Suppr超能文献

吲哚-3-乙酸改变肠道微生物群并缓解小鼠的强直性脊柱炎。

Indole-3-Acetic Acid Alters Intestinal Microbiota and Alleviates Ankylosing Spondylitis in Mice.

机构信息

Department of Spine Surgery, The Fifth Affiliated Hospital, Sun Yat-sen University, Zhuhai, China.

Shenzhen Institute of Respiratory Diseases, Second Clinical Medical College (Shenzhen People's Hospital), Jinan University, First Affiliated Hospital (Shenzhen People's Hospital), Southern University of Science and Technology, Shenzhen, China.

出版信息

Front Immunol. 2022 Feb 4;13:762580. doi: 10.3389/fimmu.2022.762580. eCollection 2022.

Abstract

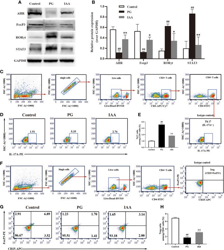
Ankylosing spondylitis (AS) is a systemic, chronic, and inflammatory autoimmune disease associated with the disorder of intestinal microbiota. Unfortunately, effective therapies for AS are lacking. Recent evidence has indicated that indole-3-acetic acid (IAA), an important microbial tryptophan metabolite, can modulate intestinal homeostasis and suppress inflammatory responses. However, reports have not examined the protective effects of IAA against AS. In this study, we investigated the protective effects and underlying mechanisms through which IAA acts against AS. We constructed a proteoglycan (PG)-induced AS mouse model and administered IAA (50 mg/kg body weight) by intraperitoneal injection daily for 4 weeks. The effects of IAA on AS mice were evaluated by examining disease severity, intestinal barrier function, aryl hydrocarbon receptor (AhR) pathway, T-helper 17 (Th17)/T regulatory (Treg) balance, and inflammatory cytokine levels. The intestinal microbiota compositions were profiled through whole-genome sequencing. We observed that IAA decreased the incidence and severity of AS in mice, inhibited the production of pro-inflammatory cytokines (tumor necrosis factor α [TNF-α], interleukin [IL]-6, IL-17A, and IL-23), promoted the production of the anti-inflammatory cytokine IL-10, and reduced the ratios of pro-/anti- inflammatory cytokines. IAA ameliorated pathological changes in the ileum and improved intestinal mucosal barrier function. IAA also activated the AhR pathway, upregulated the transcription factor forehead box protein P3 (FoxP3) and increased Treg cells, and downregulated the transcription factors retinoic acid receptor-related orphan receptor gamma t (RORγt) and signal transducer and activator of transcription 3 (STAT3) and decreased Th17 cells. Furthermore, IAA altered the composition of the intestinal microbiota composition by increasing Bacteroides and decreasing Proteobacteria and Firmicutes, in addition to increasing the abundances of and . In conclusion, IAA exerted several protective effects against PG-induced AS in mice, which was mediated by the restoration of balance among the intestinal microbial community, activating the AhR pathway, and inhibiting inflammation. IAA might represent a novel therapeutic approach for AS.

摘要

强直性脊柱炎(AS)是一种系统性、慢性和炎症性自身免疫性疾病,与肠道微生物失调有关。然而,目前针对 AS 尚无有效的治疗方法。最近的证据表明,吲哚-3-乙酸(IAA)作为一种重要的微生物色氨酸代谢物,可以调节肠道内稳态并抑制炎症反应。但是,目前尚未有研究报道 IAA 对 AS 的保护作用。在本研究中,我们通过构建蛋白聚糖(PG)诱导的 AS 小鼠模型并每日腹腔注射 IAA(50mg/kg 体重)4 周,研究了 IAA 对 AS 的保护作用及其潜在机制。通过评估疾病严重程度、肠道屏障功能、芳香烃受体(AhR)通路、辅助性 T 细胞 17(Th17)/调节性 T 细胞(Treg)平衡和炎症细胞因子水平,来评估 IAA 对 AS 小鼠的作用。通过全基因组测序分析肠道微生物群落组成。我们发现 IAA 降低了 AS 小鼠的发病率和严重程度,抑制了促炎细胞因子(肿瘤坏死因子-α[TNF-α]、白细胞介素[IL]-6、IL-17A 和 IL-23)的产生,促进了抗炎细胞因子 IL-10 的产生,并降低了促炎/抗炎细胞因子的比值。IAA 改善了回肠的病理变化并改善了肠道黏膜屏障功能。IAA 还激活了 AhR 通路,上调转录因子叉头框蛋白 P3(FoxP3)并增加 Treg 细胞,下调转录因子维甲酸受体相关孤儿受体γ t(RORγt)和信号转导和转录激活因子 3(STAT3)并减少 Th17 细胞。此外,IAA 通过增加拟杆菌和减少变形菌和厚壁菌,以及增加和的丰度,改变了肠道微生物群落组成。总之,IAA 对 PG 诱导的 AS 小鼠具有多种保护作用,这是通过恢复肠道微生物群落平衡、激活 AhR 通路和抑制炎症来实现的。IAA 可能代表一种治疗 AS 的新方法。

https://cdn.ncbi.nlm.nih.gov/pmc/blobs/8348/8854167/e18c078686e9/fimmu-13-762580-g001.jpg

文献AI研究员

20分钟写一篇综述,助力文献阅读效率提升50倍。

立即体验

用中文搜PubMed

大模型驱动的PubMed中文搜索引擎

马上搜索

文档翻译

学术文献翻译模型,支持多种主流文档格式。

立即体验