Suppr超能文献

软组织肉瘤基因融合 RNA 测序 panel 的开发与验证。

Development and validation of an RNA sequencing panel for gene fusions in soft tissue sarcoma.

机构信息

State Key Laboratory of Oncology in South China, Collaborative Innovation Center for Cancer Medicine, Department of Pathology, Sun Yat-sen University Cancer Center, Guangzhou, China.

Department of Pathology, Guangzhou Women and Children's Medical Center, Guangzhou, China.

出版信息

Cancer Sci. 2022 May;113(5):1843-1854. doi: 10.1111/cas.15317. Epub 2022 Mar 10.

Abstract

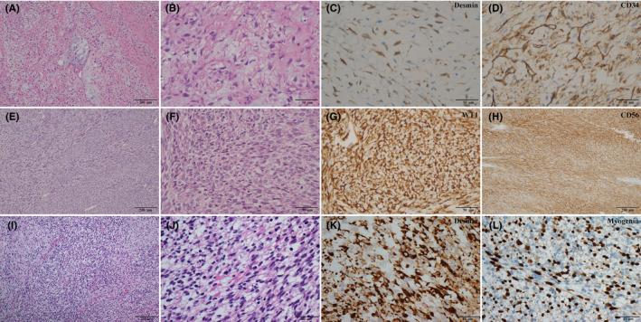
Gene fusions are one of the most common genomic alterations in soft tissue sarcomas (STS), which contain more than 70 subtypes. In this study, a custom-designed RNA sequencing panel including 67 genes was developed and validated to identify gene fusions in STS. In total, 92 STS samples were analyzed using the RNA panel and 95.7% (88/92) successfully passed all the quality control parameters. Fusion transcripts were detected in 60.2% (53/88) of samples, including three novel fusions (MEG3-PLAG1, SH3BP1-NTRK1, and RPSAP52-HMGA2). The panel demonstrated excellent analytic accuracy, with 93.9% sensitivity and 100% specificity. The intra-assay, inter-assay, and personnel consistencies were all 100.0% in four samples and three replicates. In addition, different variants of ESWR1-FLI, COL1A1-PDGFB, NAB2-STAT6, and SS18-SSX were also identified in the corresponding subtypes of STS. In combination with histological and molecular diagnosis, 14.8% (13/88) patients finally changed preliminary histology-based classification. Collectively, this RNA panel developed in our study shows excellent performance on RNA from formalin-fixed, paraffin-embedded samples and can complement DNA-based assay, thereby facilitating precise diagnosis and novel fusion detection.

摘要

基因融合是软组织肉瘤(STS)中最常见的基因组改变之一,其中包含超过 70 种亚型。在这项研究中,开发并验证了一个包含 67 个基因的定制 RNA 测序面板,用于鉴定 STS 中的基因融合。总共分析了 92 个 STS 样本,使用 RNA 面板,95.7%(88/92)的样本成功通过了所有质量控制参数。在 60.2%(53/88)的样本中检测到融合转录本,包括三个新的融合(MEG3-PLAG1、SH3BP1-NTRK1 和 RPSAP52-HMGA2)。该面板表现出优异的分析准确性,灵敏度为 93.9%,特异性为 100%。在四个样本和三个重复中,组内、组间和人员一致性均为 100.0%。此外,在 STS 的相应亚型中还鉴定出了 ESWR1-FLI、COL1A1-PDGFB、NAB2-STAT6 和 SS18-SSX 的不同变体。结合组织学和分子诊断,最终有 14.8%(13/88)的患者改变了初步基于组织学的分类。总的来说,本研究中开发的这个 RNA 面板在福尔马林固定、石蜡包埋样本的 RNA 上表现出优异的性能,可以补充基于 DNA 的检测方法,从而有助于精确诊断和新融合的检测。

https://cdn.ncbi.nlm.nih.gov/pmc/blobs/fe77/9128172/ccf8749bfcbd/CAS-113-1843-g006.jpg

文献AI研究员

20分钟写一篇综述,助力文献阅读效率提升50倍。

立即体验

用中文搜PubMed

大模型驱动的PubMed中文搜索引擎

马上搜索

文档翻译

学术文献翻译模型,支持多种主流文档格式。

立即体验