Suppr超能文献

严重 COVID-19 患者的补体激活:凝集素和替代途径。

Complement Activation the Lectin and Alternative Pathway in Patients With Severe COVID-19.

机构信息

Department of Nephropathology, University Hospital Erlangen, Friedrich-Alexander-University (FAU) Erlangen-Nürnberg, Erlangen, Germany.

Institute of Pathology, University Hospital Erlangen, Friedrich-Alexander-University (FAU) Erlangen-Nürnberg, Erlangen, Germany.

出版信息

Front Immunol. 2022 Feb 2;13:835156. doi: 10.3389/fimmu.2022.835156. eCollection 2022.

Abstract

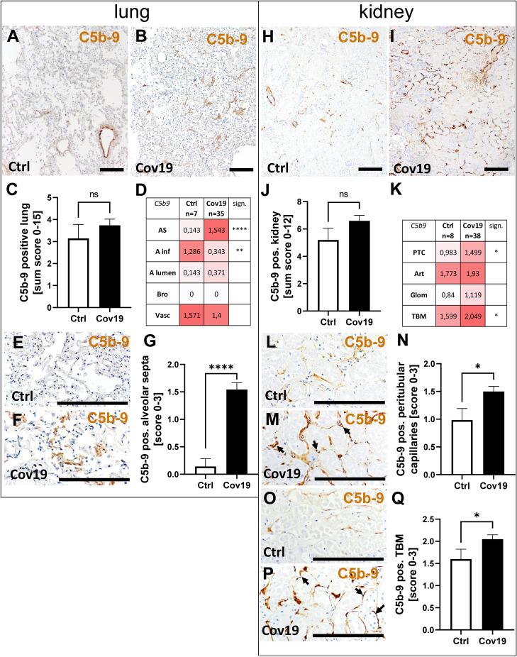
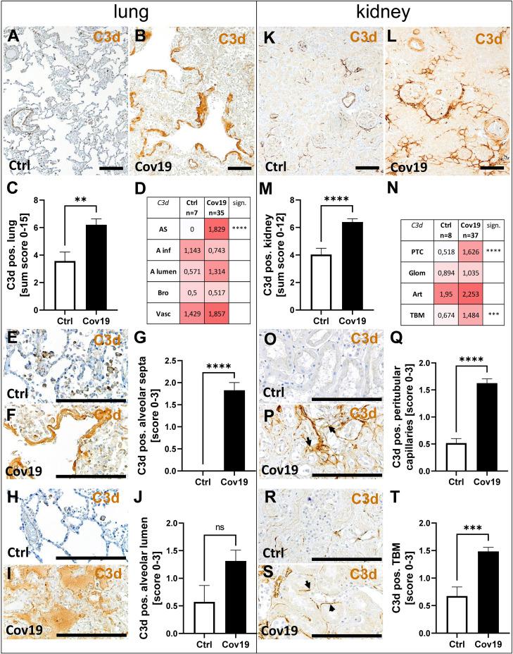
Complement plays an important role in the direct defense to pathogens, but can also activate immune cells and the release of pro-inflammatory cytokines. However, in critically ill patients with COVID-19 the immune system is inadequately activated leading to severe acute respiratory syndrome (SARS) and acute kidney injury, which is associated with higher mortality. Therefore, we characterized local complement deposition as a sign of activation in both lungs and kidneys from patients with severe COVID-19. Using immunohistochemistry we investigated deposition of complement factors C1q, MASP-2, factor D (CFD), C3c, C3d and C5b-9 as well as myeloperoxidase (MPO) positive neutrophils and SARS-CoV-2 virus particles in lungs and kidneys from 38 patients who died from COVID-19. In addition, tissue damage was analyzed using semi-quantitative scores followed by correlation with complement deposition. Autopsy material from non-COVID patients who died from cardiovascular causes, cerebral hemorrhage and pulmonary embolism served as control (n=8). Lung injury in samples from COVID-19 patients was significantly more pronounced compared to controls with formation of hyaline membranes, thrombi and edema. In addition, in the kidney tubular injury was higher in these patients and correlated with lung injury (r=0.361*). In autopsy samples SARS-CoV-2 spike protein was detected in 22% of the lungs of COVID-19 patients but was lacking in kidneys. Complement activation was significantly stronger in lung samples from patients with COVID-19 the lectin and alternative pathway as indicated by deposition of MASP-2, CFD, C3d and C5b9. Deposits in the lung were predominantly detected along the alveolar septa, the hyaline membranes and in the alveolar lumina. In the kidney, complement was significantly more deposited in patients with COVID-19 in peritubular capillaries and tubular basement membranes. Renal COVID-19-induced complement activation occurred the lectin pathway, while activation of the alternative pathway was similar in both groups. Furthermore, MPO-positive neutrophils were found in significantly higher numbers in lungs and kidneys of COVID-19 patients and correlated with local MASP-2 deposition. In conclusion, in patients who died from SARS-CoV-2 infection complement was activated in both lungs and kidneys indicating that complement might be involved in systemic worsening of the inflammatory response. Complement inhibition might thus be a promising treatment option to prevent deregulated activation and subsequent collateral tissue injury in COVID-19.

