Suppr超能文献

长链非编码 RNASEH1-AS1 通过作为 ceRNA 调节 microRNA-516a-5p/FOXK1 并激活 Wnt/β-catenin 信号通路来加剧非小细胞肺癌的进展。

Long noncoding RNASEH1-AS1 exacerbates the progression of non-small cell lung cancer by acting as a ceRNA to regulate microRNA-516a-5p/FOXK1 and thereby activating the Wnt/β-catenin signaling pathway.

机构信息

Department of Respiratory Medicine, The Fourth Hospital of Changsha, Changsha, Hunan, China.

出版信息

Cancer Med. 2022 Apr;11(7):1589-1604. doi: 10.1002/cam4.4509. Epub 2022 Feb 15.

Abstract

BACKGROUND

Till now, no study has focused on the functions of RNASEH1 antisense RNA 1 (RNASEH1-AS1) in non-small cell lung cancer (NSCLC). Accordingly, we measured the expression of RNASEH1-AS1 in NSCLC and characterized its functions in detail. Finally, our research elucidated the mechanisms that occurred downstream of RNASEH1-AS1.

METHODS

RNASEH1-AS1 expression was examined utilizing TCGA database and qRT-PCR. Functional experiments were conducted to study the tumor-associated functions of RNASEH1-AS1. The targeting relationship among RNASEH1-AS1, microRNA-516a-5p (miR-516a-5p), and forkhead box K1 (FOXK1) was revealed utilizing RNA immunoprecipitation and luciferase reporter assays.

RESULTS

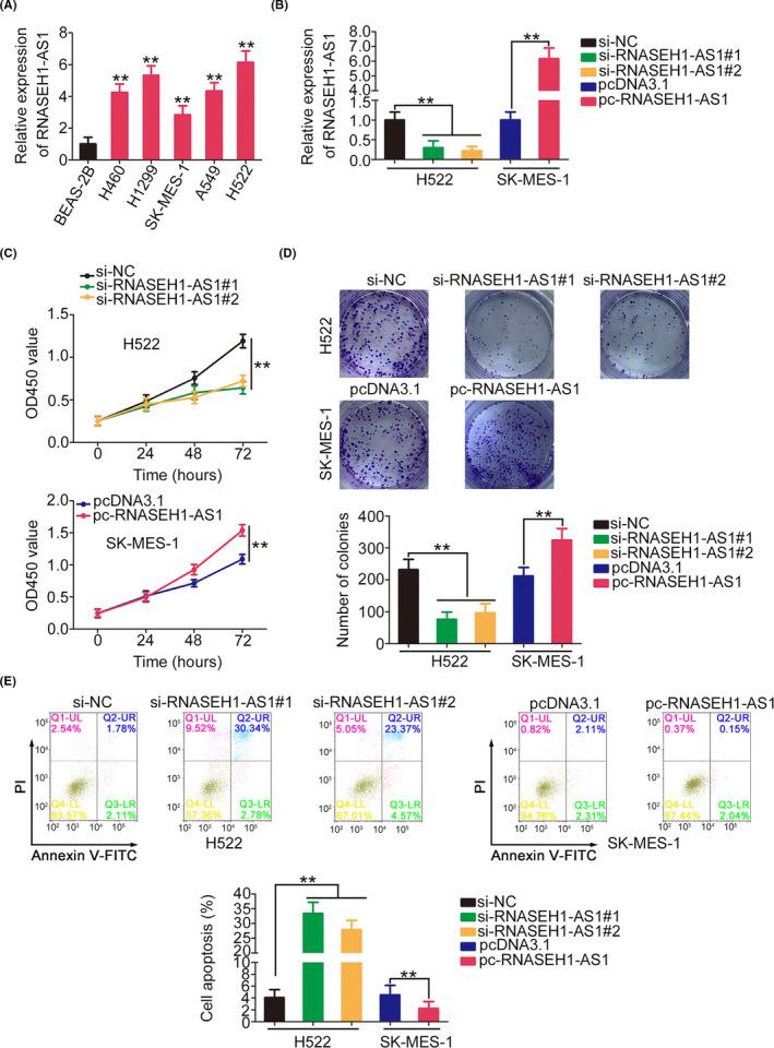
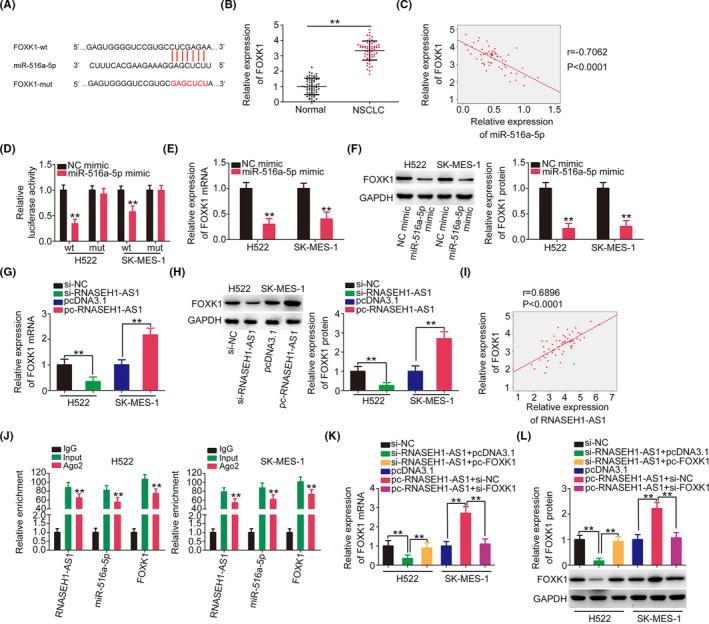
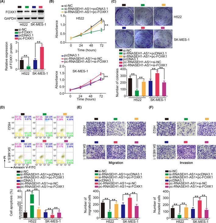
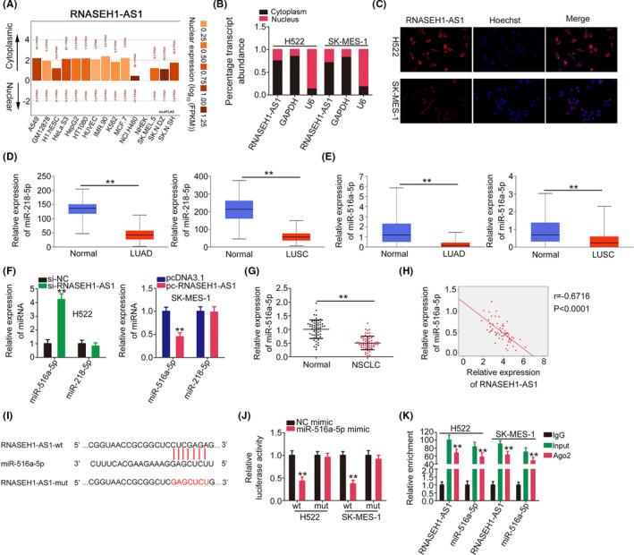
Utilizing TCGA database and our own cohort, we found a significantly increased level of RNASEH1-AS1 in NSCLC. The high level of RNASEH1-AS1 was markedly related with poor clinical outcomes. Knockdown of RNASEH1-AS1 expression inhibited NSCLC cell growth, metastatic capacities, and epithelial-mesenchymal transition and promoted the apoptosis in vitro, whereas RNASEH1-AS1 overexpression exerted the opposite effects. Additionally, knocking down RNASEH1-AS1 expression suppressed tumor growth in vivo. RNASEH1-AS1 was confirmed to act as a miR-516a-5p sponge, consequently upregulating FOXK1 expression in NSCLC cells. As revealed by the subsequent rescue experiments, the miR-516a-5p/FOXK1 axis served as a downstream effector of RNASEH1-AS1. In addition, by controlling the miR-516a-5p/FOXK1 axis, RNASEH1-AS1 was capable of activating the Wnt/β-catenin pathway.

