Suppr超能文献

植物乳杆菌(RTA 8)对沙门氏菌脑部感染期间肠-脑轴病理生理学干预的双向阐释

Bi-directional elucidation of Lactiplantibacillus plantarum (RTA 8) intervention on the pathophysiology of gut-brain axis during Salmonella brain infection.

作者信息

Kaur Amrita, Kaur Indu Pal, Chopra Kanwaljit, Rishi Praveen

机构信息

Department of Microbiology, Basic Medical Sciences Block I, Panjab University, South Campus, Sector 25, Chandigarh, 160014, India.

University Institute of Pharmaceutical Sciences, Panjab University, Sector 14, Chandigarh, 160014, India.

出版信息

Gut Pathog. 2022 Mar 2;14(1):11. doi: 10.1186/s13099-022-00484-2.

Abstract

BACKGROUND

There have been reports of patients suffering from typhoid fever, particularly those involving infants and immunocompromised patients, which at times present with Salmonella induced brain infection. Although rare, it has frequently been associated with adverse neurological complications and increased mortality. In this context, the gut-brain axis, involving two-way communication between the gut and the brain, holds immense significance as various gut ailments have been associated with psychiatric complications. In turn, several neurodegenerative diseases have been associated with an altered gut microbiota profile. Given the paucity of effective antimicrobials and increasing incidence of multi-drug resistance in pathogens, alternate treatment therapies such as probiotics have gained significant attention in the recent past.

RESULTS

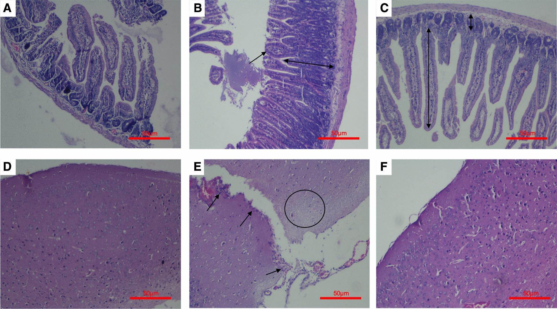
In the current study, prophylactic effect of Lactiplantibacillus plantarum (RTA 8) in preventing neurological complications occurring due to Salmonella brain infection was evaluated in a murine model. Along with a significant reduction in bacterial burden and improved histoarchitecture, L. plantarum (RTA 8) administration resulted in amelioration in the level of neurotransmitters such as serotonin, norepinephrine and dopamine in the gut as well as in the brain tissue. Simultaneously, increased gene expression of physiologically essential molecules such as mucin (MUC1 and MUC3) and brain-derived neurotrophic factor (BDNF) was also observed in this group.

CONCLUSION

Present study highlights the potential benefits of a probiotic supplemented diet in improving various aspects of host health due to their multi-targeted approach, thereby resulting in multi-faceted gains.

摘要

背景

有报道称伤寒热患者,特别是婴儿和免疫功能低下的患者,有时会出现沙门氏菌引起的脑部感染。虽然罕见,但它经常与不良神经并发症和死亡率增加有关。在此背景下,涉及肠道与大脑双向通讯的肠脑轴具有重要意义,因为各种肠道疾病都与精神并发症有关。反过来,几种神经退行性疾病也与肠道微生物群谱的改变有关。鉴于有效抗菌药物的匮乏以及病原体中多药耐药性的发生率不断增加,益生菌等替代治疗疗法在最近受到了广泛关注。

结果

在当前研究中,在小鼠模型中评估了植物乳杆菌(RTA 8)预防沙门氏菌脑部感染引起的神经并发症的预防作用。除了细菌载量显著降低和组织结构改善外,给予植物乳杆菌(RTA 8)还导致肠道以及脑组织中血清素、去甲肾上腺素和多巴胺等神经递质水平的改善。同时,在该组中还观察到生理必需分子如粘蛋白(MUC1和MUC3)和脑源性神经营养因子(BDNF)的基因表达增加。

结论

本研究强调了补充益生菌的饮食因其多靶点方法在改善宿主健康的各个方面的潜在益处,从而带来多方面的收益。

https://cdn.ncbi.nlm.nih.gov/pmc/blobs/fa78/8892704/b3fef1b37982/13099_2022_484_Fig1_HTML.jpg

文献AI研究员

20分钟写一篇综述,助力文献阅读效率提升50倍。

立即体验

用中文搜PubMed

大模型驱动的PubMed中文搜索引擎

马上搜索

文档翻译

学术文献翻译模型,支持多种主流文档格式。

立即体验