摘要

补体在病原体的直接防御中发挥重要作用,但也可以激活免疫细胞并释放促炎细胞因子。然而,在 COVID-19 重症患者中,免疫系统激活不足,导致严重急性呼吸综合征(SARS)和急性肾损伤,这与更高的死亡率相关。因此,我们在 COVID-19 重症患者的肺部和肾脏中,将局部补体沉积特征化为激活的标志。我们使用免疫组织化学研究了补体因子 C1q、MASP-2、因子 D(CFD)、C3c、C3d 和 C5b-9 以及髓过氧化物酶(MPO)阳性中性粒细胞和 SARS-CoV-2 病毒颗粒在因 COVID-19 死亡的 38 名患者的肺部和肾脏中的沉积情况。此外,我们通过半定量评分分析组织损伤,并与补体沉积相关联。非 COVID 患者因心血管原因、脑出血和肺栓塞死亡的尸检材料作为对照(n=8)。与对照组相比,COVID-19 患者的肺部损伤更明显,形成透明膜、血栓和水肿。此外,在这些患者中,肾脏的管状损伤更高,与肺部损伤相关(r=0.361*)。在 COVID-19 患者的尸检样本中,SARS-CoV-2 刺突蛋白在 22%的肺部中被检测到,但在肾脏中却没有。COVID-19 患者的肺组织补体激活明显更强,补体替代途径和凝集素途径均被激活,表现为 MASP-2、CFD、C3d 和 C5b9 的沉积。在肺组织中,沉积主要沿着肺泡间隔、透明膜和肺泡腔检测到。在肾脏中,COVID-19 患者的补体在肾小管周围毛细血管和肾小管基底膜中沉积明显更多。肾脏 COVID-19 诱导的补体激活发生在凝集素途径中,而替代途径的激活在两组中相似。此外,COVID-19 患者的肺部和肾脏中发现 MPO 阳性中性粒细胞的数量明显增加,且与局部 MASP-2 沉积相关。总之,在死于 SARS-CoV-2 感染的患者中,肺部和肾脏中的补体均被激活,表明补体可能参与全身炎症反应的恶化。因此,补体抑制可能是一种有前途的治疗选择,可防止 COVID-19 中补体的失调激活和随后的继发性组织损伤。

https://cdn.ncbi.nlm.nih.gov/pmc/blobs/90c4/8884149/4d7645b3cc4d/fimmu-13-835156-g001.jpg

文献AI研究员

20分钟写一篇综述,助力文献阅读效率提升50倍。

立即体验

用中文搜PubMed

大模型驱动的PubMed中文搜索引擎

马上搜索

文档翻译

学术文献翻译模型,支持多种主流文档格式。

立即体验