CONCLUSION

RNASEH1-AS1 exacerbated the oncogenicity of NSCLC by affecting the miR-516a-5p/FOXK1 axis and consequently promoting the activation of Wnt/β-catenin pathway. Our newly identified RNASEH1-AS1/miR-516a-5p/FOXK1/Wnt/β-catenin network may offer an interesting foundation for NSCLC treatment in the clinic.

摘要

背景

到目前为止,尚无研究关注 RNASEH1 反义 RNA1(RNASEH1-AS1)在非小细胞肺癌(NSCLC)中的功能。因此,我们测量了 NSCLC 中 RNASEH1-AS1 的表达,并详细描述了其功能。最后,我们的研究阐明了 RNASEH1-AS1 下游发生的机制。

方法

利用 TCGA 数据库和 qRT-PCR 检测 RNASEH1-AS1 的表达。通过功能实验研究 RNASEH1-AS1 与肿瘤相关的功能。利用 RNA 免疫沉淀和荧光素酶报告基因实验揭示 RNASEH1-AS1、微小 RNA-516a-5p(miR-516a-5p)和叉头框 K1(FOXK1)之间的靶向关系。

结果

利用 TCGA 数据库和我们自己的队列,我们发现 NSCLC 中 RNASEH1-AS1 的水平显著升高。高水平的 RNASEH1-AS1 与不良的临床结局明显相关。体外敲低 RNASEH1-AS1 的表达抑制 NSCLC 细胞的生长、转移能力和上皮-间充质转化,促进细胞凋亡,而 RNASEH1-AS1 的过表达则产生相反的效果。此外,敲低 RNASEH1-AS1 的表达抑制体内肿瘤生长。证实 RNASEH1-AS1 作为 miR-516a-5p 的海绵,从而上调 NSCLC 细胞中 FOXK1 的表达。通过随后的挽救实验揭示,miR-516a-5p/FOXK1 轴是 RNASEH1-AS1 的下游效应物。此外,通过控制 miR-516a-5p/FOXK1 轴,RNASEH1-AS1 能够激活 Wnt/β-catenin 通路。

结论

RNASEH1-AS1 通过影响 miR-516a-5p/FOXK1 轴进而促进 Wnt/β-catenin 通路的激活,加剧了 NSCLC 的致癌性。我们新发现的 RNASEH1-AS1/miR-516a-5p/FOXK1/Wnt/β-catenin 网络可能为 NSCLC 临床治疗提供一个有趣的基础。

https://cdn.ncbi.nlm.nih.gov/pmc/blobs/3986/8986139/b0124bd07f6d/CAM4-11-1589-g004.jpg

文献AI研究员

20分钟写一篇综述,助力文献阅读效率提升50倍。

立即体验

用中文搜PubMed

大模型驱动的PubMed中文搜索引擎

马上搜索

文档翻译

学术文献翻译模型,支持多种主流文档格式。

立即体验