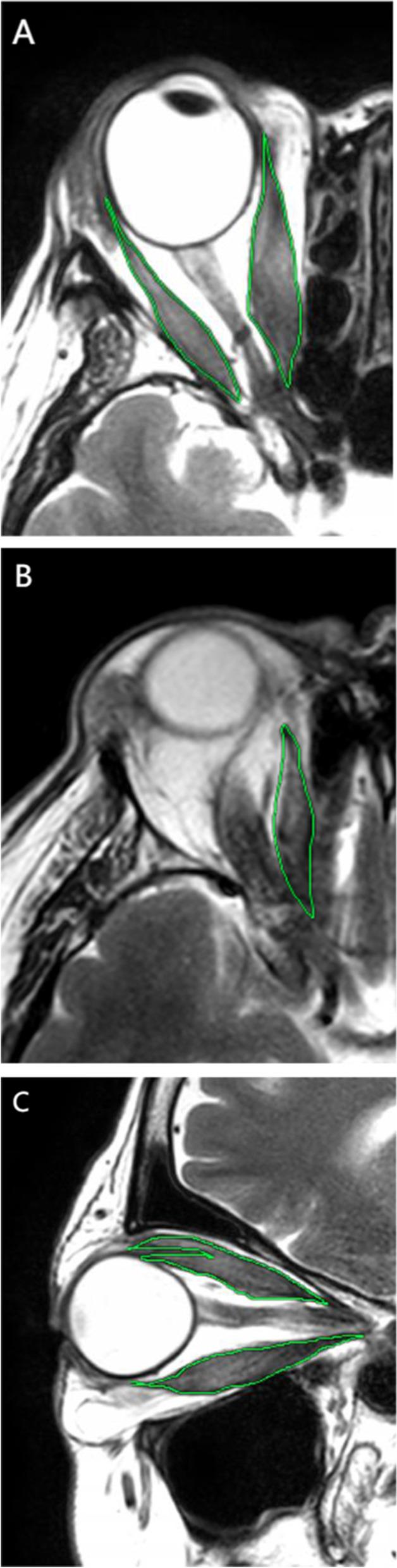
Thirty-six patients (72 orbits) with inactive TAO (43 orbits, Clinical Activity Score [CAS] < 3) or active TAO (29 orbits, CAS ≥3) were investigated retrospectively. All patients underwent ophthalmic evaluation and orbital magnetic resonance imaging. The severity of LGP and proptosis and the extraocular muscle (EOM) volume were measured. LGP and related factors were assessed by correlational and linear regression analyses. The value of LGP for discriminating the activity of TAO was evaluated by receiver-operating characteristic curve analysis.

RESULTS

The mean LGP was significantly higher in the active TAO group than in the inactive TAO group (P < 0.001). There were significant positive correlations between LGP severity and the CAS (r = 0.51, P < 0.001), proptosis (r = 0.72, P < 0.001), and EOM volume (superior rectus [r = 0.49, P < 0.001], inferior rectus [r = 0.47, P < 0.001], lateral rectus [r = 0.59, P < 0.001], medial rectus [r = 0.62, P < 0.001], superior oblique [r = 0.48, P < 0.001], and all EOMs [r = 0.59, P < 0.001]). Receiver-operating characteristic curve analysis revealed an LGP of 13.65 mm (area under the curve, 0.824; sensitivity, 79.3%; specificity, 81.4%) to be the cut-off value that differentiated active and inactive TAO.

CONCLUSIONS

LGP measurements obtained from orbital magnetic resonance images were positively correlated with CAS, proptosis and EOM volume. The extent of LGP appears to be a good indicator of disease activity in patients with TAO.

摘要

背景

关于甲状腺相关眼病(TAO)患者泪腺脱垂(LGP)相关因素的研究有限。本研究旨在评估磁共振成像(MRI)上与 LGP 相关的因素及其与 TAO 活动的关系。

方法

回顾性分析 36 例(72 只眼)甲状腺相关性眼病患者(43 只眼,临床活动评分[CAS]<3;29 只眼,CAS≥3)。所有患者均行眼部评估和眼眶磁共振成像检查。测量 LGP 严重程度和眼球突出度以及眼外肌(EOM)体积。通过相关和线性回归分析评估 LGP 及相关因素。通过受试者工作特征曲线分析评估 LGP 对 TAO 活动的鉴别价值。

结果

活动期 TAO 组的平均 LGP 显著高于非活动期 TAO 组(P<0.001)。LGP 严重程度与 CAS(r=0.51,P<0.001)、眼球突出度(r=0.72,P<0.001)和 EOM 体积(上直肌[r=0.49,P<0.001]、下直肌[r=0.47,P<0.001]、外直肌[r=0.59,P<0.001]、内直肌[r=0.62,P<0.001]、上斜肌[r=0.48,P<0.001]和所有 EOMs[r=0.59,P<0.001])呈显著正相关。受试者工作特征曲线分析显示,LGP 为 13.65mm(曲线下面积,0.824;敏感度,79.3%;特异度,81.4%)是区分活动期和非活动期 TAO 的最佳截断值。

结论

眼眶磁共振成像上测量的 LGP 与 CAS、眼球突出度和 EOM 体积呈正相关。LGP 的程度似乎是 TAO 患者疾病活动的良好指标。

https://cdn.ncbi.nlm.nih.gov/pmc/blobs/dc04/8832675/331cefe60828/12886_2022_2270_Fig1_HTML.jpg

文献AI研究员

20分钟写一篇综述,助力文献阅读效率提升50倍。

立即体验

用中文搜PubMed

大模型驱动的PubMed中文搜索引擎

马上搜索

文档翻译

学术文献翻译模型,支持多种主流文档格式。

立即体验